症例・治療例紹介
Cases
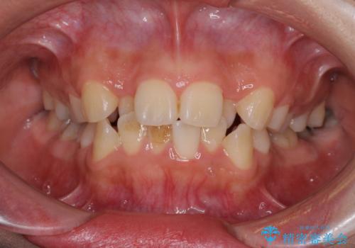
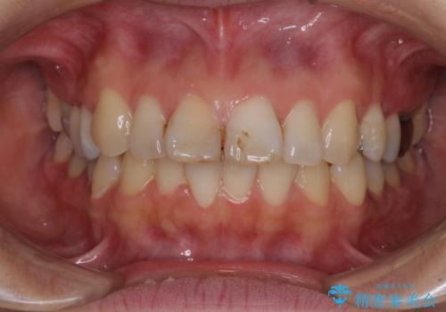
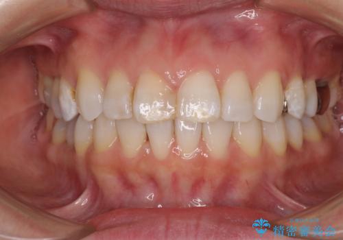
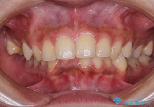
矯正歯科治療 → 叢生(でこぼこ・八重歯)
34ページ目 / 91
デコボコと膨らんだ口元 ハーフリンガルによる抜歯矯正とインプラント補綴治療


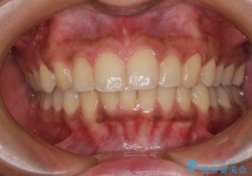
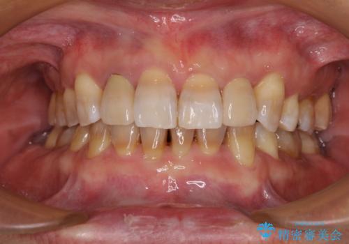
重度叢生と埋もれた奥歯 8本を抜歯したワイヤー矯正


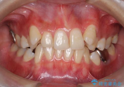
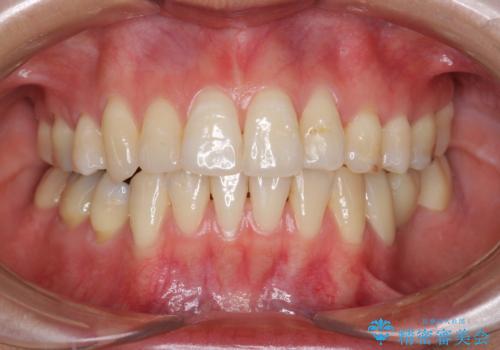
捻れて飛び出した前歯 インビザラインで整った前歯に
担当医 藤巻太一朗


【モニター】前歯のデコボコを治したい インビザラインを用いた矯正治療
担当医 藤巻太一朗


【モニター】口が閉じにくい 膨らんだ口元を抜歯矯正ですっきりと


深い咬み合わせと前歯のデコボコ インビザラインによる矯正治療


前歯が出っ歯ですきっ歯 抜かずに前歯を見た目良く


左右に骨格がずれて咬みにくい ワイヤー装置による抜歯矯正


【モニター】隠れている下顎の前歯をインビザラインで改善


口が閉じにくい 目立たないワイヤー装置で口元をすっきりと


かみ合わせが悪いところを ワイヤー矯正でしっかり治療 マウスピース矯正は難しい症例


[ インビザラインライト ] 14枚で行う前歯のみの短期間マウスピース矯正
担当医 大元洋佑
![[ インビザラインライト ] 14枚で行う前歯のみの短期間マウスピース矯正の症例 治療前](https://seimitsushinbi.jp/wp/wp-content/uploads/2023/03/IMG_0816.1-500x350.jpg?v=1678679756)
![[ インビザラインライト ] 14枚で行う前歯のみの短期間マウスピース矯正の症例 治療後](https://seimitsushinbi.jp/wp/wp-content/uploads/2023/03/IMG_0012.1-500x350.jpg?v=1678679708)
出っ歯感のある前歯を治したい、抜歯をしないマウスピース矯正


親知らずを生かした矯正


ワイヤー矯正歯科治療の注意事項(リスク・副作用など)
- 治療中は違和感や痛みが起こることがあります
- 症状により、抜歯が必要な場合があります
- 治療中は歯磨きがしにくくなるため、虫歯や歯周病になりやすくなります
- 矯正治療後の保定が不十分だと後戻り(元の位置に戻ろうとする動き)をします
- 自費診療(保険適用外)となります
マウスピース矯正の注意事項(リスク・副作用など)
- 口腔内・歯並びの状態によっては対応できない場合があります
- マウスピース型矯正装置の長時間装着が必須です
- 治療計画通りに進めるためには、患者様の意志が重要になります
- 矯正治療後の保定が不十分だと後戻り(元の位置に戻ろうとする動き)をします
- 自費診療(保険適用外)となります


