症例・治療例紹介
Cases
矯正歯科治療 → 叢生(でこぼこ・八重歯)
27ページ目 / 91
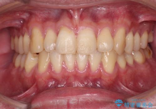
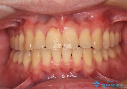
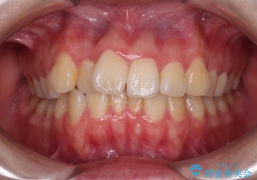
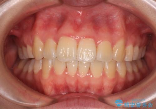
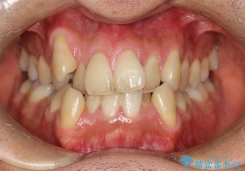
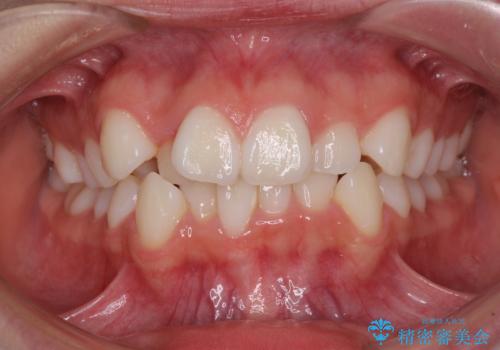
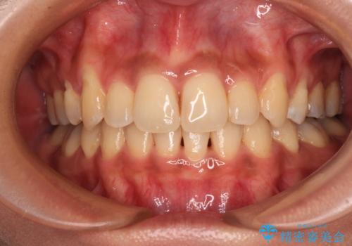
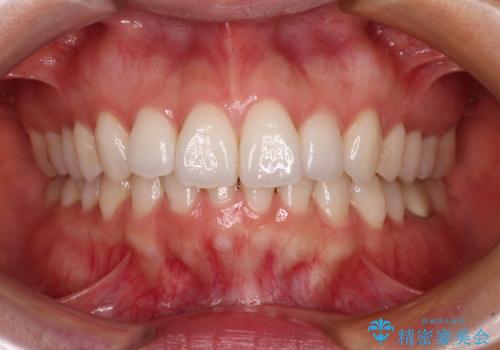
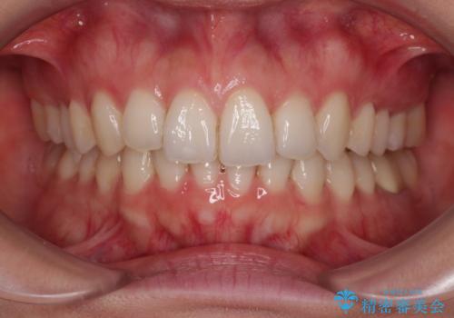
【モニター】前歯のデコボコとクロスバイト ワイヤー矯正で短期間に仕上げる
担当医 藤巻太一朗


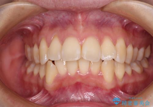
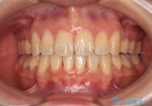
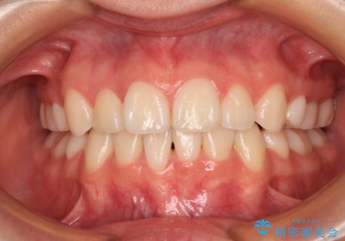
閉じにくい口元を抜歯矯正ですっきりと


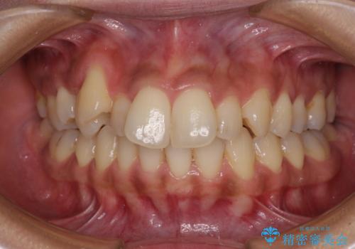
【モニター】八重歯を片側の抜歯矯正で治す メタルブラケット装置


デコボコを治したい 八重歯の抜歯矯正


【モニター】再矯正でデコボコの前歯を改善 抜歯矯正の後戻り
担当医 藤巻太一朗


前歯が隠れていて見えない クロスバイトの矯正治療


前歯のがたつき、八重歯 インビザラインで抜歯矯正


ガタガタの歯並び、八重歯をなおしたい、骨格性下顎前突 カモフラージュ矯正


【インビザライン】前歯の凸凹を治したい。
担当医 河口智英


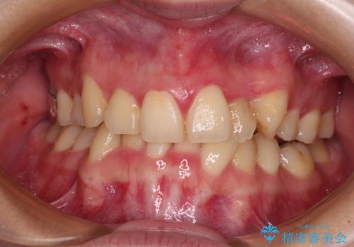
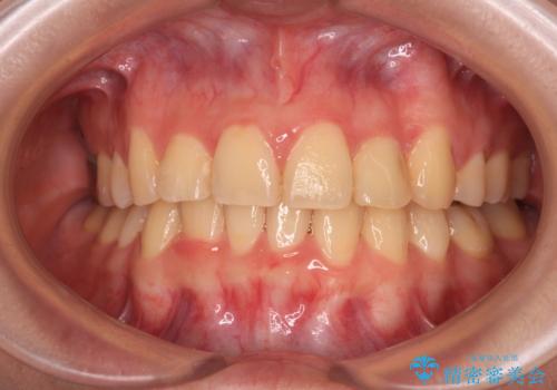
前歯のデコボコとクロスバイトを治したい ワイヤー装置による抜歯矯正


八重歯と出っ歯を治したい ワイヤー装置での抜歯矯正


隙間が空いてデコボコした前歯を治したい ワイヤー装置による矯正治療


外に飛び出して磨きにくい奥歯と上下前歯の隙間 インビザラインによる矯正治療


矯正治療の後戻り インビザライン・ライトでの再矯正
担当医 藤巻太一朗


内側に転位した歯とボロボロのむし歯 インビザラインによる矯正治療とむし歯治療


ワイヤー矯正歯科治療の注意事項(リスク・副作用など)
- 治療中は違和感や痛みが起こることがあります
- 症状により、抜歯が必要な場合があります
- 治療中は歯磨きがしにくくなるため、虫歯や歯周病になりやすくなります
- 矯正治療後の保定が不十分だと後戻り(元の位置に戻ろうとする動き)をします
- 自費診療(保険適用外)となります
マウスピース矯正の注意事項(リスク・副作用など)
- 口腔内・歯並びの状態によっては対応できない場合があります
- マウスピース型矯正装置の長時間装着が必須です
- 治療計画通りに進めるためには、患者様の意志が重要になります
- 矯正治療後の保定が不十分だと後戻り(元の位置に戻ろうとする動き)をします
- 自費診療(保険適用外)となります
