症例詳細
Case detail
奥歯の咬み合わせのズレと前歯の突出感 変則的な抜歯矯正
- 患者様
- 20代女性
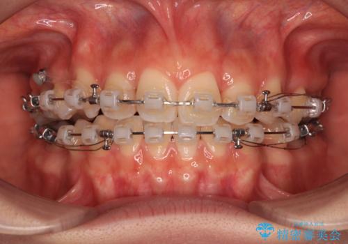
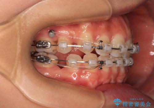
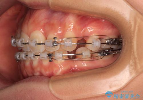
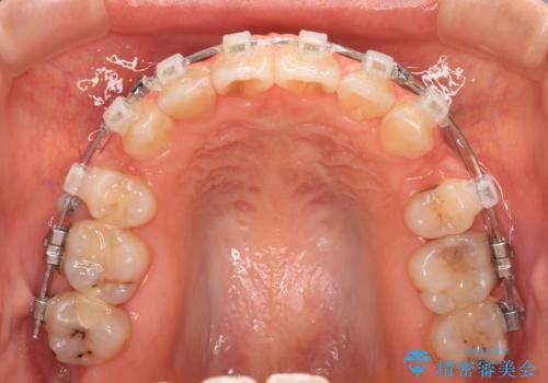
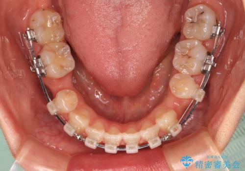
- 矯正装置
- クリアブラケット
- 治療期間
- 2年4ヶ月
- 治療回数
- 10-30回
- 治療計画
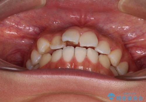
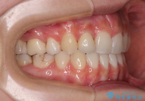
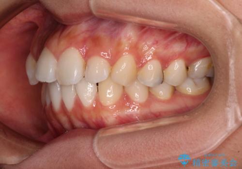
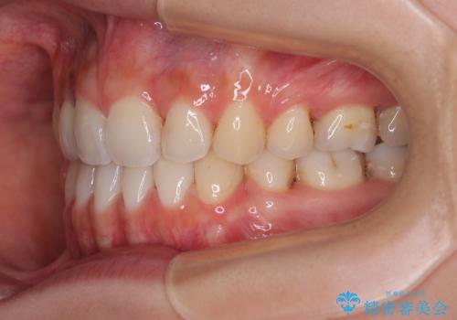
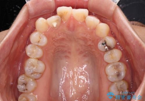
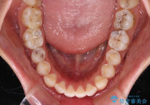
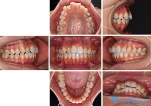
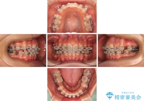
- 前歯のデコボコと口元の突出感を気にして来院された患者様です。
口元の突出感が認められ、更には左右で異なる咬合状態であったため、下顎右側は第二小臼歯を、左側は第一小臼歯を抜去することでバランスを取るような治療計画としました。
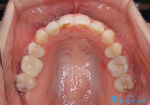
また上顎前歯は大臼歯に補綴治療が必要であったため、矯正治療後にオールセラミッククラウンによる補綴治療を行うこととしました。
- 費用(概算)
- 135万円(税込)費用は治療当時の料金となります
治療について
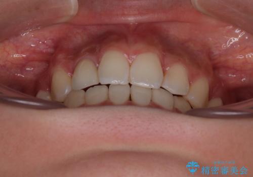
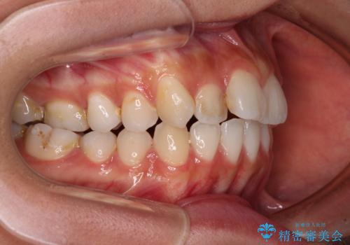
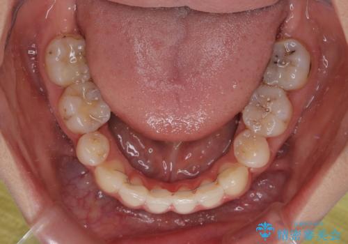
下顎の抜歯位置を左右で変えることで、最終的に上下正中をほぼ一致させることができました。
ワイヤー矯正の注意事項(リスク・副作用など)
- 治療中は違和感や痛みが起こることがあります
- 症状により、抜歯が必要な場合があります
- 治療中は歯磨きがしにくくなるため、虫歯や歯周病になりやすくなります
- 矯正治療後の保定が不十分だと後戻り(元の位置に戻ろうとする動き)をします
- 自費診療(保険適用外)となります
セラミック治療の注意事項(リスク・副作用など)
- 天然歯を削ります
- 硬い素材は天然歯を傷つけてしまう場合があります
- かみ合わせや歯ぎしりが強すぎる方はセラミックが割れてしまう可能性があります
- 自費診療(保険適用外治療)となります
当サイトの内容、テキスト、画像等の無断転載、複製、複写、盗用を固く禁じます。


























