症例・治療例紹介
Cases
矯正歯科治療 → 叢生(でこぼこ・八重歯)
31ページ目 / 91
中途半端な矯正治療と前歯の欠損 再矯正とオールセラミッククラウンによる補綴治療


気になる歯列不正とむし歯を治療 インビザライン治療と虫歯治療


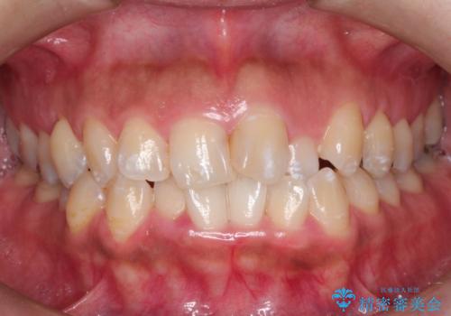
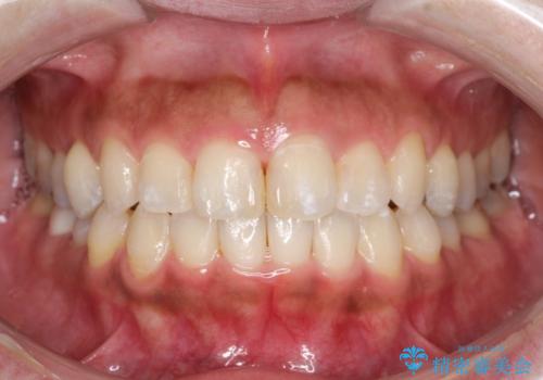
前歯のデコボコとむし歯だらけの歯列 矯正治療と虫歯治療


マウスピース矯正で前歯の見た目を治したい
担当医 大元洋佑


前歯のガタつきをマウスピース矯正で改善! 驚きの効果を体験しよう


悩ましい前歯のガタつき、マウスピース矯正で解決! 自信を取り戻して笑顔に


受け口傾向のマウスピース矯正 (ワイヤー治療を併用して)


半年で行えるマウスピース矯正
担当医 大元洋佑


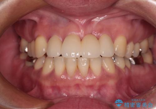
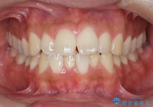
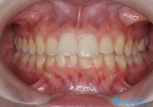
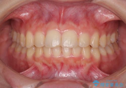
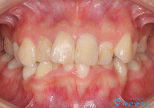
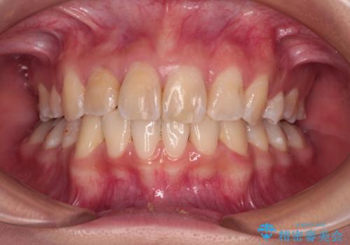
[ インビザライン ] 前歯のガタつきをマウスピース矯正で改善
![[ インビザライン ] 前歯のガタつきをマウスピース矯正で改善の症例 治療前](https://seimitsushinbi.jp/wp/wp-content/uploads/2023/06/C14-500x350.jpg?v=1686815742)
![[ インビザライン ] 前歯のガタつきをマウスピース矯正で改善の症例 治療後](https://seimitsushinbi.jp/wp/wp-content/uploads/2023/06/8f8a8c7e4fc215c9167147f340f29eaf-500x350.jpg?v=1686815671)
すっきり感アップ! ワイヤー矯正で口元を下げて魅力的な印象に!


驚くほど短期間で前歯のガタツキを解消! マウスピース矯正の効果


マウスピース矯正で前歯のガタツキを改善! 短期間で治療完了


虫歯治療ついでに歯並びの後戻りを改善 インビザラインによる矯正治療


前歯でものを噛みきりたい 目立たない装置でのワイヤー矯正


デコボコと深い咬み合わせ ワイヤー装置での抜歯矯正
担当医 藤巻太一朗


ワイヤー矯正歯科治療の注意事項(リスク・副作用など)
- 治療中は違和感や痛みが起こることがあります
- 症状により、抜歯が必要な場合があります
- 治療中は歯磨きがしにくくなるため、虫歯や歯周病になりやすくなります
- 矯正治療後の保定が不十分だと後戻り(元の位置に戻ろうとする動き)をします
- 自費診療(保険適用外)となります
マウスピース矯正の注意事項(リスク・副作用など)
- 口腔内・歯並びの状態によっては対応できない場合があります
- マウスピース型矯正装置の長時間装着が必須です
- 治療計画通りに進めるためには、患者様の意志が重要になります
- 矯正治療後の保定が不十分だと後戻り(元の位置に戻ろうとする動き)をします
- 自費診療(保険適用外)となります
