症例・治療例紹介
Cases
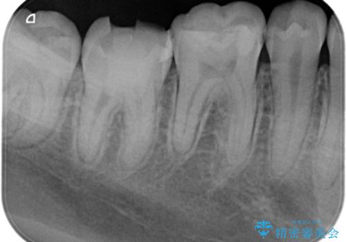
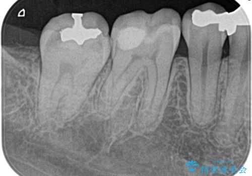
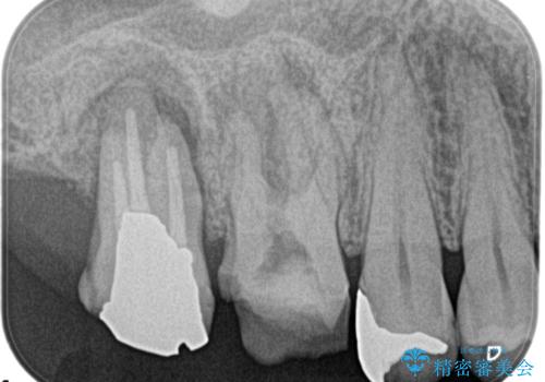
根管治療 → イニシャルトリートメント
4ページ目 / 7
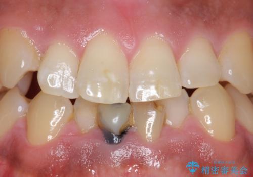
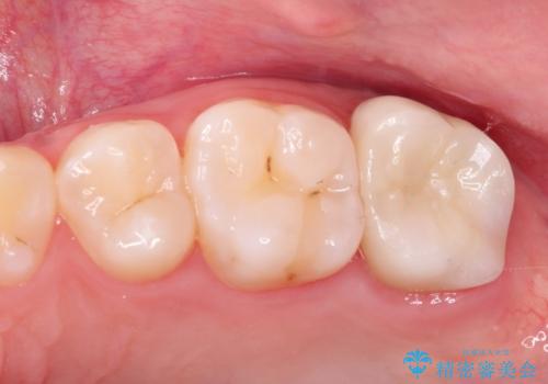
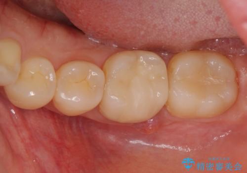
【根管治療】ラバーダムを使用した治療をしてほしい


奥歯がないまま過ごしていたら前歯もぐらぐらしてきた 60代女性


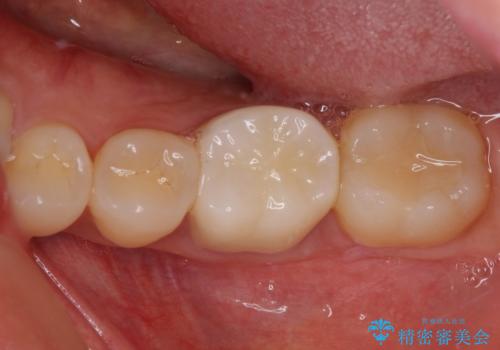
奥の歯茎にニキビみたいなものができた!
担当医 河口智英


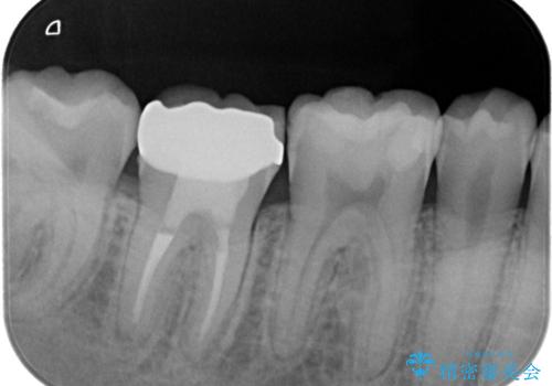
【根管治療】冷たいもので激痛
担当医 河口智英


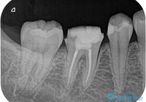
【根管治療】噛んだら痛い。ズキズキ痛い
担当医 河口智英


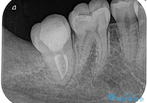
【根管治療】ズキズキ痛い歯
担当医 河口智英


【根管治療】昨日から眠れないぐらい歯が痛い
担当医 河口智英


下の前歯の色が気になる セラミックで綺麗に 40代男性


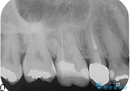
奥歯がズキズキ痛い 根管治療
担当医 河口智英


奥歯が痛い。ラバーダム使った治療がしたい。


奥歯が痛い 根管治療とオールセラミッククラウン


湾曲根管。精密根管治療
担当医 河口智英


奥歯が痛い。根管治療
担当医 河口智英


奥歯が痛い。精密根管治療〜オールセラミッククラウン


奥歯の根管治療~オールセラミッククラウン


根管治療の注意事項(リスク・副作用など)
- 根管治療により類似の全ての症例の問題が解決するわけではなく、症例はあくまでも一例です
- 根管治療により痛みや腫れがひかない事や、術後に痛みや腫れが生じる事、治療によるファイル破折やパーフォレーションなどの偶発症、術後の歯根破折を生じる可能性もあります
- 自費診療(保険適用外)となります
