症例詳細
Case detail
歯科でトラウマ 怖くて行っていなかったが、今度こそきちんと治療したい
治療症例の内容
- 患者様
- 40代女性
- 治療期間
- 10ヶ月
- 治療回数
- 5-10回
- 治療計画
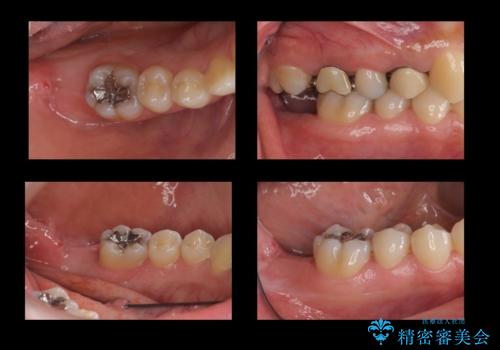
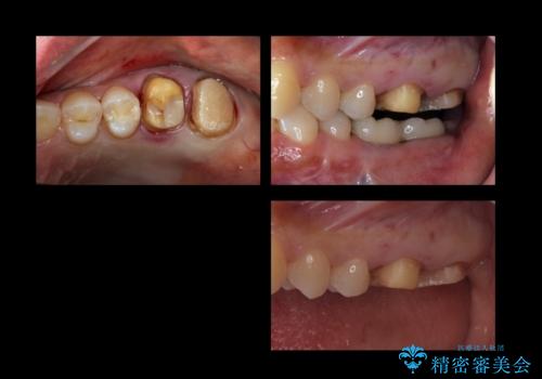
- 奥歯の虫歯を放置してしまい、痛みがあり来院。
過去に他院で親知らず抜歯時に抜けず、長時間恐怖を味わったとのことでトラウマになり歯科にかかることができなかったとのことでした。
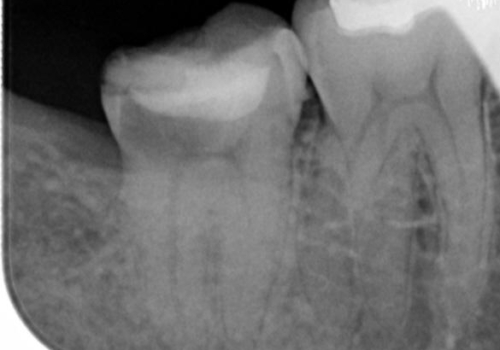
下の奥歯が虫歯になっており、痛みが生じていました。
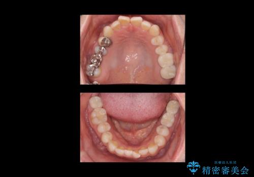
左右の第二大臼歯は虫歯がひどく抜歯が必要な状態でした。
また、左下の第一大臼歯は歯が内側から吸収してしまう状態(外部吸収)が生じており、患者様と相談の上抜歯しました。
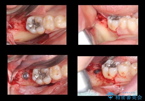
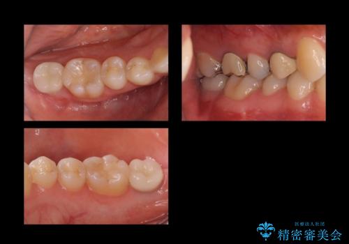
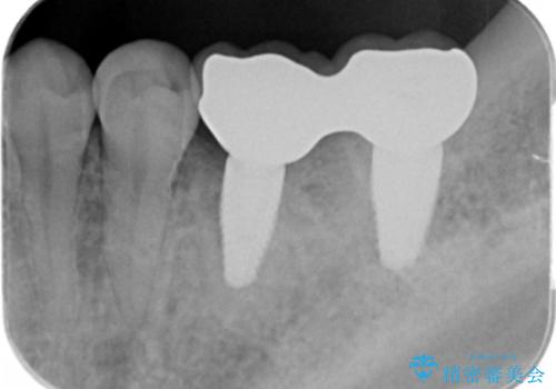
合計3本の奥歯を抜歯したところに、インプラント治療を行っています。
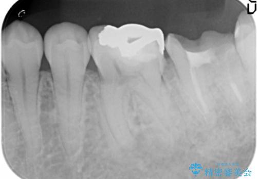
また、左上奥歯の根の治療および右下の虫歯治療も併せて行っています。
- 費用(概算)
- 199.1万円 内訳:右下7、左下67(ストローマンインプラント 22万円×3本 チタンカスタムアバットメント 11万円×3本 ジルコニアクラウン11万円×3本 インプラント用仮歯 2.2万円×3本 骨増生 5.5万円×2ヶ所) 左上67(精密根管再治療 14.3万円×1本、仮歯1.1万円x2本、ジルコニアクラウン11万円×2本)右下6(セラミックインレー 7.7万円)プレミアムナイトガード 3.3万円費用は治療当時の料金となります
治療について
外科手術時には麻酔医により静脈内鎮静法を行っています。
静脈内鎮静法は、手術時の記憶がなくなり、うたた寝をしたような状態で手術を終えられるため、恐怖を味わうことなく手術を受けることが可能です。
セラミック治療の注意事項(リスク・副作用など)
- 天然歯を削ります
- 硬い素材は天然歯を傷つけてしまう場合があります
- かみ合わせや歯ぎしりが強すぎる方はセラミックが割れてしまう可能性があります
- 自費診療(保険適用外治療)となります
インプラント治療の注意事項(リスク・副作用など)
- 外科手術のため、術後に痛みや腫れ、違和感を伴います
- メンテナンスを怠ったり喫煙により、お口の中に大きな悪影響を及ぼすインプラント周囲炎等にかかる可能性があります
- 糖尿病、肝硬変、心臓病等の場合、インプラント治療ができない可能性があります
- 高血圧、貧血・不整脈等の場合、インプラント治療後に治癒不全を招く可能性があります
- 自費診療(保険適用外治療)となります
静脈内鎮静法の注意事項(リスク・副作用など)
- 回復後も多少眠気が残る可能性があります
- 治療中の記憶が残る場合があります
- 意識が完全になくなることはないため、2時間程度の治療で適応となります
- 静脈穿刺時に痛みがあります
- 治療当日は乗り物の運転は控える必要があります
- 自費診療(保険適用外)となります
当サイトの内容、テキスト、画像等の無断転載、複製、複写、盗用を固く禁じます。















