症例・治療例紹介
Cases
セラミック治療 → 前歯ブリッジ
4ページ目 / 17
長く見える歯を治したい 歯肉移植による歯肉増大術


歯周病治療を伴う前歯審美セラミック治療


転倒で折れてしまった前歯 インプラントによるオールセラミックブリッジ治療


インプラント治療を併用した全顎歯周病治療


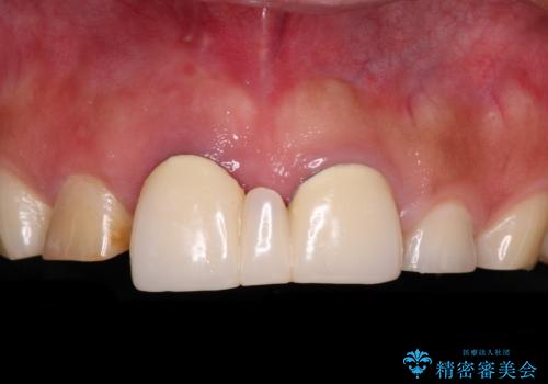
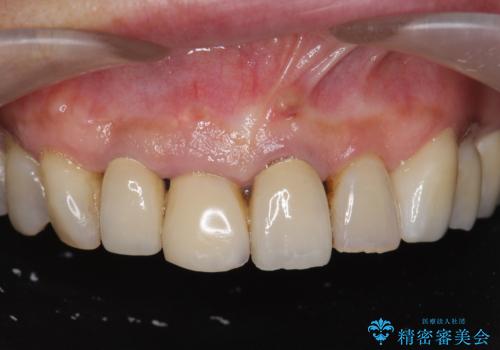
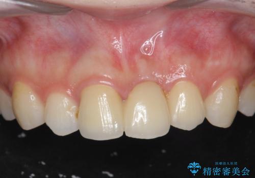
[ 前歯のオールセラミックブリッジ ] 前歯の腫れ・痛み・ニオイ・出血が気になる
担当医 大元洋佑
![[ 前歯のオールセラミックブリッジ ] 前歯の腫れ・痛み・ニオイ・出血が気になるの症例 治療前](https://seimitsushinbi.jp/wp/wp-content/uploads/2022/06/ccd2044576fc22903102228d1200b171-500x350.jpg?v=1655973788)
![[ 前歯のオールセラミックブリッジ ] 前歯の腫れ・痛み・ニオイ・出血が気になるの症例 治療後](https://seimitsushinbi.jp/wp/wp-content/uploads/2022/06/47130413fab91972fae52ec510652010-500x350.jpg?v=1655973830)
前歯が一本取れた オールセラミックブリッジによる補綴治療


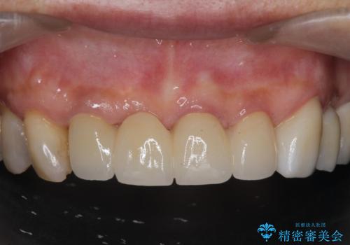
[ 歯周病による多数歯の欠損 ] 全顎的インプラント・歯周病治療
担当医 大元洋佑
![[ 歯周病による多数歯の欠損 ] 全顎的インプラント・歯周病治療の症例 治療前](https://seimitsushinbi.jp/wp/wp-content/uploads/2022/06/740883583879a0822e9bd95ed27b74e6-500x350.jpg?v=1654154479)
![[ 歯周病による多数歯の欠損 ] 全顎的インプラント・歯周病治療の症例 治療後](https://seimitsushinbi.jp/wp/wp-content/uploads/2022/06/18521d85f6e9e57a2f920c41423bc5b8-500x350.jpg?v=1654154185)
不自然な前歯 歯肉移植を用いた前歯のオールセラミックブリッジ


捻れた前歯と銀歯のブリッジを治したい ワイヤー矯正とオールセラミックブリッジ
担当医 藤巻太一朗


事故で抜歯となった前歯 ブリッジやインプラントによる補綴治療


セラミック治療の注意事項(リスク・副作用など)
- 天然歯を削ります
- 硬い素材は天然歯を傷つけてしまう場合があります
- かみ合わせや歯ぎしりが強すぎる方はセラミックが割れてしまう可能性があります
- 自費診療(保険適用外治療)となります










