症例・治療例紹介
Cases
セラミック治療 → 前歯クラウン(オールセラミック)
39ページ目 / 73
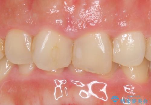
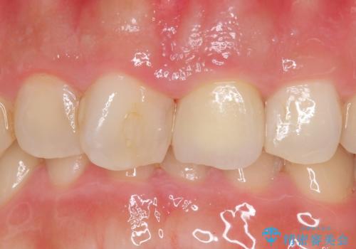
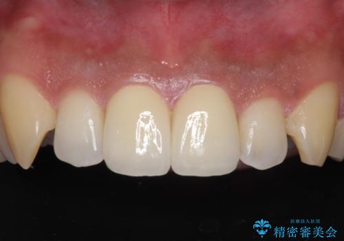
[根管治療・セラミック補綴] 歯ぐきを押すと痛い
![[根管治療・セラミック補綴] 歯ぐきを押すと痛いの症例 治療前](https://seimitsushinbi.jp/wp/wp-content/uploads/2020/06/af6939fea203eb3874487b1710bde0f0-500x350.jpg?v=1591340021)
![[根管治療・セラミック補綴] 歯ぐきを押すと痛いの症例 治療後](https://seimitsushinbi.jp/wp/wp-content/uploads/2020/06/f06e35140e887def91fb23d77e0ff069-500x350.jpg?v=1591340046)
歯ぐきからの出血 膿が出る 前歯根管・セラミック治療


オールセラミッククラウン 前歯の劣化した古い樹脂をセラミックに


オールセラミッククラウン 長さが気になる前歯の改善


矯正治療と歯周外科処置を併用した審美歯科治療
担当医 藤巻太一朗


前歯が痛い。根管治療~オールセラミッククラウン
担当医 河口智英


前歯の変色 セラミックで ホワイトニングも併用


オールセラミッククラウン 根管治療後の補綴


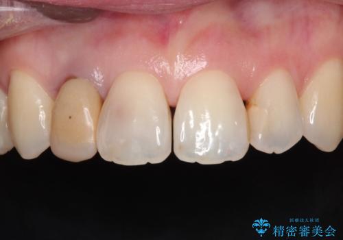
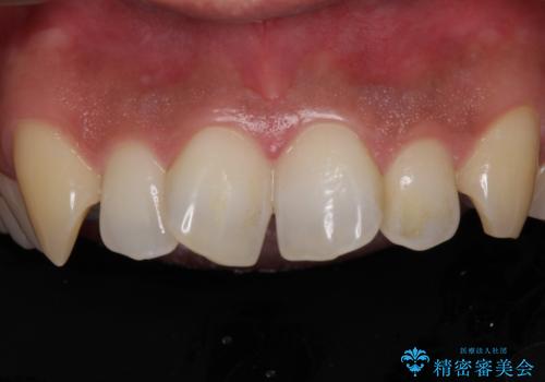
[メタルフリー治療] 金属色の見た目を改善したい
![[メタルフリー治療] 金属色の見た目を改善したいの症例 治療前](https://seimitsushinbi.jp/wp/wp-content/uploads/2020/04/553c3c3012decfd3e55a2fa374bf395d-500x350.jpg?v=1587899378)
![[メタルフリー治療] 金属色の見た目を改善したいの症例 治療後](https://seimitsushinbi.jp/wp/wp-content/uploads/2020/04/2380e74dbe3a2b002e8638bba9f8748e-500x350.jpg?v=1587899406)
前歯 ブリッジ周囲の腫れた歯ぐきを改善


不適合なクラウンのやりかえ
担当医 大元洋佑


前歯の変色 根管治療と高品質セラミック歯科治療


金属を全てセラミックに メタルフリー治療


捻れた出っ歯の前歯 オールセラミッククラウンによる審美治療


矮小歯(通常より小さな歯)をオールセラミックを装着して自然な歯へ


セラミック治療の注意事項(リスク・副作用など)
- 天然歯を削ります
- 硬い素材は天然歯を傷つけてしまう場合があります
- かみ合わせや歯ぎしりが強すぎる方はセラミックが割れてしまう可能性があります
- 自費診療(保険適用外治療)となります
