症例・治療例紹介
Cases
Dr. 河口智英の症例写真
1ページ目 / 35
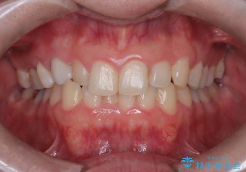
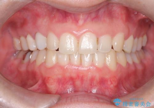
閉院による転院からのリカバリー。インビザラインからワイヤー矯正への切り替え
担当医 河口智英


神経を抜かずに守る。MTAを用いた部分的断髄法と精密セラミック修復


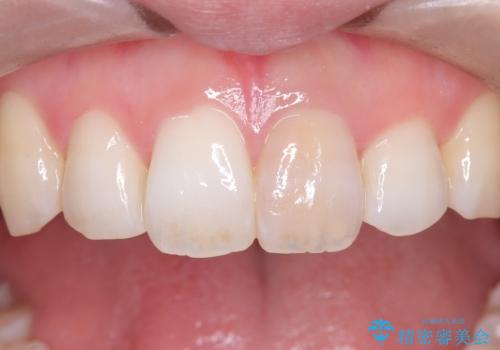
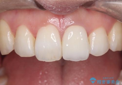
前歯の気になる変色を解消。再根管治療とオールセラミックで自然な美しさへ
担当医 河口智英


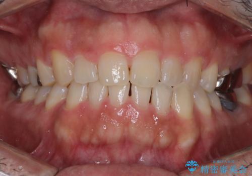
全ての銀歯をセラミックへ。お口全体をメタルフリーにして笑顔まで明るく
担当医 河口智英


ブリッジからインプラントへの移行と歯周形成外科
担当医 河口智英


詰め物が外れた奥歯。MB2の発見
担当医 河口智英


2回で完了した奥歯のセラミック修復
担当医 河口智英


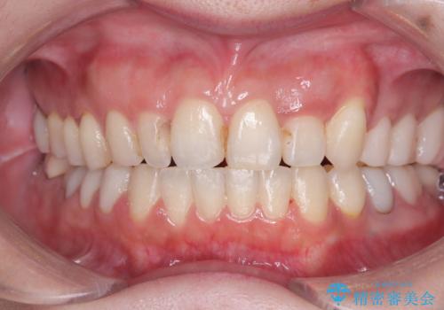
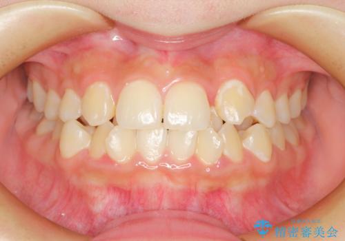
八重歯と正中のズレを解消!目立ちにくいワイヤー矯正で美しい歯並びへ
担当医 河口智英


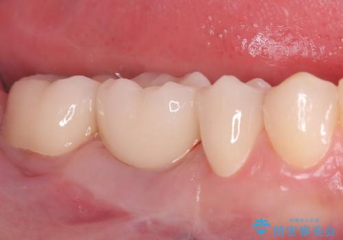
奥歯の銀歯を美しく一新!歯の破折を防ぐセラミッククラウン
担当医 河口智英














