症例・治療例紹介
Cases
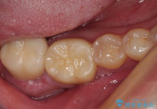
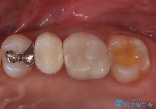
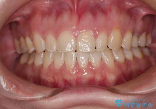
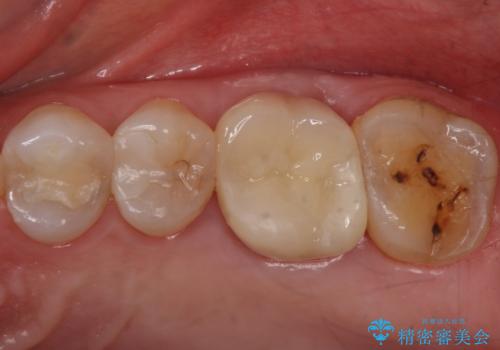
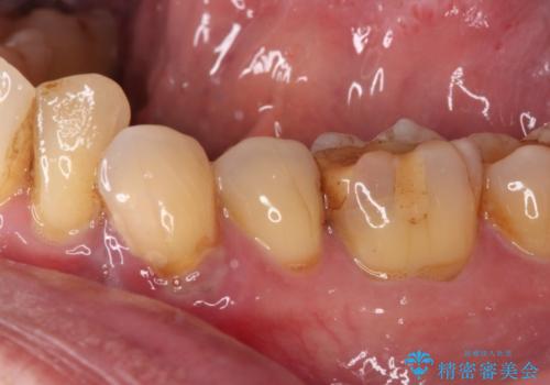
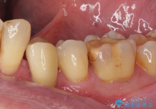
セラミック治療 → 奥歯クラウン(オールセラミック)
23ページ目 / 88
目立つ金属をすべてセラミックに 全顎的メタルフリー治療


欠損した奥歯のインプラント補綴治療


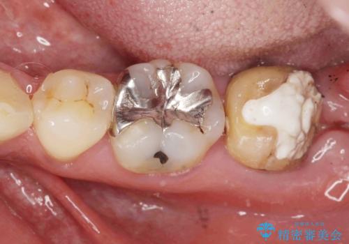
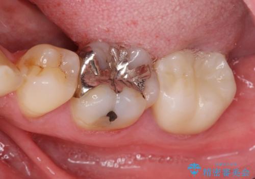
海外赴任前に間に合わせたい 内部でむし歯が進行した奥歯の補綴治療


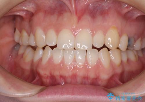
内側に転位した歯とボロボロのむし歯 インビザラインによる矯正治療とむし歯治療


【破折ファイル除去】他院で折れた根管治療の器具をとってほしい


【根管治療・オールセラミッククラウン】何もしなくても歯が痛い 咬むと更に痛い


治療途中で放置してしまった歯 根管治療からのセラミック治療


隙間の空いた歯列とボロボロの乳歯 インプラント治療と矯正治療


【見逃し根管を発見】根管治療〜セラミッククラウン
担当医 河口智英


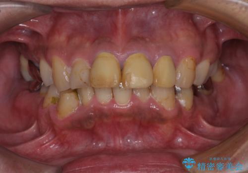
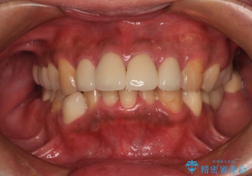
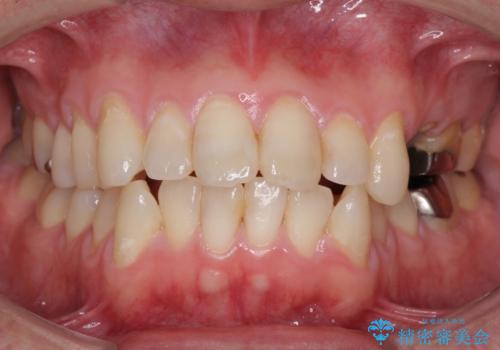
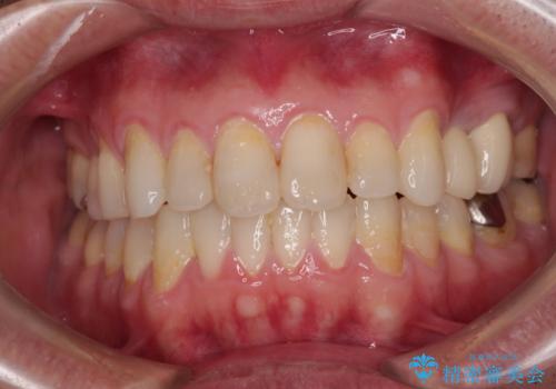
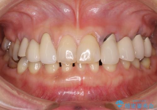
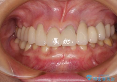
[ 金属アレルギー ] 銀歯を除去するメタルフリー治療
担当医 大元洋佑
![[ 金属アレルギー ] 銀歯を除去するメタルフリー治療の症例 治療前](https://seimitsushinbi.jp/wp/wp-content/uploads/2023/08/e81d14b5b541f23b9fcb9feb23262596-500x350.jpg?v=1692755937)
![[ 金属アレルギー ] 銀歯を除去するメタルフリー治療の症例 治療後](https://seimitsushinbi.jp/wp/wp-content/uploads/2023/08/285add314246a78e4e98332cd6f9956a-500x350.jpg?v=1692755948)
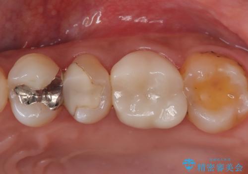
不適な樹脂の詰め物 被せ物で被覆
担当医 岡田康成


虫歯の治療 できれば歯の向きも変えたい
担当医 岡田康成


検査で見つかった虫歯 セラミッククラウンでの治療
担当医 岡田康成


根元で折れてしまった歯を何とか保存する 部分矯正と補綴治療


割れてしまった歯が痛む 矯正とインプラントを併用した総合歯科治療
担当医 藤巻太一朗


セラミック治療の注意事項(リスク・副作用など)
- 天然歯を削ります
- 硬い素材は天然歯を傷つけてしまう場合があります
- かみ合わせや歯ぎしりが強すぎる方はセラミックが割れてしまう可能性があります
- 自費診療(保険適用外治療)となります
