症例・治療例紹介
Cases
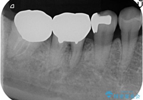
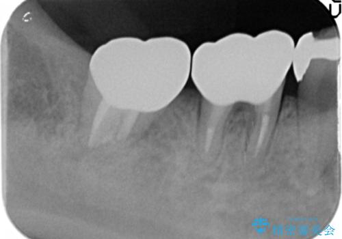
根管治療 → リトリートメント
4ページ目 / 7
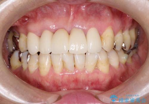
金属をセラミックにしたい、根管治療も行ったケース


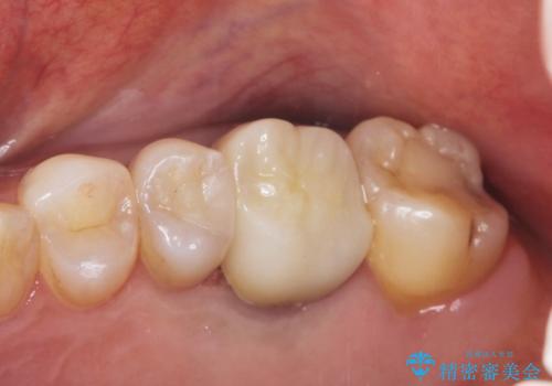
セラミックインレー 下の一番奥歯 歯ぐきの厚みを減らしてぴったりに入れます(ディスタルウェッジ+骨外科)


この際全てをしっかりと治療したい 総合歯科治療
担当医 藤巻太一朗


上の前歯の根元が黒い 根の治療を含めたセラミック再治療


奥歯の目立つ銀歯を白くしたい


矯正を併用した前歯のセラミックブリッジ治療


前歯のブリッジが外れる


インプラントのかぶせ物が気持ち悪い 話しにくさと舌感の改善


前歯のブリッジがすぐに外れる まずは土台の歯をしっかりと改善


矯正治療・根管治療 被せものの製作 包括的な総合歯科治療による見た目の改善


反対咬合 矯正歯科治療と審美歯科治療によりきれいな口元へ


歯の高さがなく、被せ物が外れる 歯周外科手術で解決


根管治療の注意事項(リスク・副作用など)
- 根管治療により類似の全ての症例の問題が解決するわけではなく、症例はあくまでも一例です
- 根管治療により痛みや腫れがひかない事や、術後に痛みや腫れが生じる事、治療によるファイル破折やパーフォレーションなどの偶発症、術後の歯根破折を生じる可能性もあります
- 自費診療(保険適用外)となります






