症例詳細
Case detail
外れるブリッジと気になる八重歯 総合歯科治療で美しい口元に
- 患者様
- 50代女性
- 矯正装置
- 審美装置
- 治療期間
- 3年
- 治療回数
- 30回以上
- 治療計画
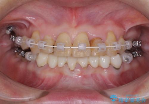
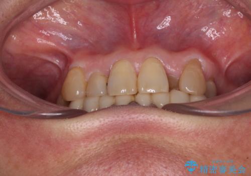
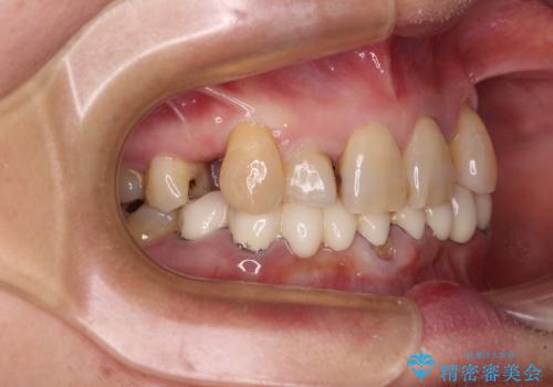
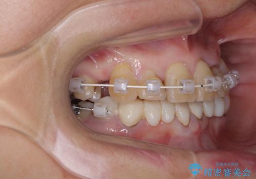
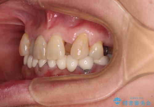
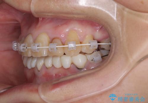
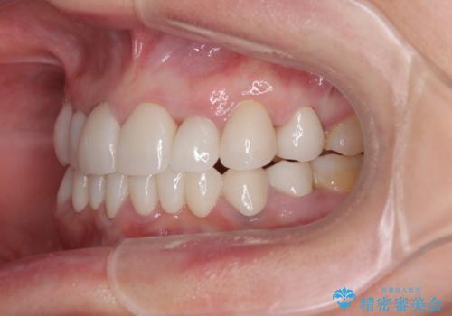
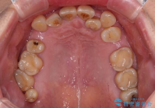
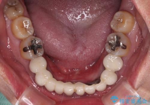
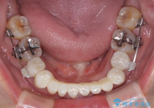
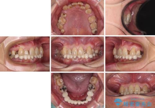
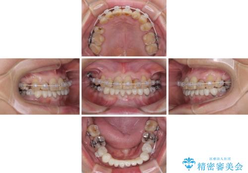
- 常に外れている下顎のブリッジと、前歯のデコボコと色を気にして来院された患者様です。
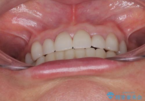
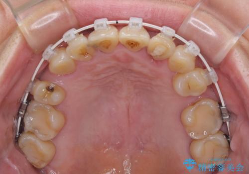
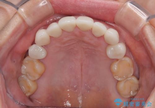
前歯のデコボコおよび奥歯の咬み合わせを改善するために、上顎左右の小臼歯を欠損スペースを利用して歯列を整え、矯正治療後に気になる上下前歯などをオールセラミッククラウンで美しく仕上げていくこととしました。
- 費用(概算)
- 350万円(税込)費用は治療当時の料金となります
治療について
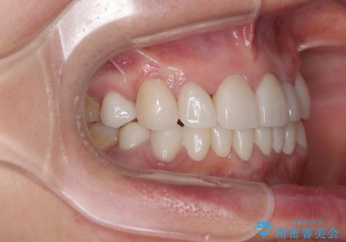
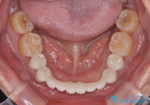
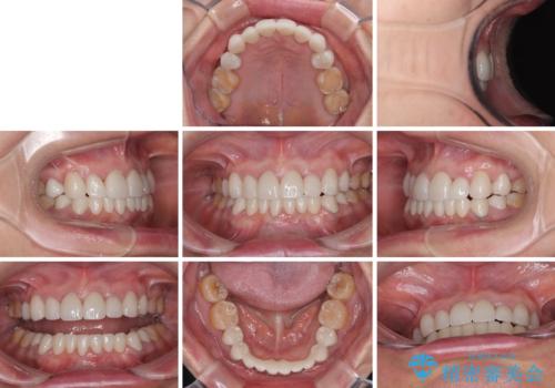
色や歯列が整ったことはもちろん満足いただけましたが、上顎の舌側転位していた前歯が綺麗に整ったことで違和感が減ったことを非常に喜んでいらっしゃいました。
ワイヤー矯正の注意事項(リスク・副作用など)
- 治療中は違和感や痛みが起こることがあります
- 症状により、抜歯が必要な場合があります
- 治療中は歯磨きがしにくくなるため、虫歯や歯周病になりやすくなります
- 矯正治療後の保定が不十分だと後戻り(元の位置に戻ろうとする動き)をします
- 自費診療(保険適用外)となります
セラミック治療の注意事項(リスク・副作用など)
- 天然歯を削ります
- 硬い素材は天然歯を傷つけてしまう場合があります
- かみ合わせや歯ぎしりが強すぎる方はセラミックが割れてしまう可能性があります
- 自費診療(保険適用外治療)となります
当サイトの内容、テキスト、画像等の無断転載、複製、複写、盗用を固く禁じます。


























