症例詳細
Case detail
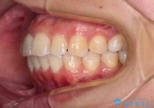
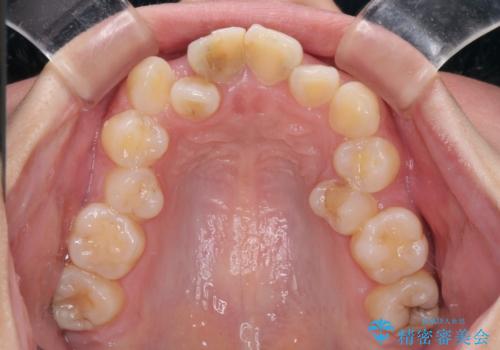
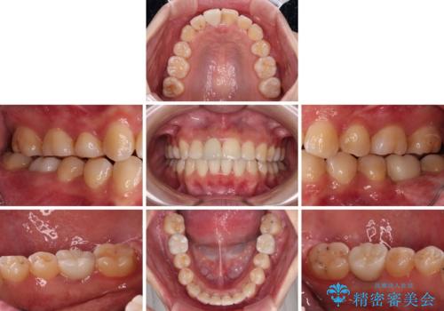
虫歯と抜いたままの奥歯とデコボコの前歯 総合歯科治療
- 患者様
- 20代女性
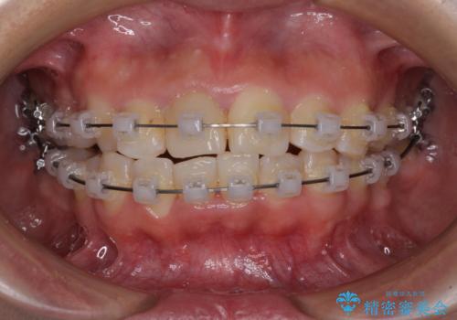
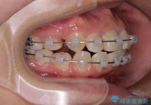
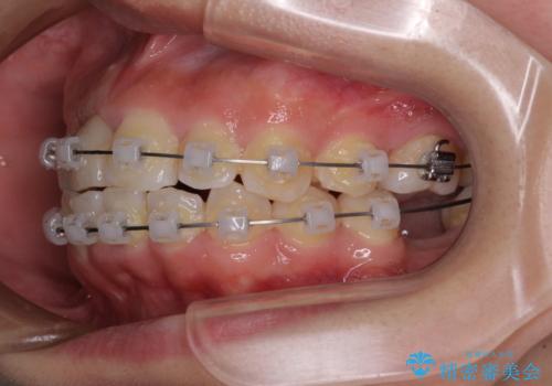
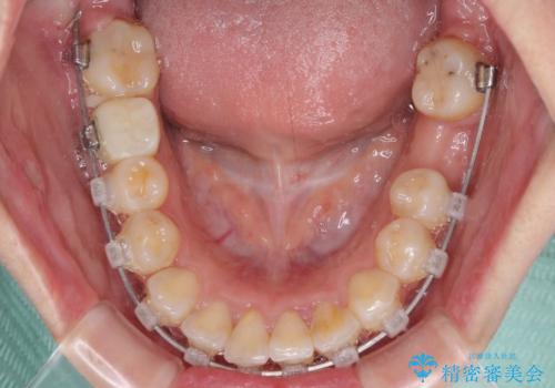
- 矯正装置
- クリアブラケット
- 治療期間
- 2年
- 治療回数
- 10-30回
- 治療計画
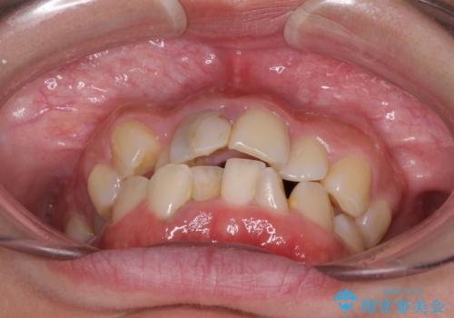
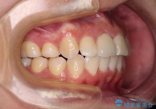
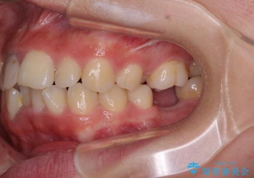
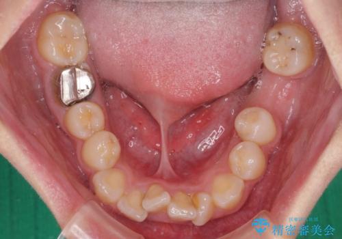
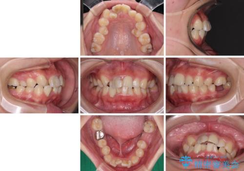
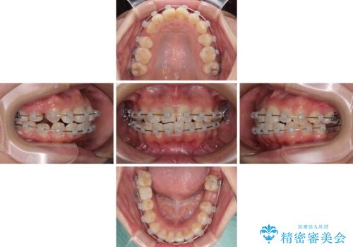
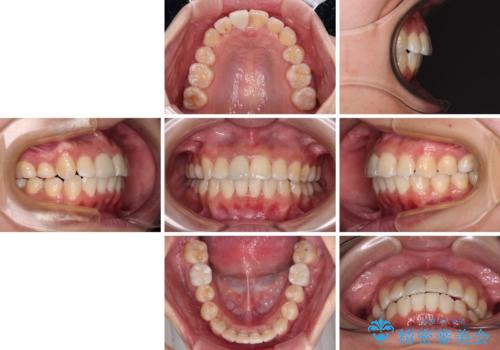
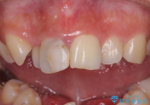
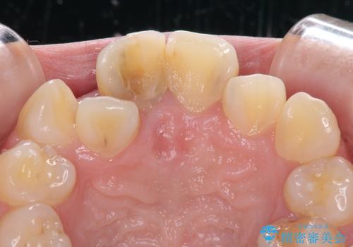
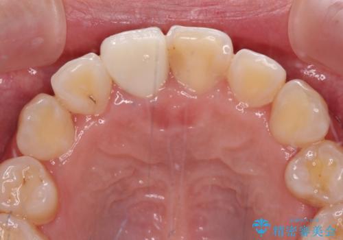
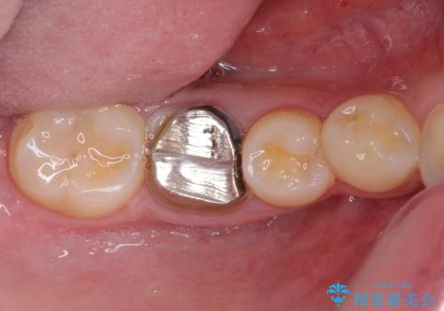
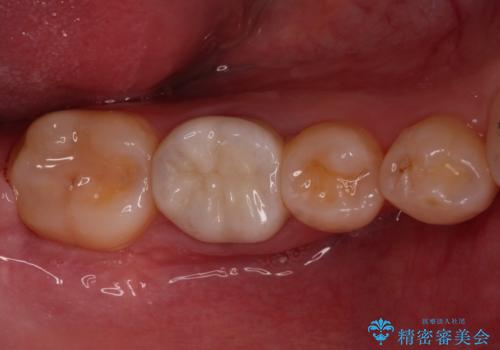
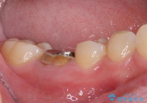
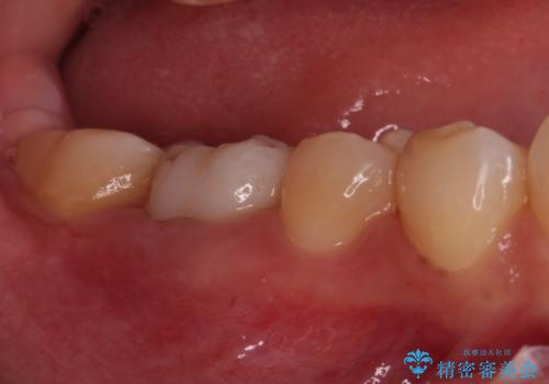
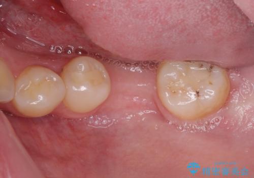
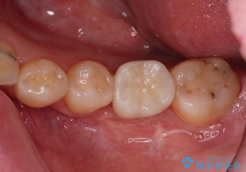
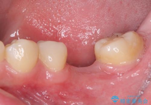
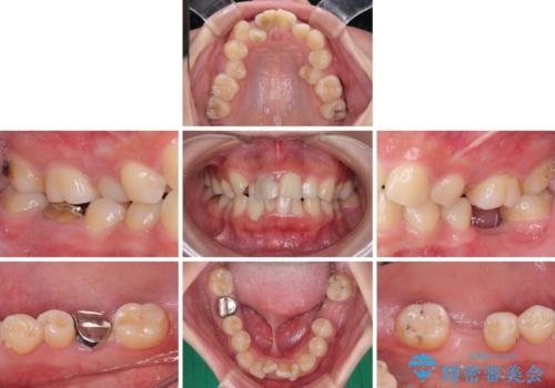
- 放置した虫歯や抜いたままの奥歯、前歯のデコボコを気にして来院された患者様です。
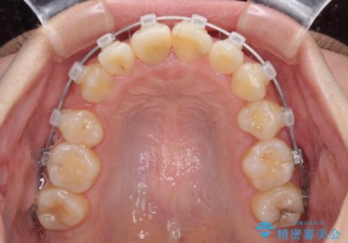
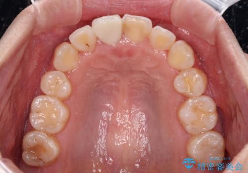
口元の突出感は少なく、下顎の叢生は軽微なものであったので、叢生の強い上顎左右の小臼歯を1本ずつ抜歯し、ワイヤー装置にて矯正治療を行うこととしました。
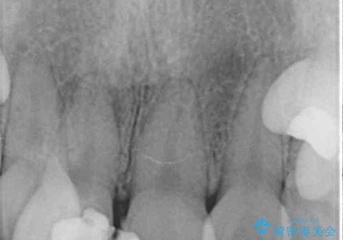
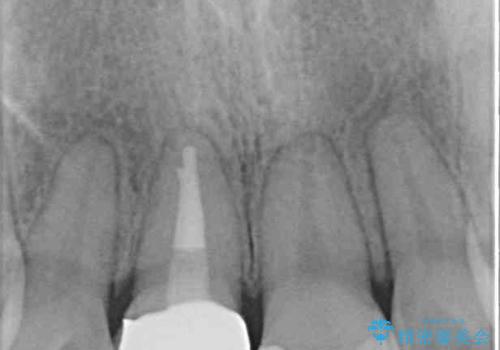
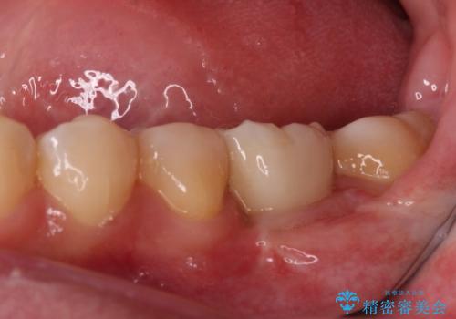
矯正治療を行う前に、根管治療の必要な上顎前歯と下顎大臼歯の根管治療を行い、矯正治療の途中で下顎の欠損部にインプラント埋入することとし、矯正治療後に補綴治療を行うこととしました。
- 費用(概算)
- 治療費の目安: 190万円(税込)費用は治療当時の料金となります
治療について
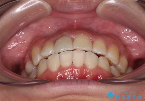
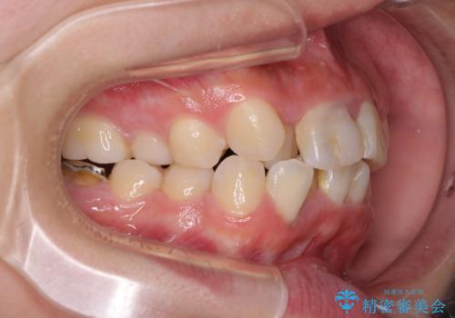
矯正治療をしたいと思っていたが、放置している虫歯が多いため、どこに相談に行けば良いのか分からずにいたそうですが、当院の総合歯科診療を見て来院されたそうです。
矯正治療中にインプラント埋入を行うなど、余計な時間や無駄のない治療を行うことができました。
セラミック治療の注意事項(リスク・副作用など)
- 天然歯を削ります
- 硬い素材は天然歯を傷つけてしまう場合があります
- かみ合わせや歯ぎしりが強すぎる方はセラミックが割れてしまう可能性があります
- 自費診療(保険適用外治療)となります
インプラント治療の注意事項(リスク・副作用など)
- 外科手術のため、術後に痛みや腫れ、違和感を伴います
- メンテナンスを怠ったり喫煙により、お口の中に大きな悪影響を及ぼすインプラント周囲炎等にかかる可能性があります
- 糖尿病、肝硬変、心臓病等の場合、インプラント治療ができない可能性があります
- 高血圧、貧血・不整脈等の場合、インプラント治療後に治癒不全を招く可能性があります
- 自費診療(保険適用外治療)となります
ワイヤー矯正の注意事項(リスク・副作用など)
- 治療中は違和感や痛みが起こることがあります
- 症状により、抜歯が必要な場合があります
- 治療中は歯磨きがしにくくなるため、虫歯や歯周病になりやすくなります
- 矯正治療後の保定が不十分だと後戻り(元の位置に戻ろうとする動き)をします
- 自費診療(保険適用外)となります
当サイトの内容、テキスト、画像等の無断転載、複製、複写、盗用を固く禁じます。










































