症例・治療例紹介
Cases
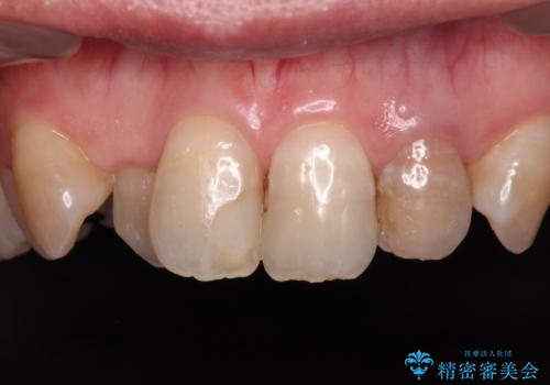
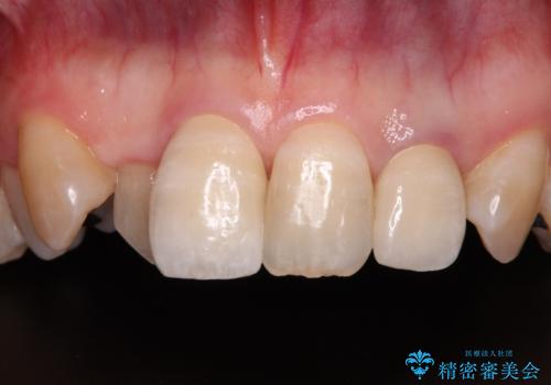
セラミック治療 → 前歯クラウン(オールセラミック)
24ページ目 / 73
むし歯や銀歯が気になる 後戻りの再矯正治療とむし歯治療


事故で抜歯となった前歯 ブリッジやインプラントによる補綴治療


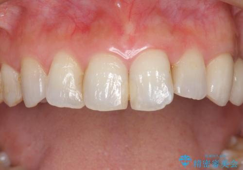
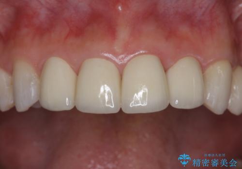
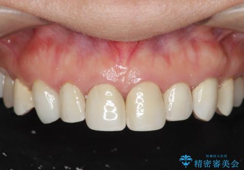
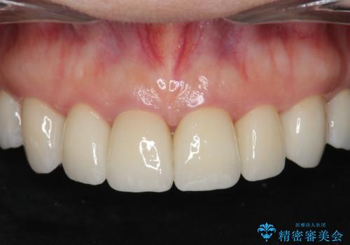
[ 前歯部セラミック治療 ]目立つ前歯をきれいにしたい
![[ 前歯部セラミック治療 ]目立つ前歯をきれいにしたいの症例 治療前](https://seimitsushinbi.jp/wp/wp-content/uploads/2022/04/9401b504f43bc2ce4a7dae12d09aa5c3-500x350.jpg?v=1649930447)
![[ 前歯部セラミック治療 ]目立つ前歯をきれいにしたいの症例 治療後](https://seimitsushinbi.jp/wp/wp-content/uploads/2022/04/21c4bdad5350d81f411ab868ac0877c9-500x350.jpg?v=1649930472)
空気が漏れて喋りづらい:適合の良いセラミックで歯をつくる


つぎはぎの前歯をセラミックにしたい


以前治療した前歯をセラックへ 美しい見た目へ


変色した前歯をオールセラミッククラウンで自然な口元に


八重歯と形の悪い前歯 矯正治療とセラミック治療


銀歯や入れ歯で汚い歯をきれいにしたい 総合歯科治療
担当医 藤巻太一朗


劣化してきた前歯ラミネートをジルコニアクラウンへ
担当医 大元洋佑


矯正治療とセラミック治療で口腔内環境を劇的に改善


むし歯だらけの前歯をきれいにしたい オールセラミッククラウンによる審美歯科治療


以前治療した歯が続々とむし歯に 全顎むし歯治療


気になる所を一気に治療 総合歯科治療


怪我をして不格好な前歯 矯正治療とインプラント補綴治療


セラミック治療の注意事項(リスク・副作用など)
- 天然歯を削ります
- 硬い素材は天然歯を傷つけてしまう場合があります
- かみ合わせや歯ぎしりが強すぎる方はセラミックが割れてしまう可能性があります
- 自費診療(保険適用外治療)となります
