症例・治療例紹介
Cases
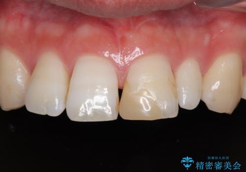
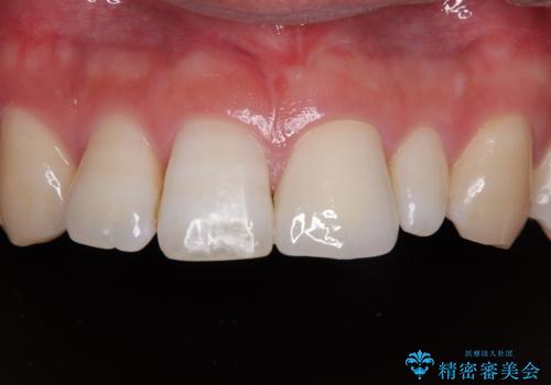
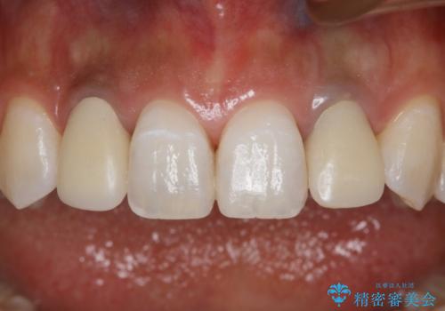
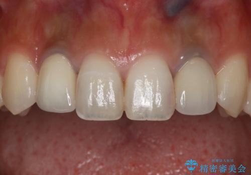
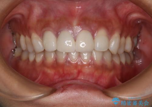
セラミック治療 → 前歯クラウン(オールセラミック)
6ページ目 / 73
重度のがたつき 矯正治療+セラミック治療で綺麗な歯並びに 矯正専門では難しい治療
担当医 井上季実子


【モニター】前歯のデコボコと小さい前歯 インビザライン矯正とオールセラミッククラウン補綴治療


保険診療の黄ばんできた前歯をオールセラミッククラウンで自然な歯に


つぎはぎだらけの前歯を周囲と調和させたい オールセラミッククラウン補綴治療


仮歯からセラミックへ 色合わせで自然な色調の再現


前歯の黄色味が気になる オールセラミッククラウン(スペシャル)
担当医 有澤哲郎


[ 金属アレルギー ] メタルフリー治療の希望
担当医 大元洋佑
![[ 金属アレルギー ] メタルフリー治療の希望の症例 治療前](https://seimitsushinbi.jp/wp/wp-content/uploads/2024/10/712df8e025d077f98e51968035d2ecd1-500x350.jpg?v=1729753767)
![[ 金属アレルギー ] メタルフリー治療の希望の症例 治療後](https://seimitsushinbi.jp/wp/wp-content/uploads/2024/10/6e3f0cf107f260de7aef09e7be64d754-500x350.jpg?v=1729753746)
矮小(わいしょう)歯の形をセラミックで自然に 50代女性


八重歯と突出感を改善 ワイヤー装置での矯正治療


前歯の変色をキレイに セラミッククラウン審美治療
担当医 大元洋佑


転んで歯をぶつけてしまった:前歯の色と形を改善したい


【1Dayインプラント】審美性を考えたインプラント


前歯をきれいにやり替えたい
担当医 齋藤佑磨


非対称の前歯を整えたい 矯正治療と審美治療の総合歯科診療


セラミック治療の注意事項(リスク・副作用など)
- 天然歯を削ります
- 硬い素材は天然歯を傷つけてしまう場合があります
- かみ合わせや歯ぎしりが強すぎる方はセラミックが割れてしまう可能性があります
- 自費診療(保険適用外治療)となります


