症例・治療例紹介
Cases
矯正歯科治療 → 叢生(でこぼこ・八重歯)
38ページ目 / 91
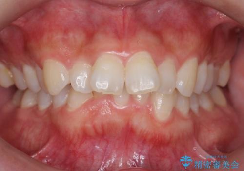
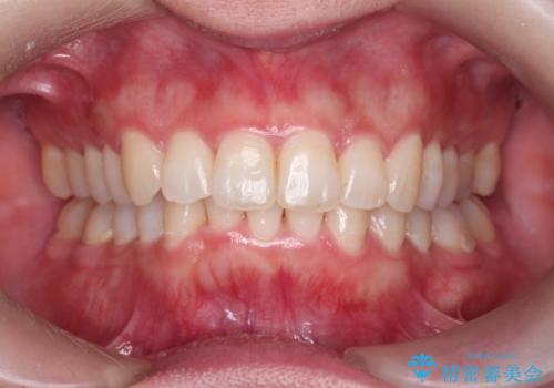
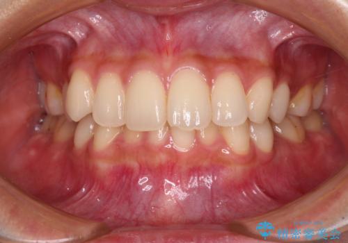
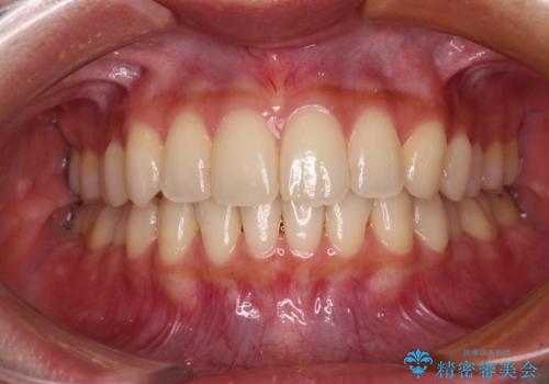
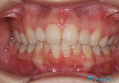
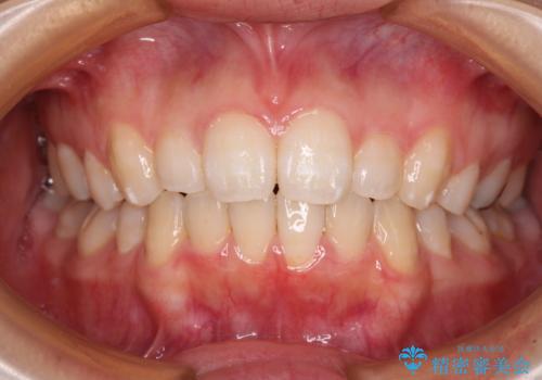
前歯をさげたい 歯を抜かずに マウスピース矯正で治したい


[ インビザライン矯正 ]マイクロインプラント用いた大きな遠心移動
担当医 大元洋佑
![[ インビザライン矯正 ]マイクロインプラント用いた大きな遠心移動の症例 治療前](https://seimitsushinbi.jp/wp/wp-content/uploads/2022/12/IMG_0044-500x350.jpg?v=1670930139)
![[ インビザライン矯正 ]マイクロインプラント用いた大きな遠心移動の症例 治療後](https://seimitsushinbi.jp/wp/wp-content/uploads/2022/12/C58-500x350.jpg?v=1671171949)
下の歯のがたつき 上より気になる


口元大事です! 見違える矯正!! 乱ぐい歯もあきらめないでください。


受け口 なんと部分矯正で治るんです!! インプラントを含めた総合歯科治療
担当医 井上季実子


デコボコと八重歯の目立つ前歯 ワイヤー装置による抜歯矯正
担当医 藤巻太一朗


上顎前突による口元の突出感 強く深い咬合をワイヤー矯正で改善していく


【モニター】インビザラインをしっかり使って短期間矯正治療


深い咬み合わせと隙間の空いた歯列をワイヤー矯正で改善


抜歯矯正の後戻り インビザライン・ライトによる矯正治療
担当医 藤巻太一朗


反対咬合とクロスバイトを改善して噛みやすい咬合に


欠損のある歯列 インビザラインで整った歯並びに
担当医 藤巻太一朗


ちょっとしたデコボコをしっかりと改善したい インビザライン矯正


目立たない装置で出っ歯を治したい ハーフリンガル矯正


前歯のねじれを改善 マウスピース矯正インビザライン


ワイヤー矯正歯科治療の注意事項(リスク・副作用など)
- 治療中は違和感や痛みが起こることがあります
- 症状により、抜歯が必要な場合があります
- 治療中は歯磨きがしにくくなるため、虫歯や歯周病になりやすくなります
- 矯正治療後の保定が不十分だと後戻り(元の位置に戻ろうとする動き)をします
- 自費診療(保険適用外)となります
マウスピース矯正の注意事項(リスク・副作用など)
- 口腔内・歯並びの状態によっては対応できない場合があります
- マウスピース型矯正装置の長時間装着が必須です
- 治療計画通りに進めるためには、患者様の意志が重要になります
- 矯正治療後の保定が不十分だと後戻り(元の位置に戻ろうとする動き)をします
- 自費診療(保険適用外)となります
