症例・治療例紹介
Cases
矯正歯科治療 → 審美装置
16ページ目 / 39
歯をきれいにしたい ワイヤー矯正治療と虫歯治療


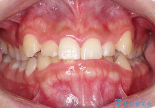
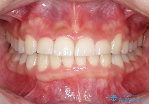
【審美ワイヤー】前歯が見えない。深い噛み合わせの治療
担当医 河口智英


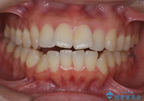
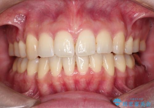
クロスバイトの前歯を治したい ワイヤー装置でも抜歯矯正


【モニター】閉じにくい口元 ワイヤー装置での抜歯矯正


【モニター】1本欠損した下顎前歯と上顎の八重歯 ワイヤー装置で楽して矯正治療
担当医 藤巻太一朗


舌突出癖による開咬 舌のトレーニングを行いながら咬み合わせを改善


【モニター】急速拡大装置 狭い歯列を拡大してワイヤー装置で短期間治療


口元大事です! 見違える矯正!! 乱ぐい歯もあきらめないでください。


受け口 なんと部分矯正で治るんです!! インプラントを含めた総合歯科治療
担当医 井上季実子


乳歯残存と欠損の前歯 矯正治療とオールセラミックブリッジ治療


デコボコと八重歯の目立つ前歯 ワイヤー装置による抜歯矯正
担当医 藤巻太一朗


上顎前突による口元の突出感 強く深い咬合をワイヤー矯正で改善していく


深い咬み合わせと隙間の空いた歯列をワイヤー矯正で改善


ワイヤー矯正歯科治療の注意事項(リスク・副作用など)
- 治療中は違和感や痛みが起こることがあります
- 症状により、抜歯が必要な場合があります
- 治療中は歯磨きがしにくくなるため、虫歯や歯周病になりやすくなります
- 矯正治療後の保定が不十分だと後戻り(元の位置に戻ろうとする動き)をします
- 自費診療(保険適用外)となります




