症例・治療例紹介
Cases
セラミック治療 → 前歯クラウン(オールセラミック)
19ページ目 / 73
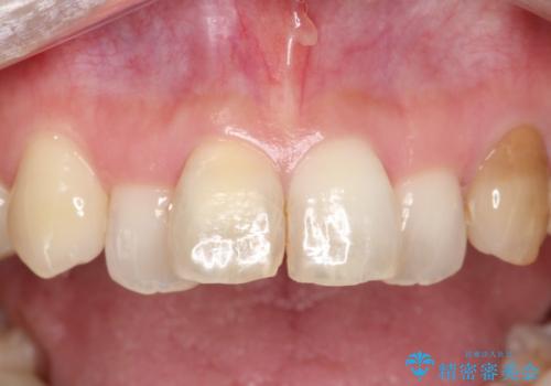
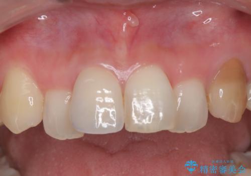
汚れた仮歯が気になる 前歯のオールセラミッククラウン


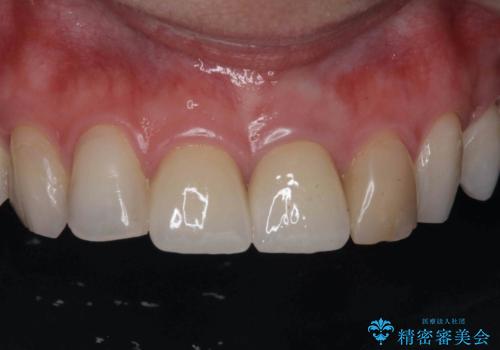
【オールセラミック】前歯の色を変えたい。
担当医 河口智英


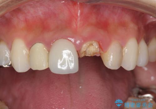
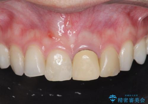
全顎的 虫歯治療 インプラント補綴


前歯が取れた
担当医 青山卓弘


飛び出した前歯と目立つ銀歯 矯正とセラミックの総合歯科診療


歯が全く咬みあわない 矯正と補綴の全顎治療


【モニター】前歯のデコボコと変色した前歯をインビザラインとオールセラミッククラウンで


鼻の下を押すと痛い 前歯の根管治療とオールセラミッククラウン


以前治療した歯がボロボロに 全顎補綴治療


見栄えの悪い仮歯 前歯のオールセラミック治療


多発した前歯の重度虫歯治療


[ 再生治療・歯周外科・小矯正・セラミック補綴 ] 前歯の歯周病治療
担当医 大元洋佑
![[ 再生治療・歯周外科・小矯正・セラミック補綴 ] 前歯の歯周病治療の症例 治療前](https://seimitsushinbi.jp/wp/wp-content/uploads/2022/12/83065c2454a29ed71cf190e15a6106f4-500x350.jpg?v=1671673398)
![[ 再生治療・歯周外科・小矯正・セラミック補綴 ] 前歯の歯周病治療の症例 治療後](https://seimitsushinbi.jp/wp/wp-content/uploads/2022/12/ec16e37ee53325a6f6629b94759f5513-500x350.jpg?v=1671673454)
[ 先天性の前歯欠損 ] 矯正とインプラントの包括治療
![[ 先天性の前歯欠損 ] 矯正とインプラントの包括治療の症例 治療前](https://seimitsushinbi.jp/wp/wp-content/uploads/2022/12/3fbbdf32ff659566fa6c202e2fa05e30-500x350.jpg?v=1671606172)
![[ 先天性の前歯欠損 ] 矯正とインプラントの包括治療の症例 治療後](https://seimitsushinbi.jp/wp/wp-content/uploads/2022/12/e325c4369c68ab4ded73824110858d06-500x350.jpg?v=1671606193)
他院で矯正後、歯の神経が死んでしまった歯の治療


前歯の見た目を改善 セラミック審美治療
担当医 大元洋佑


セラミック治療の注意事項(リスク・副作用など)
- 天然歯を削ります
- 硬い素材は天然歯を傷つけてしまう場合があります
- かみ合わせや歯ぎしりが強すぎる方はセラミックが割れてしまう可能性があります
- 自費診療(保険適用外治療)となります
