症例・治療例紹介
Cases
セラミック治療 → 前歯ブリッジ
6ページ目 / 17
喫煙を再開してインプラント周囲炎に リカバリー治療 50代男性


転んで前歯が欠けた 折れた前歯をきっかけに矯正治療で歯列をきれいに整える


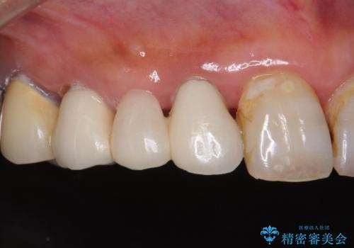
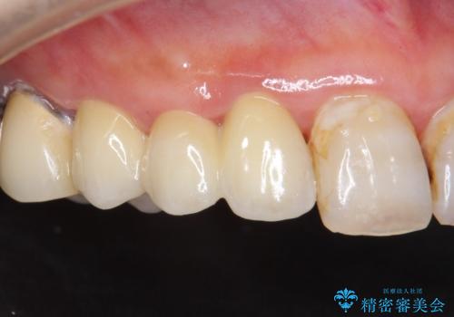
[ 矯正と補綴、総合歯科治療 ] クロスバイトを避ける前歯部審美ブリッジ
![[ 矯正と補綴、総合歯科治療 ] クロスバイトを避ける前歯部審美ブリッジの症例 治療前](https://seimitsushinbi.jp/wp/wp-content/uploads/2021/07/IMG_9914-500x350.jpg?v=1626697179)
![[ 矯正と補綴、総合歯科治療 ] クロスバイトを避ける前歯部審美ブリッジの症例 治療後](https://seimitsushinbi.jp/wp/wp-content/uploads/2021/07/fcd77503a97e2f3a648f6e8698e34626-500x350.jpg?v=1626697051)
不自然なブリッジ 自然なセラミックでやりかえ 30代女性


被せ物がかけた 綺麗で丈夫なセラミックのブリッジへ 60代女性


転んで前歯が2本ぬけた 自然なブリッジへ 60代男性


歯の動揺が気になる 低予算ではやく治したい 50代女性


セラミック治療の注意事項(リスク・副作用など)
- 天然歯を削ります
- 硬い素材は天然歯を傷つけてしまう場合があります
- かみ合わせや歯ぎしりが強すぎる方はセラミックが割れてしまう可能性があります
- 自費診療(保険適用外治療)となります









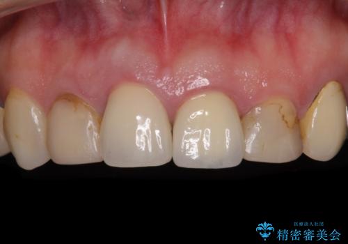
![[ 前歯ジルコニアブリッジ ] 前歯の突き上げによる歯牙破折の症例 治療前](https://seimitsushinbi.jp/wp/wp-content/uploads/2021/06/f904661310d60a2ed5a2438a66ca98be-500x350.jpg?v=1624846917)
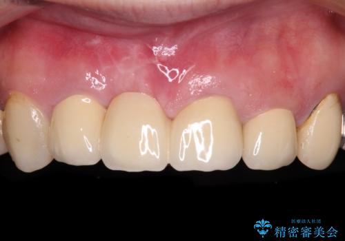
![[ 前歯ジルコニアブリッジ ] 前歯の突き上げによる歯牙破折の症例 治療後](https://seimitsushinbi.jp/wp/wp-content/uploads/2021/06/9c81c4afd2bc237f49e5d4c87c00bff1-500x350.jpg?v=1624846972)




![[ 審美歯科 ]前歯のブリッジをやりかえたいの症例 治療前](https://seimitsushinbi.jp/wp/wp-content/uploads/2021/06/cbe211d7933d903b4d598dc115cdabae-500x350.jpg?v=1623988680)
![[ 審美歯科 ]前歯のブリッジをやりかえたいの症例 治療後](https://seimitsushinbi.jp/wp/wp-content/uploads/2021/06/41e62ec4756c704eb3b8077ef9b2f37d-500x350.jpg?v=1623988706)