症例・治療例紹介
Cases
矯正歯科治療 → インビザライン
35ページ目 / 76
前歯のねじれを改善 マウスピース矯正インビザライン


インビザライン単独でここまでできる!!抜歯矯正


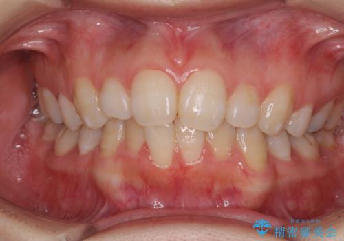
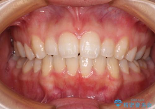
[ 前歯開咬 ] 前歯が噛んでいない マウスピース矯正治療
担当医 大元洋佑
![[ 前歯開咬 ] 前歯が噛んでいない マウスピース矯正治療の症例 治療前](https://seimitsushinbi.jp/wp/wp-content/uploads/2022/11/IMG_4669-500x350.jpg?v=1668218426)
![[ 前歯開咬 ] 前歯が噛んでいない マウスピース矯正治療の症例 治療後](https://seimitsushinbi.jp/wp/wp-content/uploads/2022/11/IMG_2488-500x350.jpg?v=1668218373)
オープンバイトと目立つ銀歯 インビザライン矯正とセラミック修復治療


軽微なデコボコを安価に インビザライン・ライトによる矯正治療
担当医 藤巻太一朗


カリエール・ディスタライザーとワイヤーを併用した、インビザライン矯正治療


少しでも口元を閉じやすく インビザラインによる前突の解消
担当医 藤巻太一朗


急速拡大装置 前歯の反対咬合をインビザラインで改善


【モニター】斜めに突き出した前歯をインビザラインで改善
担当医 藤巻太一朗


【モニター】左右のクロスバイトをインビザラインできれいに改善


捻れた前歯をインビザラインでスッキリと
担当医 藤巻太一朗


前歯のがたつきを改善してしっかり噛める歯並びへ:インビザライン治療


前歯のがたつきとオープンバイト:インビザラインでまとめて治す


マウスピース矯正の注意事項(リスク・副作用など)
- 口腔内・歯並びの状態によっては対応できない場合があります
- マウスピース型矯正装置の長時間装着が必須です
- 治療計画通りに進めるためには、患者様の意志が重要になります
- 矯正治療後の保定が不十分だと後戻り(元の位置に戻ろうとする動き)をします
- 自費診療(保険適用外)となります




