症例詳細
Case detail
銀歯や入れ歯で汚い歯をきれいにしたい 総合歯科治療
- 患者様
 - 50代女性
 
- 矯正装置
 - 審美装置
 
- 治療期間
 - 2年1ヶ月
 
- 治療回数
 - 10-30回
 
- 治療計画
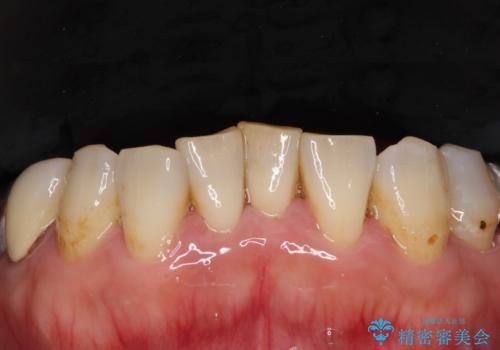
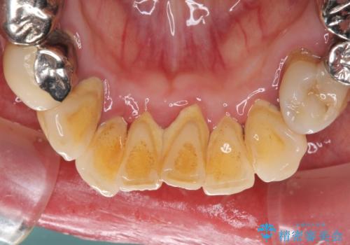
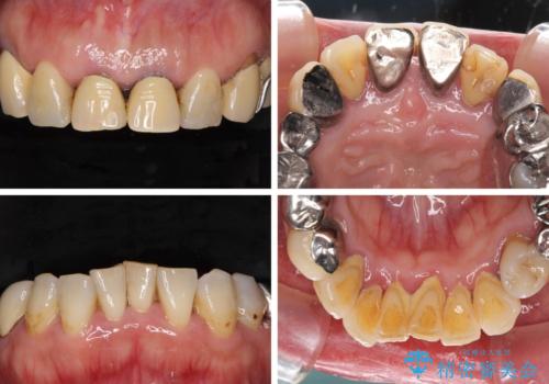
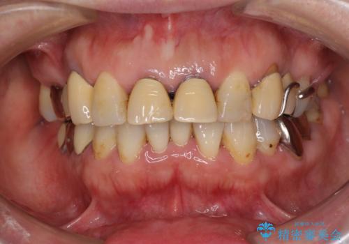
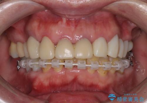
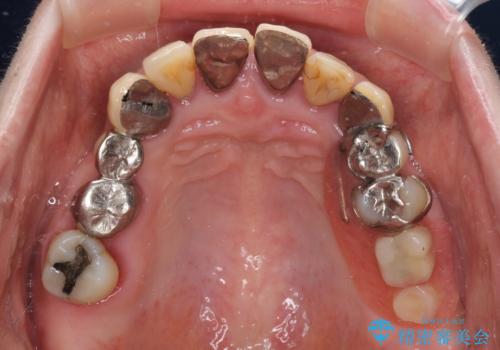
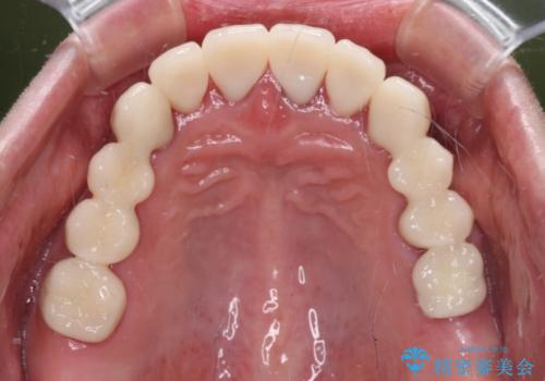
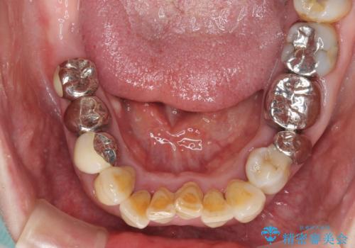
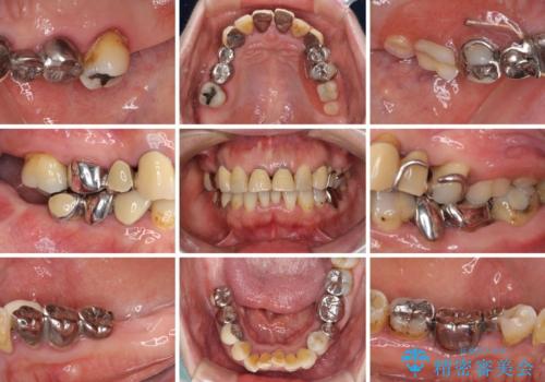
 - 歯茎からの出血、入れ歯、歯の欠損、デコボコの前歯などを気にして来院された患者様です。
大の歯科治療嫌いとのことでしたが、今回の治療を契機にしっかりと治療を行いたいとのことでした。
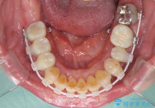
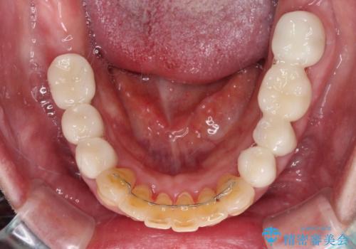
まずは抜歯が必要な歯を抜歯した上で仮歯に置き換え、インプラント埋入や歯周外科処置、根管治療を行うこととしました。
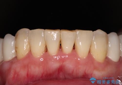
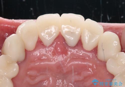
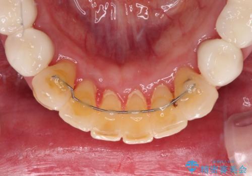
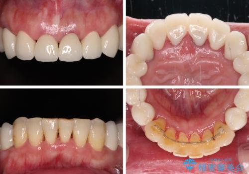
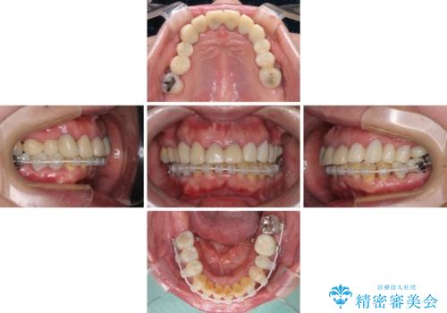
歯肉の状態が落ち着いた後に下顎の矯正治療を行い、その後補綴治療を行うこととしました。 
- 費用(概算)
 - 治療費の目安: 370万円(税込)費用は治療当時の料金となります
 
治療について
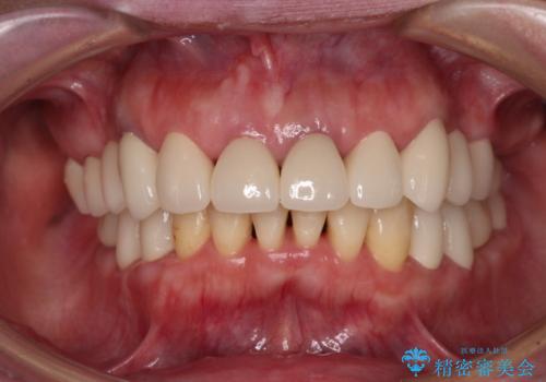
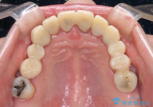
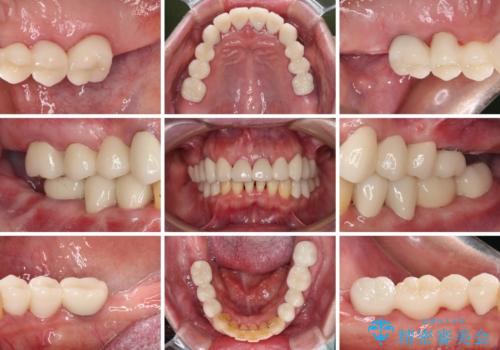
インプラントに対する恐怖心が強く、欠損補綴は極力ブリッジを採用し、インプラントの数は必要最小限としました。
油断をするとすぐに汚れが溜まって歯肉が腫れてきてしまうため、今後も定期的なメインテナンスが重要となります。
セラミック治療の注意事項(リスク・副作用など)
- 天然歯を削ります
 - 硬い素材は天然歯を傷つけてしまう場合があります
 - かみ合わせや歯ぎしりが強すぎる方はセラミックが割れてしまう可能性があります
 - 自費診療(保険適用外治療)となります
 
インプラント治療の注意事項(リスク・副作用など)
- 外科手術のため、術後に痛みや腫れ、違和感を伴います
 - メンテナンスを怠ったり喫煙により、お口の中に大きな悪影響を及ぼすインプラント周囲炎等にかかる可能性があります
 - 糖尿病、肝硬変、心臓病等の場合、インプラント治療ができない可能性があります
 - 高血圧、貧血・不整脈等の場合、インプラント治療後に治癒不全を招く可能性があります
 - 自費診療(保険適用外治療)となります
 
ワイヤー矯正の注意事項(リスク・副作用など)
- 治療中は違和感や痛みが起こることがあります
 - 症状により、抜歯が必要な場合があります
 - 治療中は歯磨きがしにくくなるため、虫歯や歯周病になりやすくなります
 - 矯正治療後の保定が不十分だと後戻り(元の位置に戻ろうとする動き)をします
 - 自費診療(保険適用外)となります
 
歯周病治療の注意事項(リスク・副作用など)
- 外科手術のため、術後に痛みや腫れ、違和感を伴います
 - 歯周組織再生治療は患者様の状態によって術後の経過が異なります(見た目が改善しない場合もあります)
 - 歯周組織再生治療は自費診療(保険適用外)となります
 
当サイトの内容、テキスト、画像等の無断転載、複製、複写、盗用を固く禁じます。

                      
                                                          
























