症例・治療例紹介
Cases
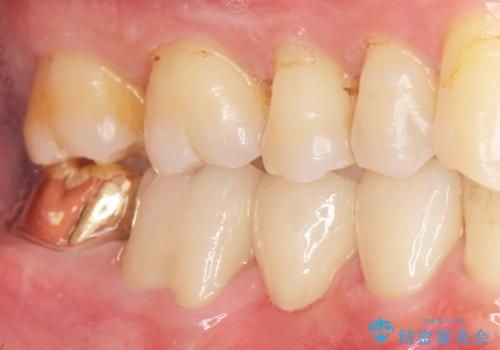
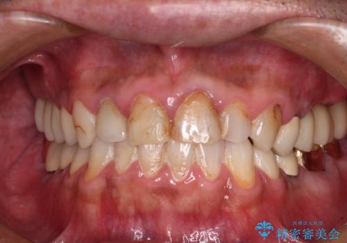
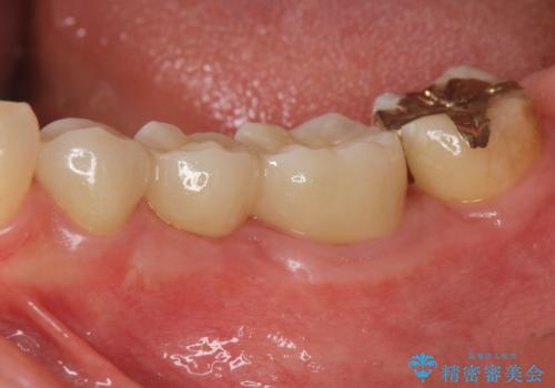
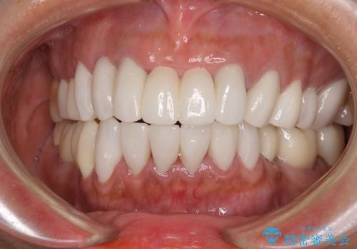
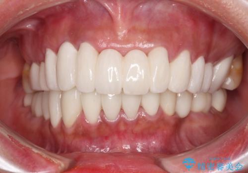
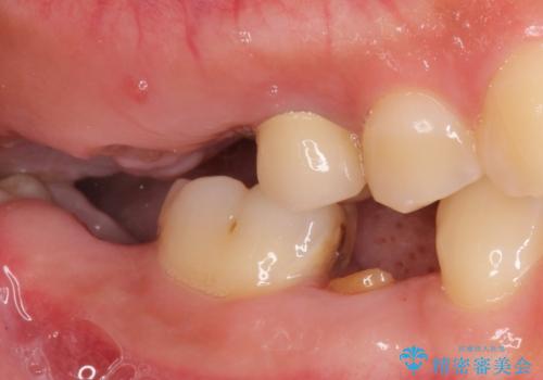
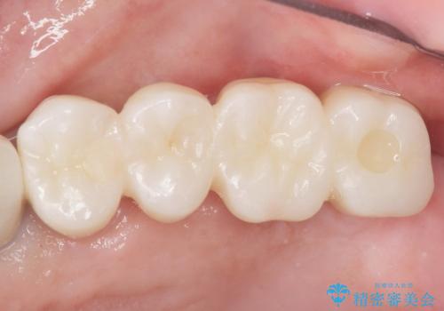
セラミック治療 → 奥歯ブリッジ
8ページ目 / 21
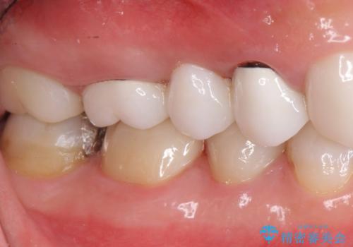
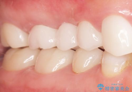
かぶせものと歯ぐきの境目が黒い 40代女性


保険のかぶせ物・詰め物を金属を使わないセラミックへ 自然な見た目へ


親知らずのせいで隣の歯が虫歯に 40代男性


歯並びや奥歯の痛み 色々と治したい 総合歯科診療
担当医 藤巻太一朗


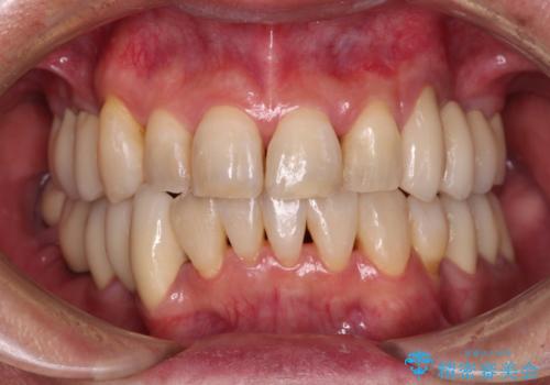
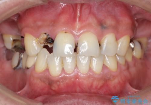
インプラント治療・セラミック治療を含む 全顎的虫歯治療
担当医 大元洋佑


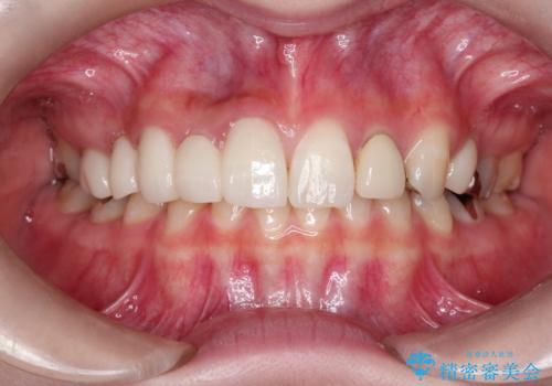
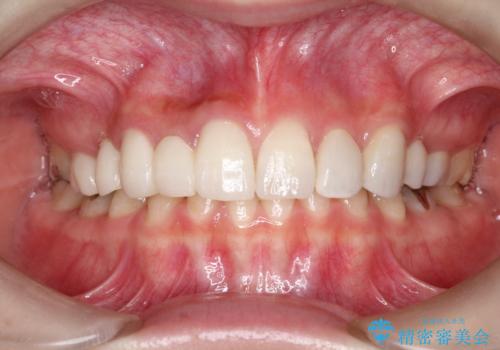
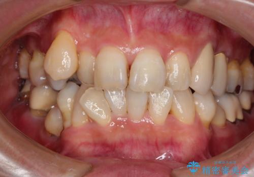
前歯が反対になっている マウスピース矯正+奥歯ブリッジ


抜歯が必要な左右の奥歯 ブリッジとインプラントによる奥歯の補綴治療


大人になってからの乳歯脱落 セラミックブリッジによる補綴
担当医 大元洋佑


話にくい 咬みにくい 笑いにくい 気に入らないセラミッククラウンを全て作り直し


歯が折れた 低予算でオールセラミックのブリッジ 20代女性


歯肉移植(FGG)による角化歯肉の獲得で長持ちするインプラントへ 50代男性


セラミック治療の注意事項(リスク・副作用など)
- 天然歯を削ります
- 硬い素材は天然歯を傷つけてしまう場合があります
- かみ合わせや歯ぎしりが強すぎる方はセラミックが割れてしまう可能性があります
- 自費診療(保険適用外治療)となります



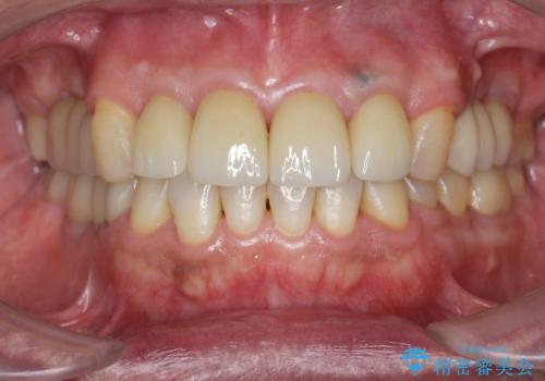
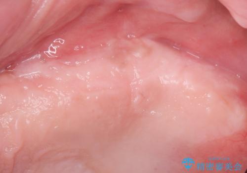
![[ 欠損補綴 ] ブリッジとインプラントの症例 治療前](https://seimitsushinbi.jp/wp/wp-content/uploads/2021/10/d680d397e015686572db595995781e12-500x350.jpg?v=1634192539)
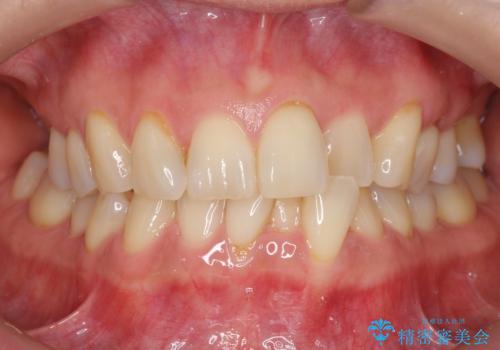
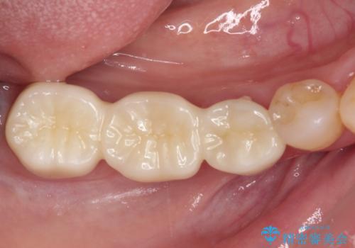
![[ 欠損補綴 ] ブリッジとインプラントの症例 治療後](https://seimitsushinbi.jp/wp/wp-content/uploads/2021/10/82c7cc111177152f4f990e0f169487f7-500x350.jpg?v=1634192579)
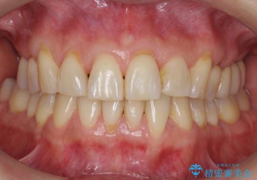
![[ 途中からの治療 ] 他院で行った根管治療後のセラミック治療の症例 治療前](https://seimitsushinbi.jp/wp/wp-content/uploads/2021/08/ec112886b077b95f063460404571fcd5-500x350.jpg?v=1629978236)
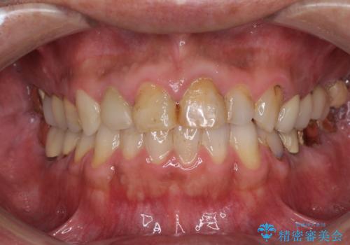
![[ 途中からの治療 ] 他院で行った根管治療後のセラミック治療の症例 治療後](https://seimitsushinbi.jp/wp/wp-content/uploads/2021/08/8f8d20667c9105de80d21401ceb4478d-500x350.jpg?v=1629978239)
![[ 歯牙破折 ] 違和感のある大臼歯 ブリッジ治療の症例 治療前](https://seimitsushinbi.jp/wp/wp-content/uploads/2021/08/IMG_9577-500x350.jpg?v=1629711075)
![[ 歯牙破折 ] 違和感のある大臼歯 ブリッジ治療の症例 治療後](https://seimitsushinbi.jp/wp/wp-content/uploads/2021/08/2e4ccba27e1ea02fdacf49749694bbb1-500x350.jpg?v=1629711051)