症例・治療例紹介
Cases
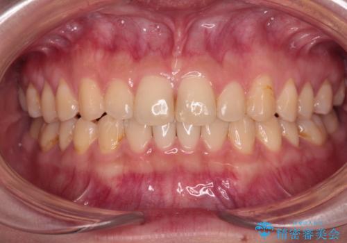
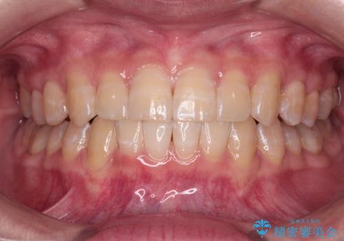
矯正歯科治療 → 叢生(でこぼこ・八重歯)
32ページ目 / 91
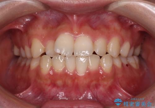
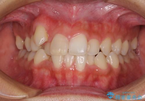
【モニター】口が閉じにくい 抜歯矯正で口元を引っ込める


膨らんだ口元 ワイヤー装置での抜歯矯正


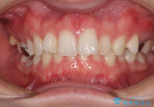
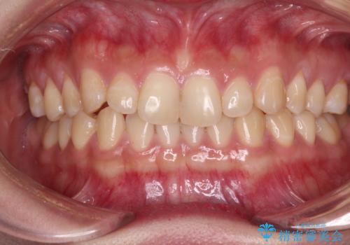
【モニター】前歯のデコボコをインビザラインで改善


突出した前歯を改善! マウスピース治療


[ インビザラインライトプラン ] 費用を抑えた下顎前歯の小矯正
担当医 大元洋佑
![[ インビザラインライトプラン ] 費用を抑えた下顎前歯の小矯正の症例 治療前](https://seimitsushinbi.jp/wp/wp-content/uploads/2023/05/C6-500x350.jpg?v=1684138587)
![[ インビザラインライトプラン ] 費用を抑えた下顎前歯の小矯正の症例 治療後](https://seimitsushinbi.jp/wp/wp-content/uploads/2023/05/C19.1-2-500x350.jpg?v=1684138479)
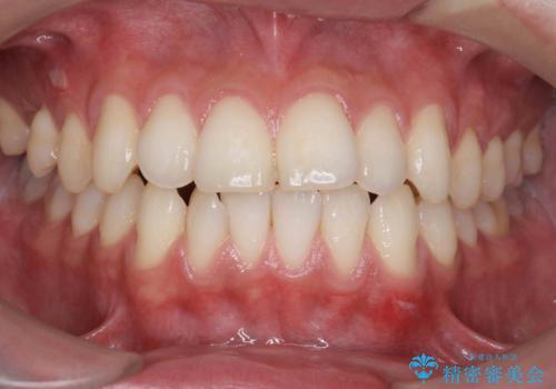
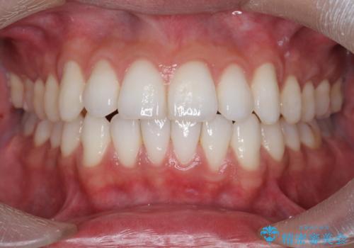
前歯の目立つガタつきをマウスピース矯正で治療
担当医 大元洋佑


[ 下顎臼歯遠心移動 ] 受け口傾向のマウスピース矯正
![[ 下顎臼歯遠心移動 ] 受け口傾向のマウスピース矯正の症例 治療前](https://seimitsushinbi.jp/wp/wp-content/uploads/2023/05/IMG_4801-500x350.jpg?v=1684116706)
![[ 下顎臼歯遠心移動 ] 受け口傾向のマウスピース矯正の症例 治療後](https://seimitsushinbi.jp/wp/wp-content/uploads/2023/05/C54-500x350.jpg?v=1684116780)
インビザラインによる矯正治療と奥歯のインプラント治療


治療途中の奥歯と矯正治療の後戻り インビザライン・ライトによる矯正治療


【モニター】下顎前歯のデコボコをインビザラインできれいに
担当医 藤巻太一朗


【モニター】カリエール・ディスタライザーを併用した八重歯のインビザライン矯正


【モニター】短期間で終わりたい ワイヤー装置での非抜歯矯正
担当医 藤巻太一朗


割れてしまった奥歯とデコボコの前歯 矯正治療とインプラント治療


気になる八重歯 目立ちにくいハーフリンガルでの抜歯矯正
担当医 藤巻太一朗


抜歯矯正で唇を閉じやすく 目立たないワイヤー装置


ワイヤー矯正歯科治療の注意事項(リスク・副作用など)
- 治療中は違和感や痛みが起こることがあります
- 症状により、抜歯が必要な場合があります
- 治療中は歯磨きがしにくくなるため、虫歯や歯周病になりやすくなります
- 矯正治療後の保定が不十分だと後戻り(元の位置に戻ろうとする動き)をします
- 自費診療(保険適用外)となります
マウスピース矯正の注意事項(リスク・副作用など)
- 口腔内・歯並びの状態によっては対応できない場合があります
- マウスピース型矯正装置の長時間装着が必須です
- 治療計画通りに進めるためには、患者様の意志が重要になります
- 矯正治療後の保定が不十分だと後戻り(元の位置に戻ろうとする動き)をします
- 自費診療(保険適用外)となります
