症例・治療例紹介
Cases
インプラント治療 → 奥歯インプラント
13ページ目 / 36
臼歯部インプラント治療


部分矯正を併用した奥歯のインプラント治療


欠損している歯をインプラント治療により元のように咬めるように


治療後に歯茎から出血 インプラントとオールセラミッククラウンの補綴治療


60代女性 奥歯のインプラント


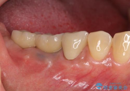
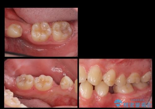
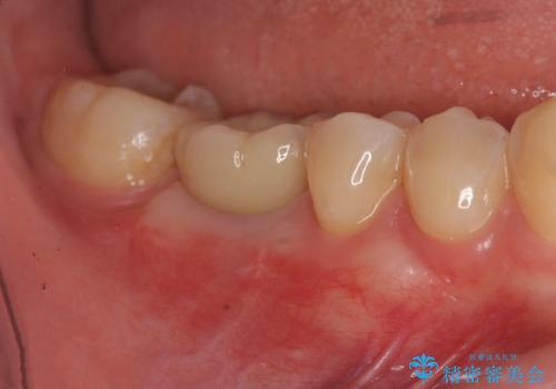
[ インプラントによる機能回復 ] 強い咬合力 放置した虫歯の治療
![[ インプラントによる機能回復 ] 強い咬合力 放置した虫歯の治療の症例 治療前](https://seimitsushinbi.jp/wp/wp-content/uploads/2022/07/dbc5e5b52dd96aeab54aa69e57a96bd1-500x350.jpg?v=1658988380)
![[ インプラントによる機能回復 ] 強い咬合力 放置した虫歯の治療の症例 治療後](https://seimitsushinbi.jp/wp/wp-content/uploads/2022/07/5634e865a3957c7dade18cdc7bf6b192-500x350.jpg?v=1658988421)
生まれつき歯が少ない 20代でインプラント治療


銀歯や古くなったクラウンをやりかえたい


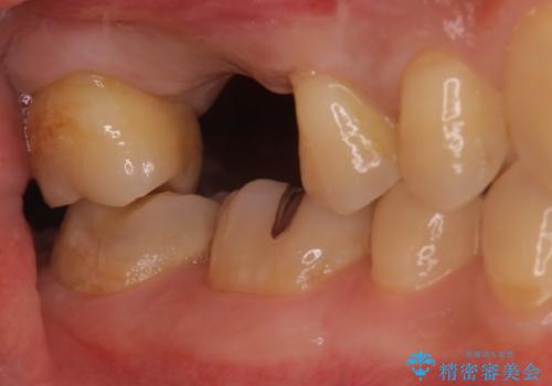
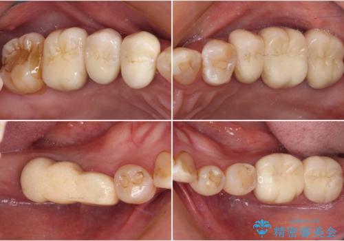
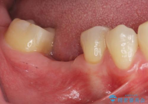
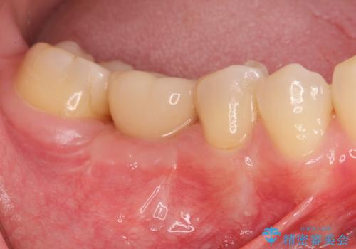
[ 臼歯部インプラント治療 ] 抜けた歯を治療したい
![[ 臼歯部インプラント治療 ] 抜けた歯を治療したいの症例 治療前](https://seimitsushinbi.jp/wp/wp-content/uploads/2022/06/b20681531f81bbbcb107d489675c3fe3-500x350.jpg?v=1655969039)
![[ 臼歯部インプラント治療 ] 抜けた歯を治療したいの症例 治療後](https://seimitsushinbi.jp/wp/wp-content/uploads/2022/06/3d94cd3d2c3bb38c4cb75b95fbdde67e-500x350.jpg?v=1655972093)
憧れの白い歯に 全顎セラミック治療


欠損歯列の矯正治療とインプラント治療


放置した虫歯 インプラントによる機能回復


インプラント治療の注意事項(リスク・副作用など)
- 外科手術のため、術後に痛みや腫れ、違和感を伴います
- メンテナンスを怠ったり喫煙により、お口の中に大きな悪影響を及ぼすインプラント周囲炎等にかかる可能性があります
- 糖尿病、肝硬変、心臓病等の場合、インプラント治療ができない可能性があります
- 高血圧、貧血・不整脈等の場合、インプラント治療後に治癒不全を招く可能性があります
- 自費診療(保険適用外治療)となります

![[ 重度歯周病 ] 抜歯後のインプラント治療の症例 治療前](https://seimitsushinbi.jp/wp/wp-content/uploads/2023/09/175b509ec454b727ff977cee78485926-500x350.jpg?v=1695801041)
![[ 重度歯周病 ] 抜歯後のインプラント治療の症例 治療後](https://seimitsushinbi.jp/wp/wp-content/uploads/2023/09/e98e4e9cd9ff38fbf43e5e8e0214fa69-500x350.jpg?v=1695801055)



