症例・治療例紹介
Cases
根管治療 → リトリートメント
2ページ目 / 7
奥歯が痛い オールセラミッククラウンでのむし歯治療


目立つ銀歯と欠けてしまった詰め物 オールセラミッククラウンでの補綴治療


入れ歯を変えたい ブリッジでの修復治療


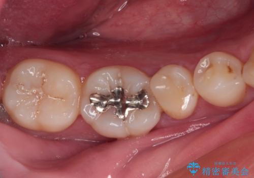
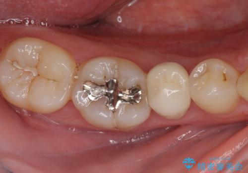
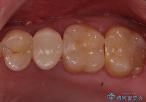
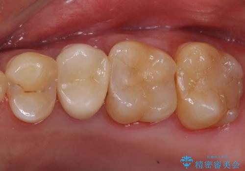
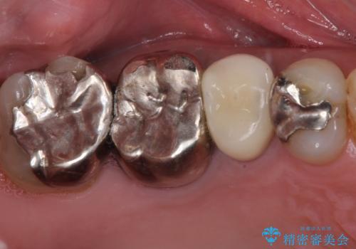
他院で入れた銀歯をやりかえたい。


繰り返す痛み 下顎小臼歯の再根管治療


歯茎が腫れてきた。再根管治療


銀歯を白くして見た目を改善したい !


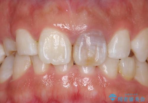
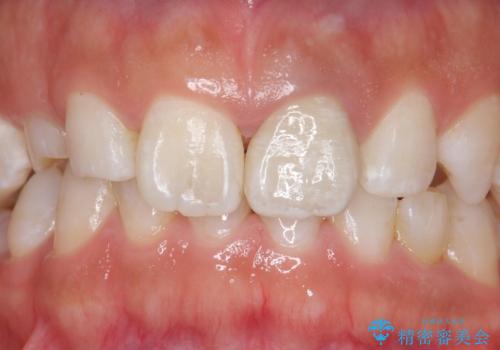
変色した前歯 ジルコニアクラウンでの修復


不快感の強い奥歯 オールセラミッククラウンでのむし歯治療


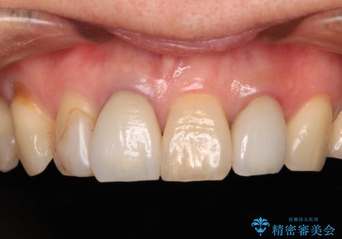
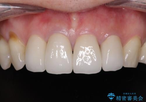
前歯の黒い縁を綺麗にしたい 前歯のオールセラミック


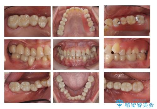
全体をきちんと治したい


器具が破折して残ったままの前歯


変色した歯を綺麗にしたい 根管治療からジルコニアクラウンでの修復


もげてしまった奥歯 オールセラミッククラウンでの補綴治療


モザイク模様の前歯 オールセラミッククラウンで整った印象に


根管治療の注意事項(リスク・副作用など)
- 根管治療により類似の全ての症例の問題が解決するわけではなく、症例はあくまでも一例です
- 根管治療により痛みや腫れがひかない事や、術後に痛みや腫れが生じる事、治療によるファイル破折やパーフォレーションなどの偶発症、術後の歯根破折を生じる可能性もあります
- 自費診療(保険適用外)となります
