症例詳細
Case detail
歯の隙間と欠損を同時に解決。インビザラインとインプラントを組み合わせた包括的治療
治療症例の内容
- 患者様
- 30代女性
- 治療期間
- 治療回数
- 5-10回
- 治療計画
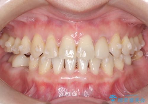
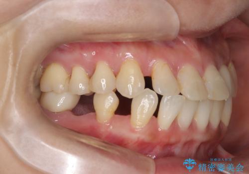
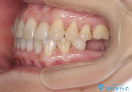
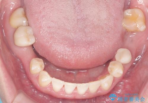
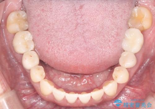
- 歯と歯の間に大きなスペースがある「空隙歯列(すきっ歯)」と、一部の歯が欠損していることによる噛み合わせの不安定さを主訴にご来院されました。
精密検査の結果、全体の隙間を閉じるだけでは適切な咬合バランスが得られないため、まずはインビザラインを用いて歯の位置を理想的な場所へと整える計画を立案しました。矯正によって欠損部位に適切なスペースを確保した後、その部分にインプラントを埋入することで、審美性と機能性の両立を目指しました。
- 費用(概算)
- 180万円費用は治療当時の料金となります
治療について
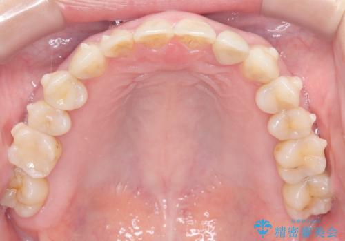
治療は、まずインビザラインを使用して全体の隙間を閉じつつ、将来インプラントを入れるためのスペースをミリ単位で精密に調整しました。マウスピース矯正は、歯の移動量をデジタルで管理できるため、最終的な被せ物の大きさに合わせた理想的な位置取りが可能です。
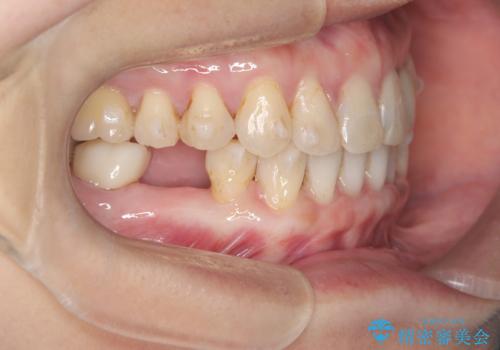
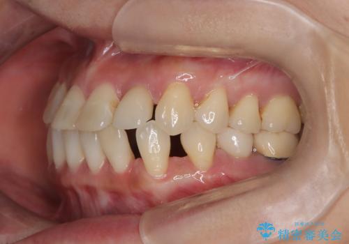
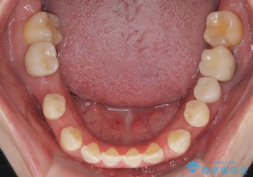
矯正によって土台となる歯列が整った段階で、欠損部位へインプラントを埋入しました。これにより、周囲の歯を削ることなく、天然歯のような噛み心地を再現することができました。
矯正とインプラントを組み合わせたことで、見た目のコンプレックスが解消されただけでなく、全体の噛み合わせも安定しました。隙間がなくなったことで発音や清掃性も向上し、長期的に健康を維持できる口腔環境が整いました。
マウスピース矯正の注意事項(リスク・副作用など)
- 口腔内・歯並びの状態によっては対応できない場合があります
- マウスピース型矯正装置の長時間装着(1日20時間以上)が必須です
- 治療計画通りに進めるためには、患者様の意志が重要になります
- 矯正治療後の保定が不十分だと後戻り(元の位置に戻ろうとする動き)をします
- 薬機法対象外の矯正歯科装置のため医薬品副作用被害救済制度の対象外となる場合があります
- 自費診療(保険適用外)となります
当サイトの内容、テキスト、画像等の無断転載、複製、複写、盗用を固く禁じます。















