症例・治療例紹介
Cases
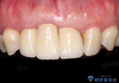
セラミック治療 → 前歯クラウン(オールセラミック)
26ページ目 / 73
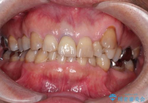
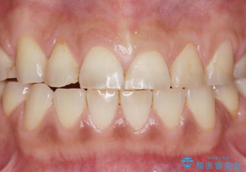
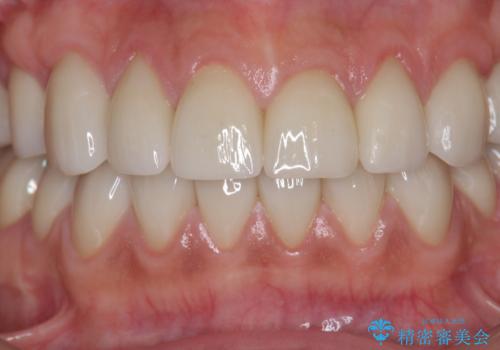
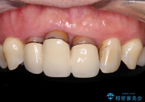
【前歯の被せ物】オールセラミッククラウン(エクセレント)
担当医 河口智英


もげてしまった前歯をセラミッククラウンで自然に


前歯のクロスバイトと治療が必要なむし歯 矯正とセラミックの総合歯科治療


ワイヤー矯正とオールセラミックの組み合わせ治療


下顎の部分矯正を行ってから奥歯の補綴治療とインプラント治療
担当医 藤巻太一朗


痛む奥歯と見栄えの悪い前歯 オールセラミックによる補綴治療


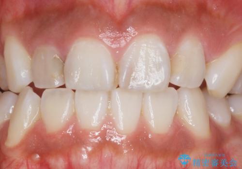
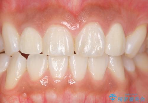
[ 前歯セラミック治療 ]白く不自然な前歯をきれいにしたい
![[ 前歯セラミック治療 ]白く不自然な前歯をきれいにしたいの症例 治療前](https://seimitsushinbi.jp/wp/wp-content/uploads/2021/12/bece58cb17cb8130ee0502c0be252341-500x350.jpg?v=1640157784)
![[ 前歯セラミック治療 ]白く不自然な前歯をきれいにしたいの症例 治療後](https://seimitsushinbi.jp/wp/wp-content/uploads/2021/12/e6beb0177fa3816df180668db670061d-500x350.jpg?v=1640157796)
前歯の矮小歯 奥歯の反対咬合 をインビザラインで


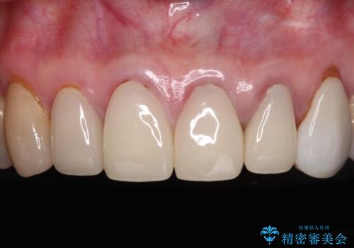
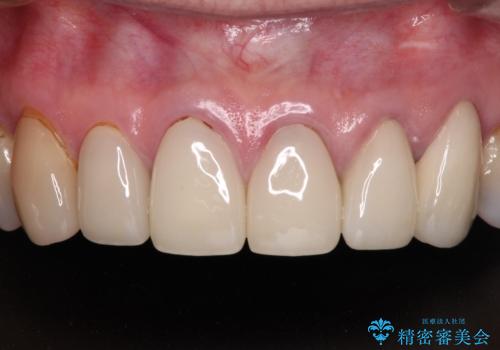
[ オールセラミックジルコニアクラウン ]金属色の目立つ前歯のクラウンをやりかえたい
担当医 大元洋佑
![[ オールセラミックジルコニアクラウン ]金属色の目立つ前歯のクラウンをやりかえたいの症例 治療前](https://seimitsushinbi.jp/wp/wp-content/uploads/2021/12/IMG_9998-500x350.jpg?v=1639032730)
![[ オールセラミックジルコニアクラウン ]金属色の目立つ前歯のクラウンをやりかえたいの症例 治療後](https://seimitsushinbi.jp/wp/wp-content/uploads/2021/12/783933360ccc7c2b054af4f3a7651675-1-500x350.jpg?v=1639032879)
前歯の色と隙間が気になる 早く治したい 矯正は嫌 30代女性


セラミックによる前歯の変色の改善


受け口で開咬を急速拡大装置とインビザラインで改善 欠損部分はインプラントにて補綴治療


歯ぎしりですり減った 前歯の見た目を回復したい
担当医 大元洋佑


一度諦めた矯正にチャレンジしたい インビザラインとセラミック治療


歯茎の縁に見える変色を隠したい 前歯のオールセラミッククラウン


セラミック治療の注意事項(リスク・副作用など)
- 天然歯を削ります
- 硬い素材は天然歯を傷つけてしまう場合があります
- かみ合わせや歯ぎしりが強すぎる方はセラミックが割れてしまう可能性があります
- 自費診療(保険適用外治療)となります
