症例詳細
Case detail
飛行機を利用しての通院 気になる所を全て治療する総合歯科治療
- 患者様
- 50代女性
- 治療期間
- 1年2ヶ月
- 治療回数
- 10-30回
- 治療計画
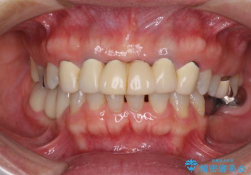
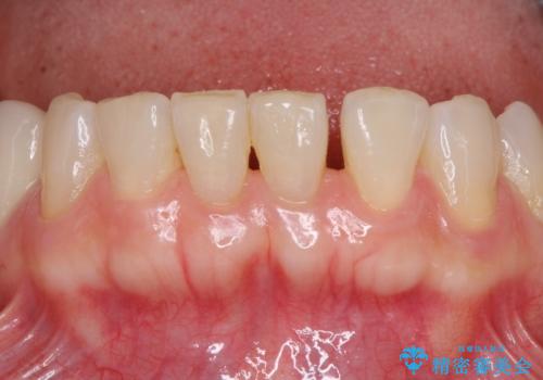
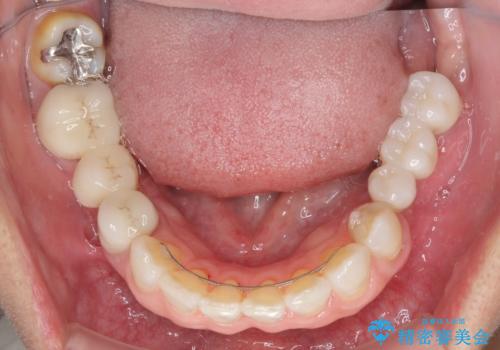
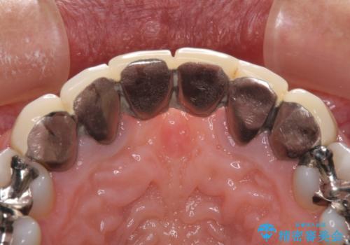
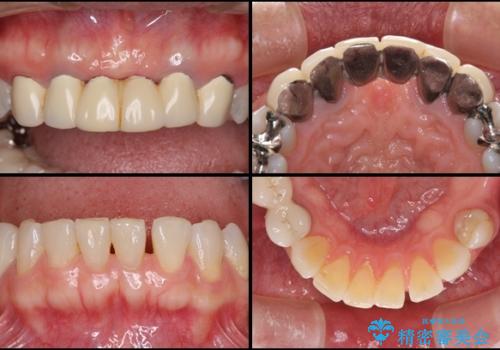
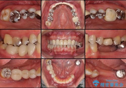
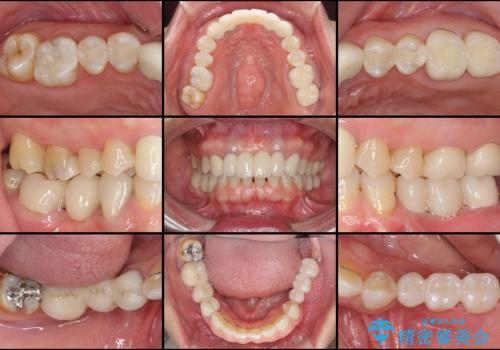
- 口の中に気になるところが沢山あるものの、地元ではなかなか治療を行ってくれるところがないとのことで、沖縄県の離島より来院された患者様です。
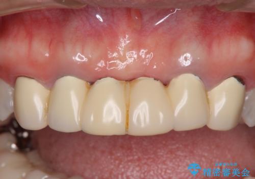
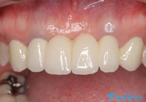
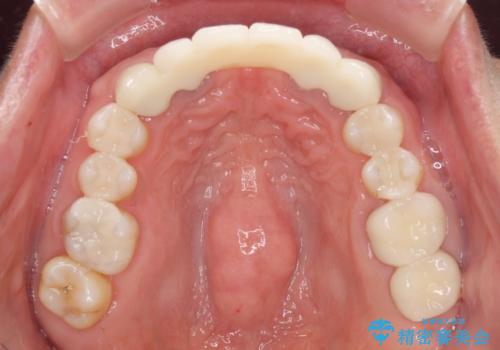
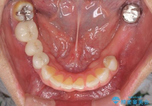
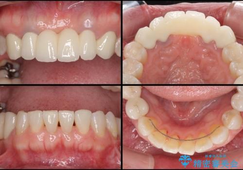
金属を使用した前歯のブリッジや奥歯の銀歯は全てオールセラミッククラウンまたはセラミックインレーとし、左下の奥歯はインプラントにより治療を行うこととしました。
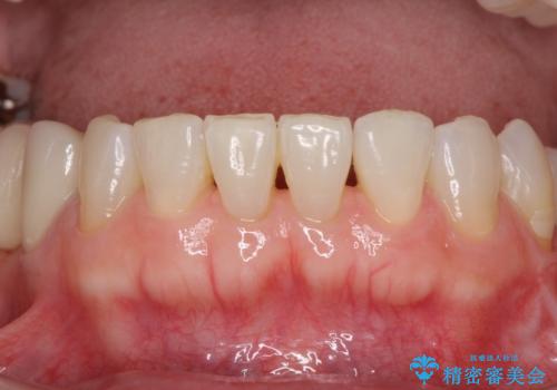
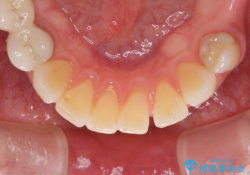
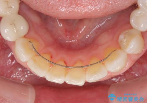
外科処置を行うため、治癒を待つ期間が数ヶ月あるため、その期間を利用して下顎前歯のスペースを矯正治療で閉じることとしました。
- 費用(概算)
- 治療費の目安: 260万円費用は治療当時の料金となります
治療について
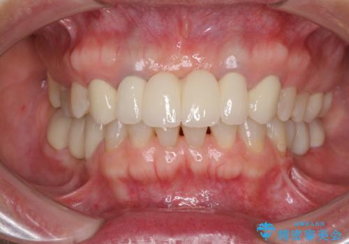
遠方からの来院であったので、1回の治療時間を長めにし、できる限りの処置を集中して行うことで、来院回数を減らすことができました。
矯正治療までは考えていなかったそうですが、物が挟まっていた前歯のスペースがなくなり、矯正治療を行って良かったとのことでした。
初診カウンセリングを含めて13回の通院で治療を終えることができ、患者様には大変満足していただきました。
セラミック治療の注意事項(リスク・副作用など)
- 天然歯を削ります
- 硬い素材は天然歯を傷つけてしまう場合があります
- かみ合わせや歯ぎしりが強すぎる方はセラミックが割れてしまう可能性があります
- 自費診療(保険適用外治療)となります
インプラント治療の注意事項(リスク・副作用など)
- 外科手術のため、術後に痛みや腫れ、違和感を伴います
- メンテナンスを怠ったり喫煙により、お口の中に大きな悪影響を及ぼすインプラント周囲炎等にかかる可能性があります
- 糖尿病、肝硬変、心臓病等の場合、インプラント治療ができない可能性があります
- 高血圧、貧血・不整脈等の場合、インプラント治療後に治癒不全を招く可能性があります
- 自費診療(保険適用外治療)となります
マウスピース矯正の注意事項(リスク・副作用など)
- 口腔内・歯並びの状態によっては対応できない場合があります
- マウスピース型矯正装置の長時間装着(1日20時間以上)が必須です
- 治療計画通りに進めるためには、患者様の意志が重要になります
- 矯正治療後の保定が不十分だと後戻り(元の位置に戻ろうとする動き)をします
- 薬機法対象外の矯正歯科装置のため医薬品副作用被害救済制度の対象外となる場合があります
- 自費診療(保険適用外)となります
当サイトの内容、テキスト、画像等の無断転載、複製、複写、盗用を固く禁じます。






















