ぐらつく前歯 ブリッジ治療の症例写真

症例詳細

Case detail

ぐらつく前歯 ブリッジ治療

治療症例の内容

  1. 開始前
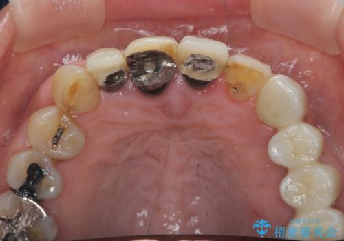
  2. 治療途中
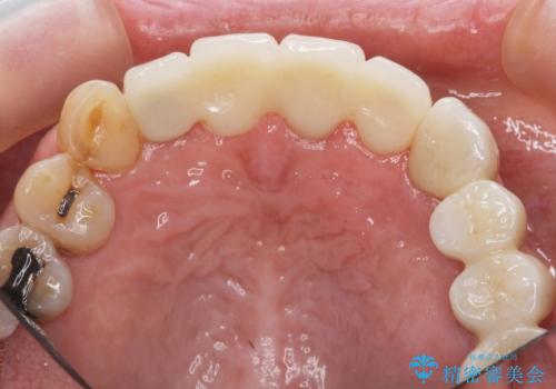
  3. 終了時
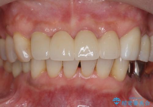
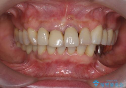
  1. ぐらつく前歯 ブリッジ治療の治療前
  2.  
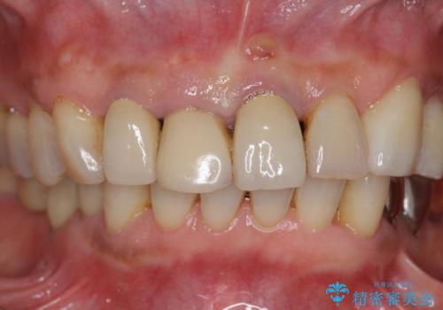
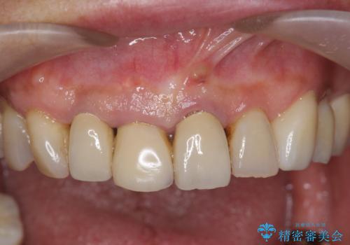
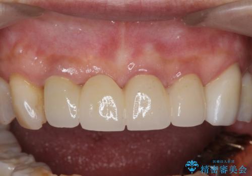
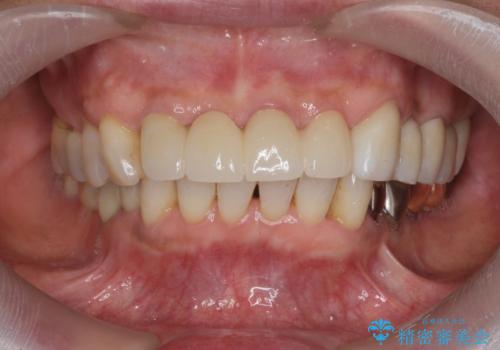
  3. ぐらつく前歯 ブリッジ治療の治療後
  1. ぐらつく前歯 ブリッジ治療の治療前
  2. ぐらつく前歯 ブリッジ治療の治療中
  3. ぐらつく前歯 ブリッジ治療の治療後
  1. ぐらつく前歯 ブリッジ治療の治療前
  2.  
  3. ぐらつく前歯 ブリッジ治療の治療後
  1. ぐらつく前歯 ブリッジ治療の治療前
  2.  
  3. ぐらつく前歯 ブリッジ治療の治療後
  1. ぐらつく前歯 ブリッジ治療の治療前
  2.  
  3. ぐらつく前歯 ブリッジ治療の治療後
  1. ぐらつく前歯 ブリッジ治療の治療前
  2.  
  3. ぐらつく前歯 ブリッジ治療の治療後
  1. ぐらつく前歯 ブリッジ治療の治療前
  2.  
  3. ぐらつく前歯 ブリッジ治療の治療後

この治療をした歯科医師の関連症例

24時間受付
無料相談予約

お電話での無料相談のご予約

平日 11:00-20:00 / 土日 10:00-18:00
閉じる