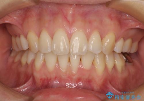
症例詳細
Case detail
乱れた咬み合わせを治したい 全顎補綴治療
- 患者様
- 50代女性
- 治療期間
- 3年3ヶ月
- 治療回数
- 30回以上
- 治療計画
- 今まで通院していた歯科医院では良くなる見込みがないとのことで来院された患者様です。
抜かなければならないほど割れてしまっている歯が放置されていたり、不適合なクラウンが装着されたりと、全体的に多くの問題が散見されました。
インプラントにより奥歯の咬み合わせを安定させ、歯周外科処置などにより歯肉の状態を改善させながら、オールセラミッククラウンにて全顎補綴治療を行うこととしました。
- 費用(概算)
- 治療費の目安: 350万円費用は治療当時の料金となります
治療について
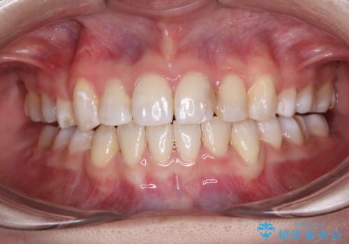
長年通院していた歯科医院では、歯が割れていることに言及してもらうことがなく、当院での診断に初めは驚いていらっしゃいましたが、強い違和感の原因が分かり、かえって安心されていました。
咬む力が強いため、治療の途中で仮歯が外れたり、割れてしまったりと、治療は難航しましたが、奥歯のインプラントが機能し始めた頃から徐々に咬み合わせが落ち着き、前歯も自然な外見のオールセラミッククラウンにて仕上げることができました。
長いこと悩んでいた顎関節の痛みも改善され、患者様には大変満足していただきました。
セラミック治療の注意事項(リスク・副作用など)
- 天然歯を削ります
- 硬い素材は天然歯を傷つけてしまう場合があります
- かみ合わせや歯ぎしりが強すぎる方はセラミックが割れてしまう可能性があります
- 自費診療(保険適用外治療)となります
インプラント治療の注意事項(リスク・副作用など)
- 外科手術のため、術後に痛みや腫れ、違和感を伴います
- メンテナンスを怠ったり喫煙により、お口の中に大きな悪影響を及ぼすインプラント周囲炎等にかかる可能性があります
- 糖尿病、肝硬変、心臓病等の場合、インプラント治療ができない可能性があります
- 高血圧、貧血・不整脈等の場合、インプラント治療後に治癒不全を招く可能性があります
- 自費診療(保険適用外治療)となります
ワイヤー矯正の注意事項(リスク・副作用など)
- 治療中は違和感や痛みが起こることがあります
- 症状により、抜歯が必要な場合があります
- 治療中は歯磨きがしにくくなるため、虫歯や歯周病になりやすくなります
- 矯正治療後の保定が不十分だと後戻り(元の位置に戻ろうとする動き)をします
- 自費診療(保険適用外)となります
当サイトの内容、テキスト、画像等の無断転載、複製、複写、盗用を固く禁じます。



































