症例詳細
Case detail
- 患者様
- 50代女性
- 矯正装置
- 審美装置
- 治療期間
- 4年
- 治療回数
- 30回以上
- 治療計画
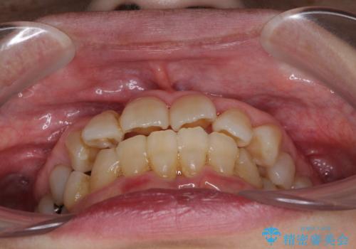
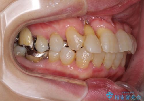
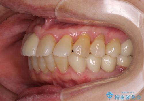
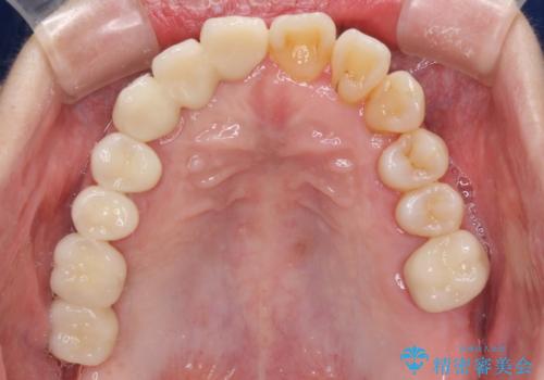
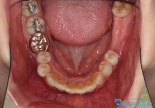
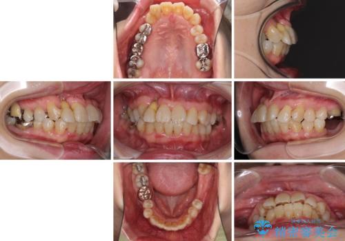
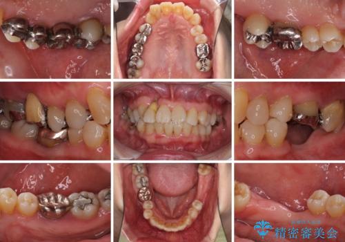
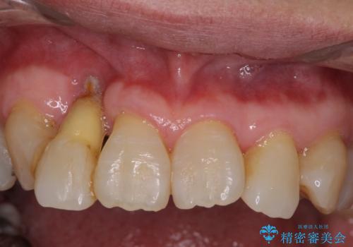
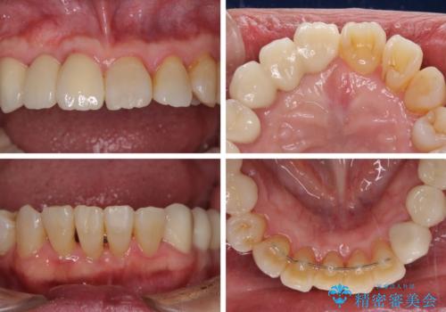
- 歯の欠損や歯肉からの出血などを気にして来院された患者様です。
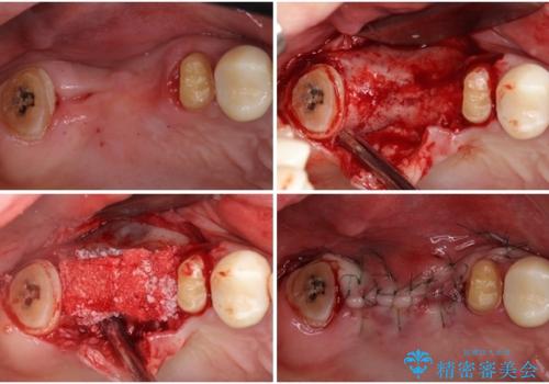
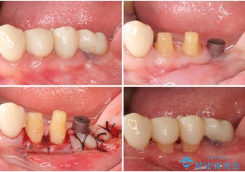
診査の結果、歯周病であることが分かり、抜歯が必要な歯も見受けられました。
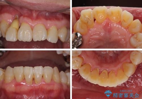
骨造成やインプラント、歯周外科、歯肉移植、矯正など、多くの処置を組み合わせて治療を行うこととしました。
- 費用(概算)
- 治療費の目安: 350万円費用は治療当時の料金となります
治療について
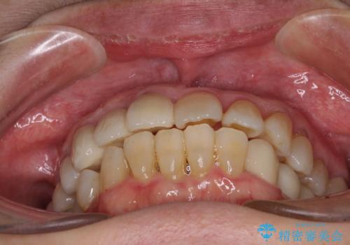
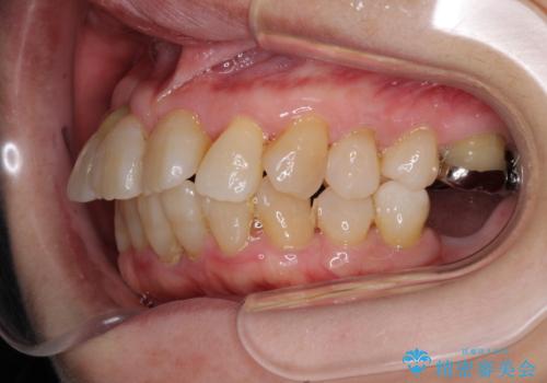
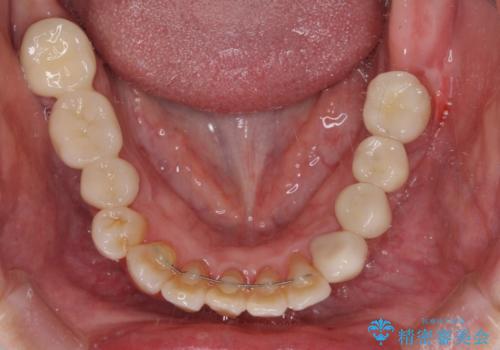
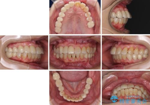
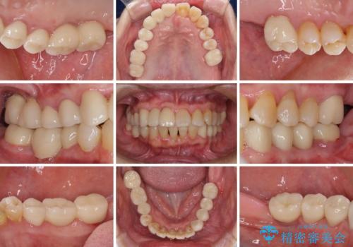
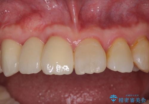
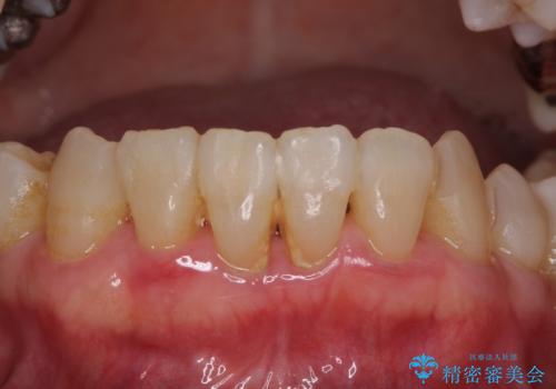
数多くの外科処置を行ったため、治療期間は長期間となりました。
一方、外科処置をしっかりと行ったことで、歯周病の状態は改善され、安定した状態にしあげることができました。
セラミック治療の注意事項(リスク・副作用など)
- 天然歯を削ります
- 硬い素材は天然歯を傷つけてしまう場合があります
- かみ合わせや歯ぎしりが強すぎる方はセラミックが割れてしまう可能性があります
- 自費診療(保険適用外治療)となります
インプラント治療の注意事項(リスク・副作用など)
- 外科手術のため、術後に痛みや腫れ、違和感を伴います
- メンテナンスを怠ったり喫煙により、お口の中に大きな悪影響を及ぼすインプラント周囲炎等にかかる可能性があります
- 糖尿病、肝硬変、心臓病等の場合、インプラント治療ができない可能性があります
- 高血圧、貧血・不整脈等の場合、インプラント治療後に治癒不全を招く可能性があります
- 自費診療(保険適用外治療)となります
ワイヤー矯正の注意事項(リスク・副作用など)
- 治療中は違和感や痛みが起こることがあります
- 症状により、抜歯が必要な場合があります
- 治療中は歯磨きがしにくくなるため、虫歯や歯周病になりやすくなります
- 矯正治療後の保定が不十分だと後戻り(元の位置に戻ろうとする動き)をします
- 自費診療(保険適用外)となります
歯周病治療の注意事項(リスク・副作用など)
- 外科手術のため、術後に痛みや腫れ、違和感を伴います
- 歯周組織再生治療は患者様の状態によって術後の経過が異なります(見た目が改善しない場合もあります)
- 歯周組織再生治療は自費診療(保険適用外)となります
当サイトの内容、テキスト、画像等の無断転載、複製、複写、盗用を固く禁じます。
































