症例・治療例紹介
Cases
インプラント治療 → 奥歯インプラント
7ページ目 / 36
部分矯正で咬み合わせを改善 奥歯のインプラント治療


矯正の後戻りと奥歯の欠損 ワイヤー矯正とインプラント治療


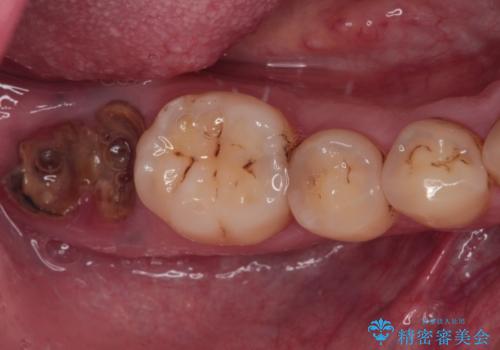
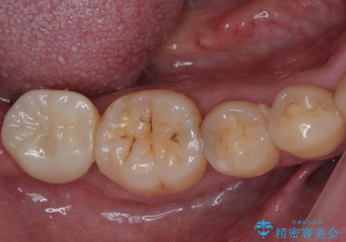
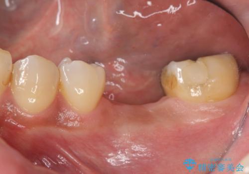
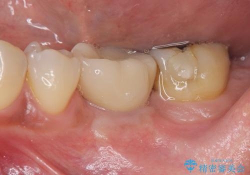
[ 歯槽堤保存術 ] [ 奥歯の破折 ] ソケットプリザベーションを併用したインプラント治療
![[ 歯槽堤保存術 ] [ 奥歯の破折 ] ソケットプリザベーションを併用したインプラント治療の症例 治療前](https://seimitsushinbi.jp/wp/wp-content/uploads/2024/05/68d7a5f8cc6676653c68d96a6245b391-500x350.jpg?v=1716785788)
![[ 歯槽堤保存術 ] [ 奥歯の破折 ] ソケットプリザベーションを併用したインプラント治療の症例 治療後](https://seimitsushinbi.jp/wp/wp-content/uploads/2024/05/2a5634e2f61258f5ee54ecec268a8848-500x350.jpg?v=1716785834)
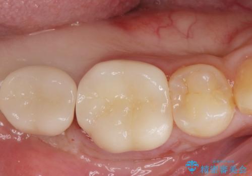
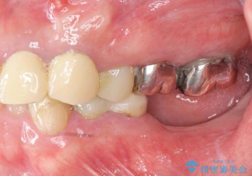
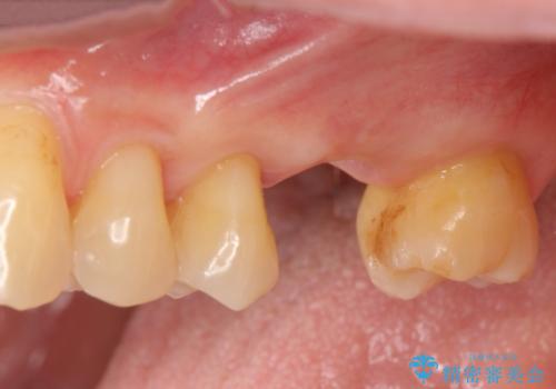
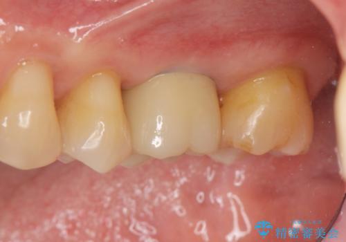
[ 失った歯の機能を回復 ] 奥歯のインプラント治療
![[ 失った歯の機能を回復 ] 奥歯のインプラント治療の症例 治療前](https://seimitsushinbi.jp/wp/wp-content/uploads/2024/05/3de66f5058931bd6bbff7e1daf0383b9-500x350.jpg?v=1716442786)
![[ 失った歯の機能を回復 ] 奥歯のインプラント治療の症例 治療後](https://seimitsushinbi.jp/wp/wp-content/uploads/2024/05/86d621ae76354cad43b5c7bb6bfe81aa-500x350.jpg?v=1716442745)
孫から口臭を指摘され来院、全顎治療で噛み合わせ、見た目、口臭全て劇的改善!


抜歯が必要な小臼歯 インプラントによる補綴治療


銀歯を白くしたい。(インプラント治療)


奥歯がない 咬合力を回復するインプラント治療


銀歯を外し、インプラントを入れたい


虫歯で失ってしまった奥歯、インプラント治療で再び噛めるように!


1DAYインプラント希望!


インプラント治療の注意事項(リスク・副作用など)
- 外科手術のため、術後に痛みや腫れ、違和感を伴います
- メンテナンスを怠ったり喫煙により、お口の中に大きな悪影響を及ぼすインプラント周囲炎等にかかる可能性があります
- 糖尿病、肝硬変、心臓病等の場合、インプラント治療ができない可能性があります
- 高血圧、貧血・不整脈等の場合、インプラント治療後に治癒不全を招く可能性があります
- 自費診療(保険適用外治療)となります








