症例・治療例紹介
Cases
インプラント治療 → 奥歯インプラント
22ページ目 / 36
抜歯になった虫歯 奥歯のインプラント治療


強い咬み合わせで割れてしまった奥歯 インプラントによる咬合回復


虫歯による歯の喪失 インプラントによる咬合機能回復


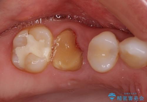
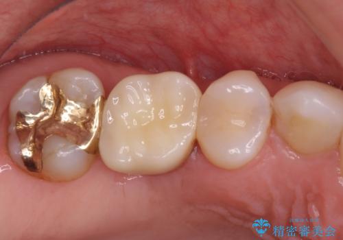
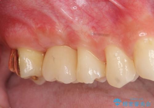
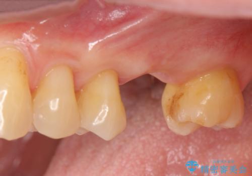
[歯周病治療] 歯周補綴 インプラント補綴
![[歯周病治療] 歯周補綴 インプラント補綴の症例 治療前](https://seimitsushinbi.jp/wp/wp-content/uploads/2020/03/067ed603e15bc4c623e950ffbd6c0829-500x350.jpg?v=1585493851)
![[歯周病治療] 歯周補綴 インプラント補綴の症例 治療後](https://seimitsushinbi.jp/wp/wp-content/uploads/2020/03/93a1bf8bd8e0f11621dbb40f6f1d795c-500x350.jpg?v=1585494318)
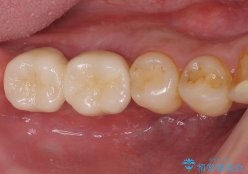
ソケットリフトを伴うインプラント補綴


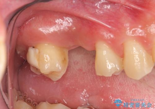
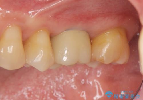
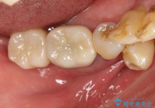
[遊離歯肉移植] インプラント周囲の角化歯肉の獲得
![[遊離歯肉移植] インプラント周囲の角化歯肉の獲得の症例 治療前](https://seimitsushinbi.jp/wp/wp-content/uploads/2020/01/ed937e86f21629e18e8c1dc62b85d1a9-500x350.jpg?v=1580303875)
![[遊離歯肉移植] インプラント周囲の角化歯肉の獲得の症例 治療後](https://seimitsushinbi.jp/wp/wp-content/uploads/2020/01/f8e73ac6cf91eb450f830ba6ff08cd3a-500x350.jpg?v=1580303890)
不適合ブリッジの除去 インプラントによる咬合再構成


奥歯の欠損 インプラントによる咬合機能回復


部分矯正を併用した奥歯のインプラント補綴治療


インビザライン矯正とインプラント補綴 深い咬み合わせと奥歯の欠損治療


歯周病にて保存不可能な歯をショートインプラントで回復する


インプラント治療の注意事項(リスク・副作用など)
- 外科手術のため、術後に痛みや腫れ、違和感を伴います
- メンテナンスを怠ったり喫煙により、お口の中に大きな悪影響を及ぼすインプラント周囲炎等にかかる可能性があります
- 糖尿病、肝硬変、心臓病等の場合、インプラント治療ができない可能性があります
- 高血圧、貧血・不整脈等の場合、インプラント治療後に治癒不全を招く可能性があります
- 自費診療(保険適用外治療)となります

![[嘔吐反射がひどく義歯がつけられない] 臼歯部インプラント補綴 の症例 治療前](https://seimitsushinbi.jp/wp/wp-content/uploads/2020/03/1b03fb94a80967489da3fbc10eca6c8f-500x350.jpg?v=1585390188)
![[嘔吐反射がひどく義歯がつけられない] 臼歯部インプラント補綴 の症例 治療後](https://seimitsushinbi.jp/wp/wp-content/uploads/2020/03/27f48952c3f36e797e751ba818028a44-1-500x350.jpg?v=1585390198)





