症例・治療例紹介
Cases
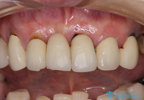
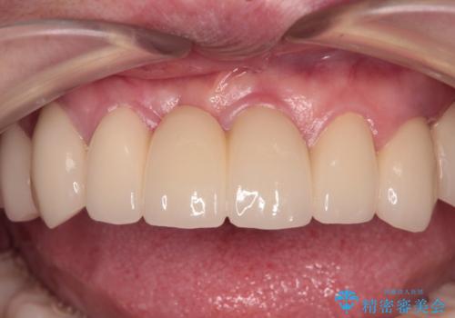
セラミック治療 → 前歯ブリッジ
3ページ目 / 17
欠損やむし歯の歯をきれいなセラミックに 全顎虫歯治療


中途半端な矯正治療と前歯の欠損 再矯正とオールセラミッククラウンによる補綴治療


放置したインプラントとインビザライン 全顎リカバリー治療


前歯をきれいにしたい インプラントや部分矯正を用いた総合歯科治療


欠損と虫歯だらけの口の中 真っ白なセラミック治療


装着感の良い入れ歯を作りたい 金属床を使用した適合の良い部分床義歯


前歯が出っ歯ですきっ歯 抜かずに前歯を見た目良く


転んでぶつけて抜歯 前歯のオールセラミックブリッジ


吸収し喪失した前歯、ブリッジによる審美性の回復
担当医 大元洋佑


短期間で歯並びをきれいにしたい セラミックでかぶせる治療でも良い
担当医 井上季実子


受け口 なんと部分矯正で治るんです!! インプラントを含めた総合歯科治療
担当医 井上季実子


乳歯残存と欠損の前歯 矯正治療とオールセラミックブリッジ治療


セラミック治療の注意事項(リスク・副作用など)
- 天然歯を削ります
- 硬い素材は天然歯を傷つけてしまう場合があります
- かみ合わせや歯ぎしりが強すぎる方はセラミックが割れてしまう可能性があります
- 自費診療(保険適用外治療)となります






