症例詳細
Case detail
下顎の部分矯正を行ってから奥歯の補綴治療とインプラント治療
- 患者様
- 50代男性
- 矯正装置
- 審美装置
- 治療期間
- 2年9ヶ月
- 治療回数
- 10-30回
- 治療計画
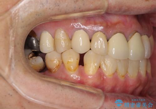
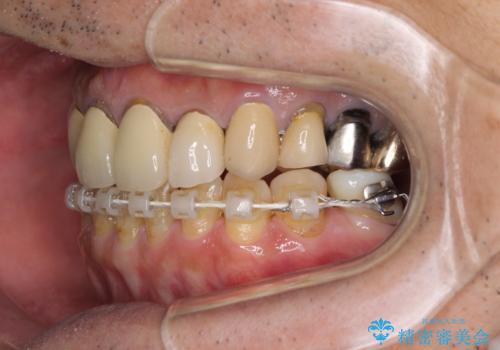
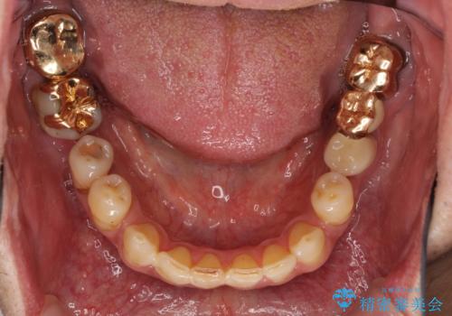
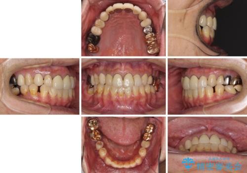
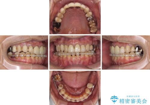
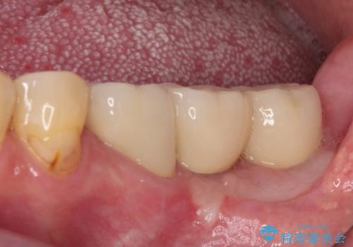
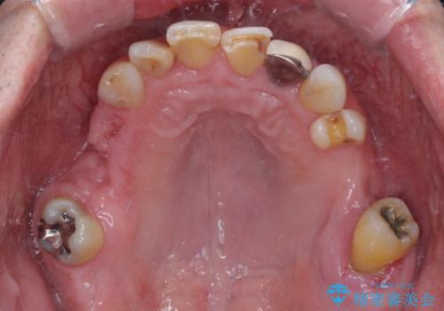
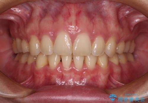
- 抜歯した歯や抜歯が必要と思われる歯を放置したため、奥歯に不快を感じているとのことで来院された患者様です。
右下は奥歯が抜歯したスペースを塞いでしまい、左下はブリッジの支台歯の1つが破折している状態でした。
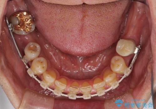
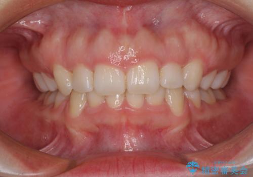
また、下顎前歯にはスペースがあり、コンポジットレジンでスペースを閉じている状態だったので、前歯のスペースを解消しつつ、奥歯にスペースを獲得するよう矯正治療を行うこととしました。
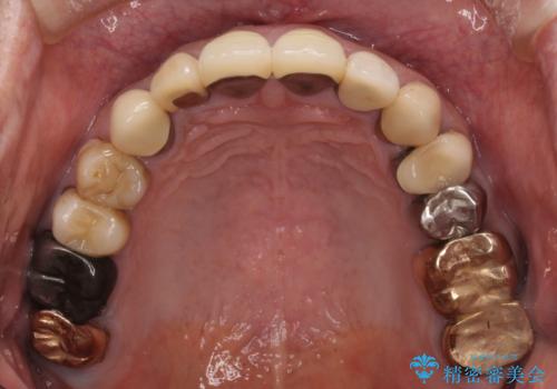
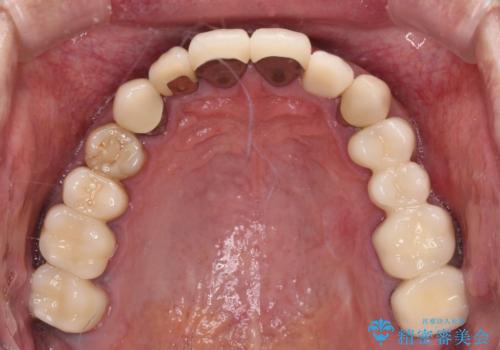
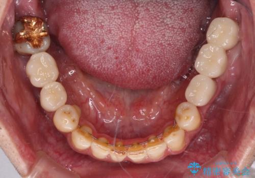
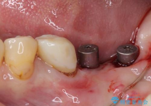
並行して左下にはインプラントを埋入し、上顎臼歯部の気になる部分も根管治療などを進めて行き、矯正治療を終えると同時に補綴治療を行うこととしました。
- 費用(概算)
- 治療費の目安: 360万円(税込)費用は治療当時の料金となります
治療について
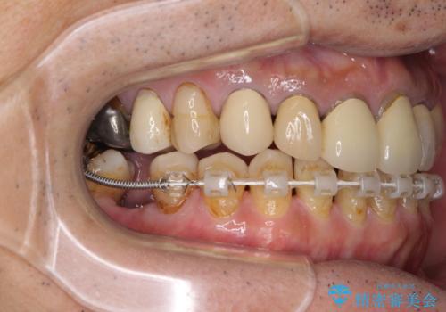
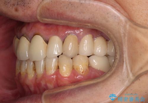
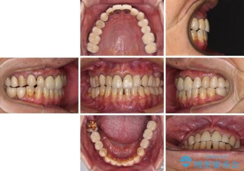
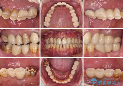
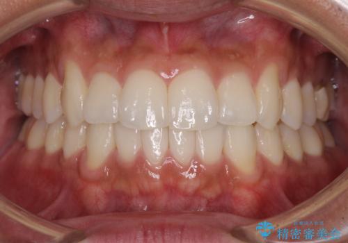
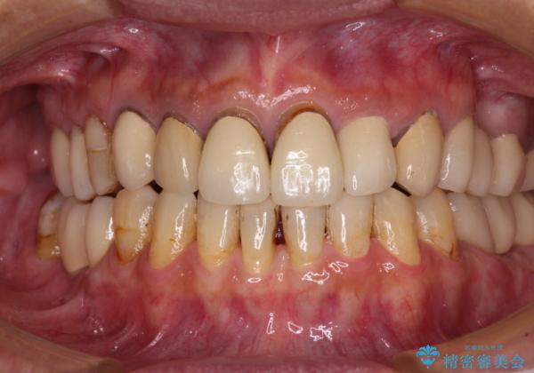
奥歯1歯分を動かすには時間がかかるため、矯正治療には思いの外時間がかかりました。
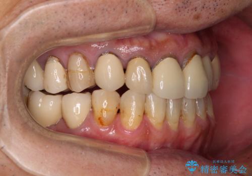
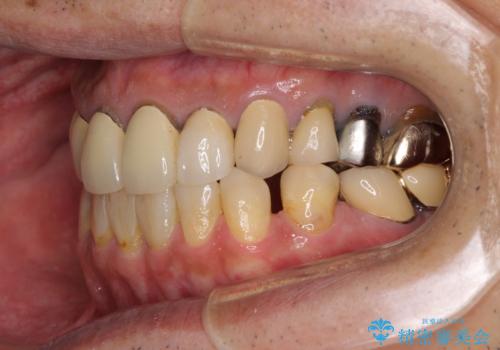
痛みのある奥歯は必要に応じて根管治療を行い、左下インプラントは角化歯肉の移植により清掃性を向上させ、気になっていた部分をしっかりと改善させることができました。
セラミック治療の注意事項(リスク・副作用など)
- 天然歯を削ります
- 硬い素材は天然歯を傷つけてしまう場合があります
- かみ合わせや歯ぎしりが強すぎる方はセラミックが割れてしまう可能性があります
- 自費診療(保険適用外治療)となります
インプラント治療の注意事項(リスク・副作用など)
- 外科手術のため、術後に痛みや腫れ、違和感を伴います
- メンテナンスを怠ったり喫煙により、お口の中に大きな悪影響を及ぼすインプラント周囲炎等にかかる可能性があります
- 糖尿病、肝硬変、心臓病等の場合、インプラント治療ができない可能性があります
- 高血圧、貧血・不整脈等の場合、インプラント治療後に治癒不全を招く可能性があります
- 自費診療(保険適用外治療)となります
ワイヤー矯正の注意事項(リスク・副作用など)
- 治療中は違和感や痛みが起こることがあります
- 症状により、抜歯が必要な場合があります
- 治療中は歯磨きがしにくくなるため、虫歯や歯周病になりやすくなります
- 矯正治療後の保定が不十分だと後戻り(元の位置に戻ろうとする動き)をします
- 自費診療(保険適用外)となります
当サイトの内容、テキスト、画像等の無断転載、複製、複写、盗用を固く禁じます。




























