症例詳細
Case detail
かかりつけ医の治療方針に疑問 歯周病治療と矯正治療を合わせた総合歯科治療
- 患者様
- 30代女性
- 矯正装置
- 審美装置
- 治療期間
- 3年3ヶ月
- 治療回数
- 30回以上
- 治療計画
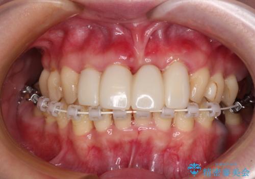
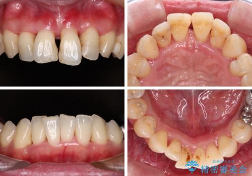
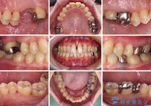
- かかりつけ医にて歯周病治療の名目で治療を行っていたものの、治療プランが明確でないままにインプラント処置を行うとことに疑問を感じ、来院された患者様です。
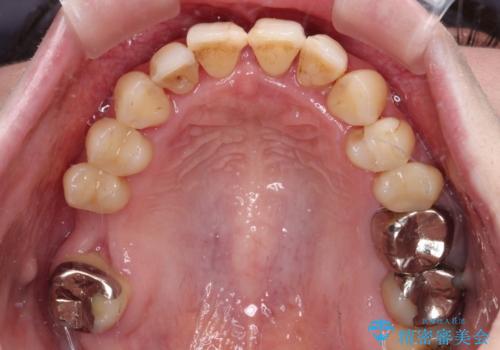
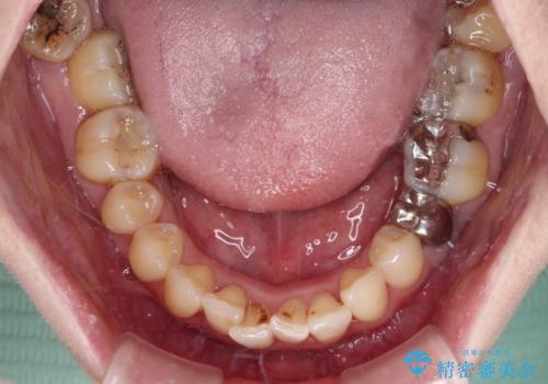
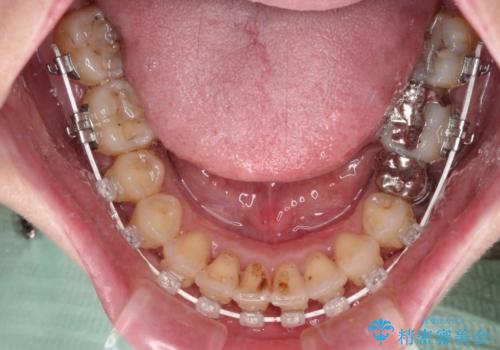
かかりつけ医では、歯周病治療は終了したため、抜歯を行った右上奥歯にインプラント埋入を行うとの案内があったそうです。
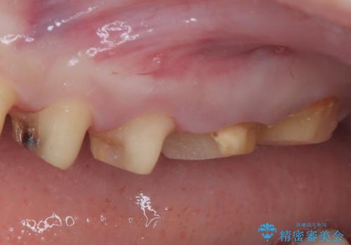
検査を行ったところ、歯周外科処置や抜歯が必要と思われる箇所が散見されたため、あらためて当院に歯周病の初期治療から行うこととしました。
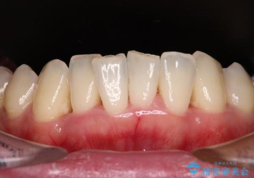
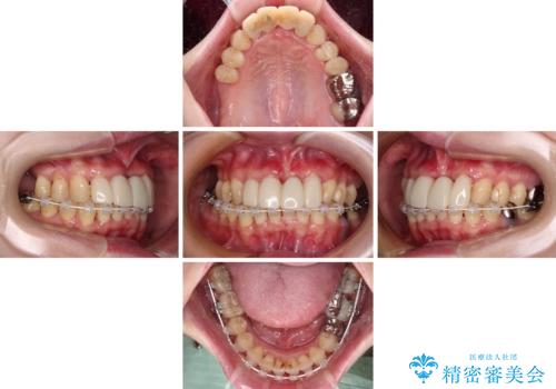
下顎前歯の叢生も気になっており、矯正治療も並行して進めていくこととしました。
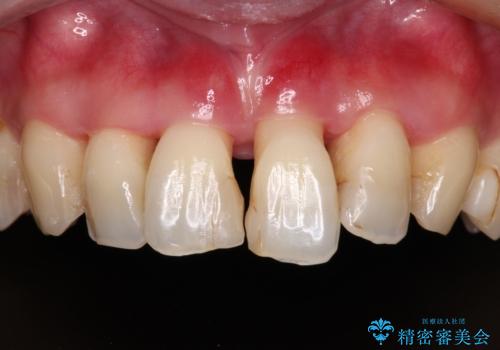
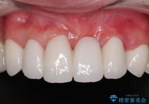
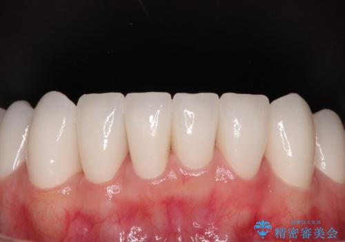
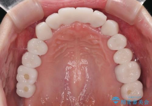
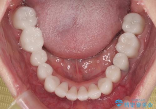
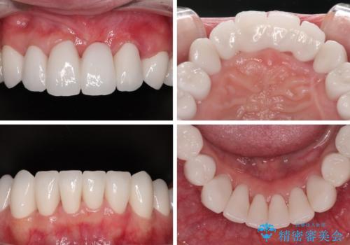
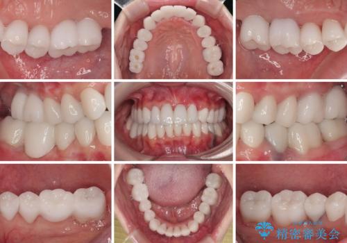
自他共に認める、非常に色白の患者様であったため、黄ばんだ歯の色を白くすることを希望されており、歯周病治療の該当部位に限らず、全顎的にオールセラミッククラウンにて補綴治療を行うこととしました。
- 費用(概算)
- 620万円(税込)費用は治療当時の料金となります
治療について
多くの外科処置を行ったため、治療期間も長くなり、患者様の負担は非常に大きなものとなりましたが、明るく健康的な口元となり、患者様には大変満足していただけました。
歯周病治療の注意事項(リスク・副作用など)
- 外科手術のため、術後に痛みや腫れ、違和感を伴います
- 歯周組織再生治療は患者様の状態によって術後の経過が異なります(見た目が改善しない場合もあります)
- 歯周組織再生治療は自費診療(保険適用外)となります
インプラント治療の注意事項(リスク・副作用など)
- 外科手術のため、術後に痛みや腫れ、違和感を伴います
- メンテナンスを怠ったり喫煙により、お口の中に大きな悪影響を及ぼすインプラント周囲炎等にかかる可能性があります
- 糖尿病、肝硬変、心臓病等の場合、インプラント治療ができない可能性があります
- 高血圧、貧血・不整脈等の場合、インプラント治療後に治癒不全を招く可能性があります
- 自費診療(保険適用外治療)となります
ワイヤー矯正の注意事項(リスク・副作用など)
- 治療中は違和感や痛みが起こることがあります
- 症状により、抜歯が必要な場合があります
- 治療中は歯磨きがしにくくなるため、虫歯や歯周病になりやすくなります
- 矯正治療後の保定が不十分だと後戻り(元の位置に戻ろうとする動き)をします
- 自費診療(保険適用外)となります
セラミック治療の注意事項(リスク・副作用など)
- 天然歯を削ります
- 硬い素材は天然歯を傷つけてしまう場合があります
- かみ合わせや歯ぎしりが強すぎる方はセラミックが割れてしまう可能性があります
- 自費診療(保険適用外治療)となります
当サイトの内容、テキスト、画像等の無断転載、複製、複写、盗用を固く禁じます。


































