症例詳細
Case detail
受け口 なんと部分矯正で治るんです!! インプラントを含めた総合歯科治療
- 患者様
- 40代男性
- 矯正装置
- ワイヤー矯正
- 治療期間
- 3年4ヶ月
- 治療回数
- 10-30回
- 治療計画
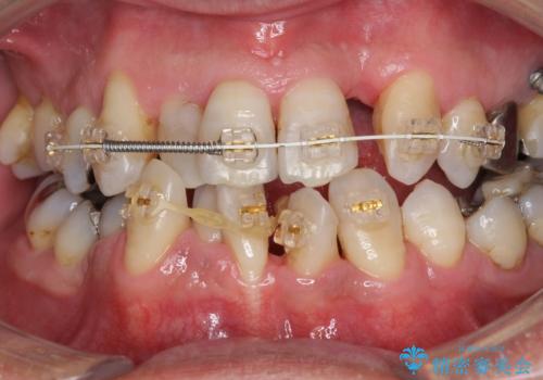
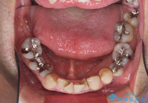
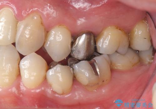
- 歯周病を気にして来院。
前歯の虫歯を治そうにも、歯並びの問題で難しい状態でした。
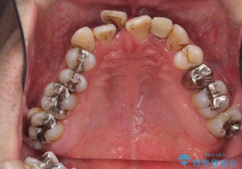
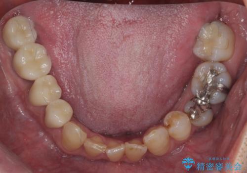
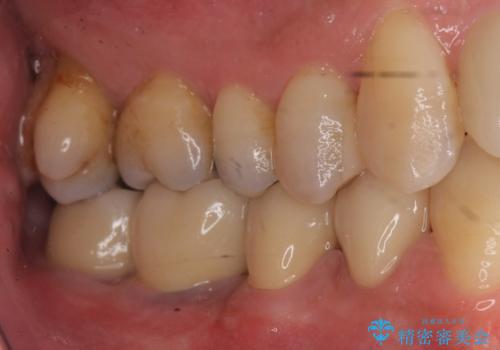
右下の奥歯も欠損しており、インプラント治療が必要な状態でした。
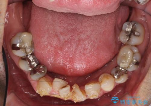
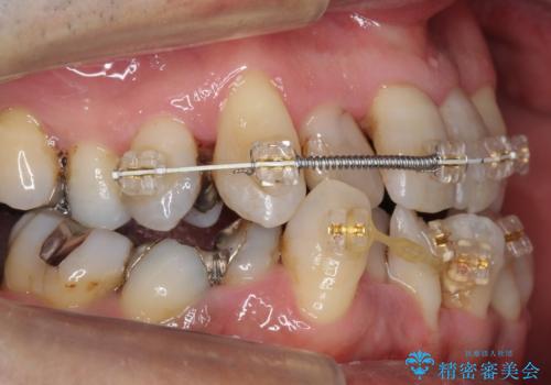
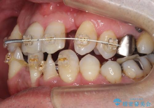
前歯の部分矯正を行い受け口を改善しました。
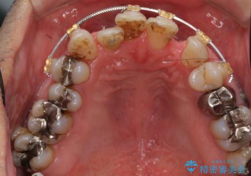
奥歯まで動かそうとすると顎の手術の適応になってしまうため、奥歯はそのままにして前歯のかみ合わせを改善しました。
また、奥歯はインプラント治療を行い、矯正で下の前歯を後ろに下げるのに使用しています。
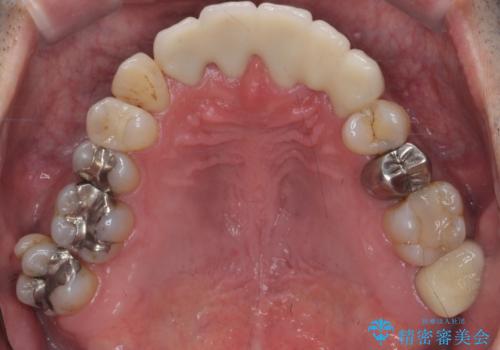
時間はかかりましたがしっかり治療することができました。
右下のインプラント治療は横浜桜木町歯科院長大元先生にお願いしています。
- 費用(概算)
- 約280万円費用は治療当時の料金となります
治療について
前歯が重なっているところの虫歯治療が難しく、そこから矯正治療の提案となりました。
下の前歯1本、また、左上2番を保存不可能なため抜歯しています。
通常骨格的な受け口を部分矯正でというのは不可能なことが多いのですが、今回はいろいろな条件が重ねなりお引き受け可能でした。通常は難しいです。
インプラント治療の注意事項(リスク・副作用など)
- 外科手術のため、術後に痛みや腫れ、違和感を伴います
- メンテナンスを怠ったり喫煙により、お口の中に大きな悪影響を及ぼすインプラント周囲炎等にかかる可能性があります
- 糖尿病、肝硬変、心臓病等の場合、インプラント治療ができない可能性があります
- 高血圧、貧血・不整脈等の場合、インプラント治療後に治癒不全を招く可能性があります
- 自費診療(保険適用外治療)となります
ワイヤー矯正の注意事項(リスク・副作用など)
- 治療中は違和感や痛みが起こることがあります
- 症状により、抜歯が必要な場合があります
- 治療中は歯磨きがしにくくなるため、虫歯や歯周病になりやすくなります
- 矯正治療後の保定が不十分だと後戻り(元の位置に戻ろうとする動き)をします
- 自費診療(保険適用外)となります
セラミック治療の注意事項(リスク・副作用など)
- 天然歯を削ります
- 硬い素材は天然歯を傷つけてしまう場合があります
- かみ合わせや歯ぎしりが強すぎる方はセラミックが割れてしまう可能性があります
- 自費診療(保険適用外治療)となります
当サイトの内容、テキスト、画像等の無断転載、複製、複写、盗用を固く禁じます。


























