症例・治療例紹介
Cases
インプラント治療 → 奥歯インプラント
21ページ目 / 36
抜歯時歯槽堤保存術を用いた骨造成・インプラント治療


インプラントを用いた歯周病全顎治療
担当医 大元洋佑


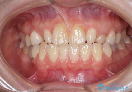
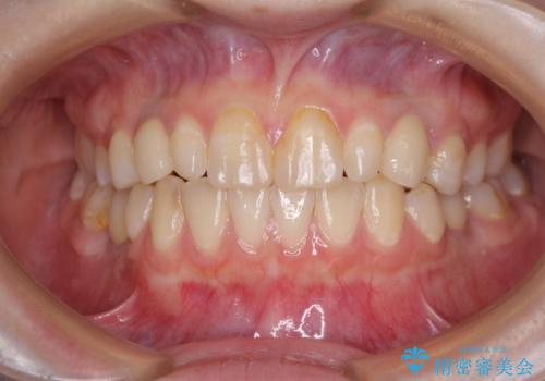
インプラント治療とインビザライン矯正治療 総合歯科治療


折れてしまった歯 インプラントによる補綴治療


歯周病 インプラントによる咬合機能回復


欠損と残存乳歯 矯正治療とインプラント治療


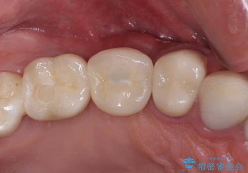
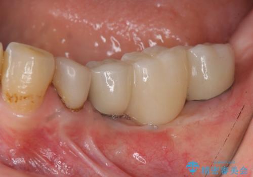
[ 歯牙破折 ] インプラントによる咬合機能回復
![[ 歯牙破折 ] インプラントによる咬合機能回復の症例 治療前](https://seimitsushinbi.jp/wp/wp-content/uploads/2020/06/b6b595d0a851d2208860e72979379230-500x350.jpg?v=1592547923)
![[ 歯牙破折 ] インプラントによる咬合機能回復の症例 治療後](https://seimitsushinbi.jp/wp/wp-content/uploads/2020/06/a4a3e63d5b0094182948d5434e997447-500x350.jpg?v=1592548001)
抜歯されたままの奥歯 ストローマンインプラントによる欠損補綴治療


[インプラントオーバーデンチャー] インプラントで奥歯を支える部分床義歯
![[インプラントオーバーデンチャー] インプラントで奥歯を支える部分床義歯の症例 治療前](https://seimitsushinbi.jp/wp/wp-content/uploads/2020/05/79f644293d350fd31fb63c7afa8d4763-500x350.jpg?v=1590579941)
![[インプラントオーバーデンチャー] インプラントで奥歯を支える部分床義歯の症例 治療後](https://seimitsushinbi.jp/wp/wp-content/uploads/2020/05/964966d14f9a29d4be64de2323b493a3-500x350.jpg?v=1590579837)
八重歯の矯正+歯のないところにインプラント


インプラント(ストローマン) 抜歯後の欠損補綴


インプラント治療の注意事項(リスク・副作用など)
- 外科手術のため、術後に痛みや腫れ、違和感を伴います
- メンテナンスを怠ったり喫煙により、お口の中に大きな悪影響を及ぼすインプラント周囲炎等にかかる可能性があります
- 糖尿病、肝硬変、心臓病等の場合、インプラント治療ができない可能性があります
- 高血圧、貧血・不整脈等の場合、インプラント治療後に治癒不全を招く可能性があります
- 自費診療(保険適用外治療)となります



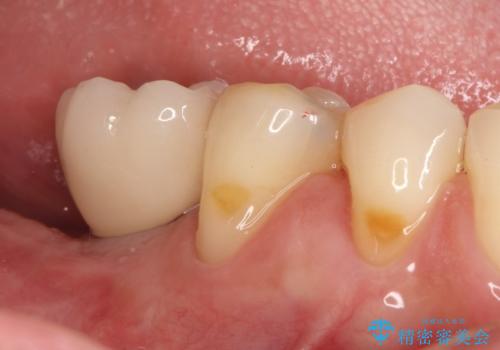
![[強すぎる咬合力] 破折歯のインプラントによる咬合機能回復治療の症例 治療前](https://seimitsushinbi.jp/wp/wp-content/uploads/2020/05/e338f4eb43b05c32759a8ec5e52e2619-500x350.jpg?v=1590281991)
![[強すぎる咬合力] 破折歯のインプラントによる咬合機能回復治療の症例 治療後](https://seimitsushinbi.jp/wp/wp-content/uploads/2020/05/606d95eac3b55762cffe97d2aded5291-500x350.jpg?v=1590284603)



