症例詳細
Case detail
反対咬合ですり減った前歯とむし歯だらけの奥歯 総合歯科治療
治療症例の内容
- 患者様
- 40代男性
- 矯正装置
- 審美装置
- 治療期間
- 4年1ヶ月
- 治療回数
- 30回以上
- 治療計画
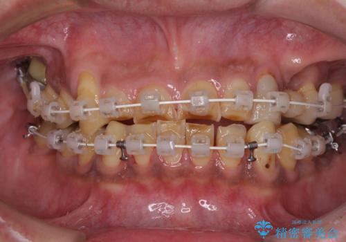
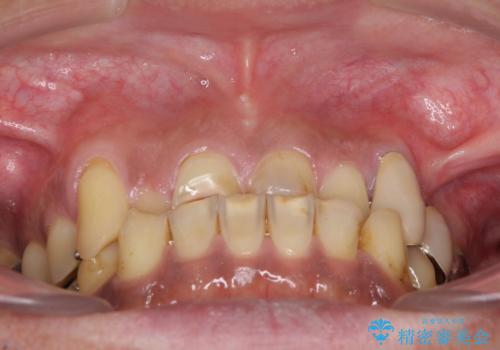
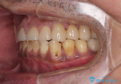
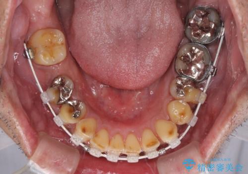
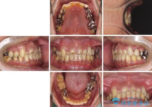
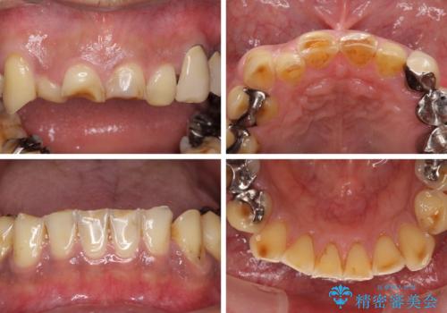
- すり減った前歯や奥歯の銀歯を気にして来院された患者様です。
骨格的な反対咬合により上顎前歯の先端が顕著にすり減っている状態でした。
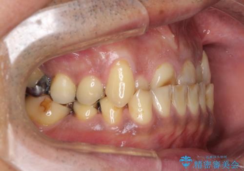
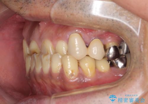
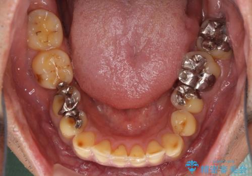
奥歯の欠損が散見されており、銀歯の装着されている歯も多いため、ワイヤー矯正にて歯列を調整し、その後オールセラミッククラウンにて補綴治療を行うこととしました。
反対咬合改善には奥歯の咬み合わせをしっかりと改善させることが必要となりますが、奥歯に欠損が多いため、矯正治療が難航することが予想されます。
- 費用(概算)
- 治療費の目安: 320万円(税込)費用は治療当時の料金となります
治療について
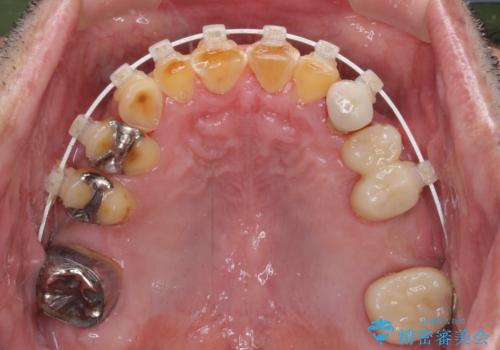
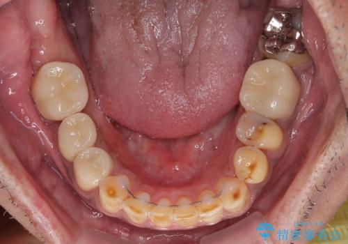
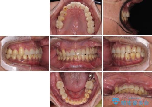
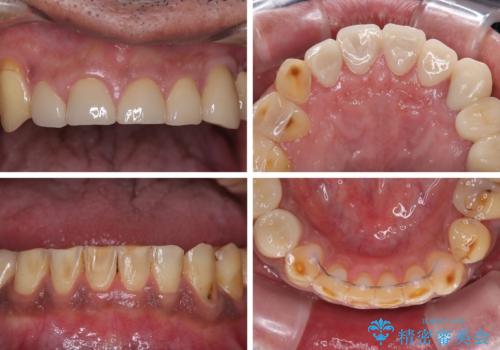
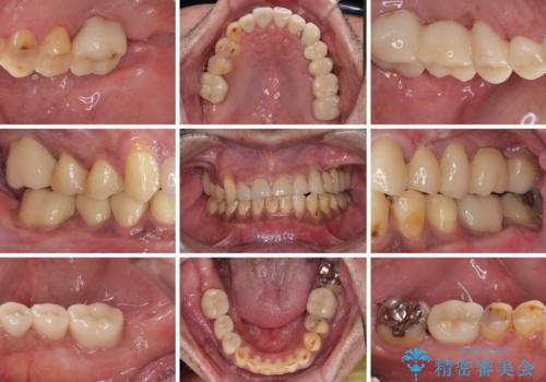
矯正治療は想定通り長期化しましたが、しっかりと奥歯の咬み合わせを向上させて前歯の被蓋を改善させることができました。
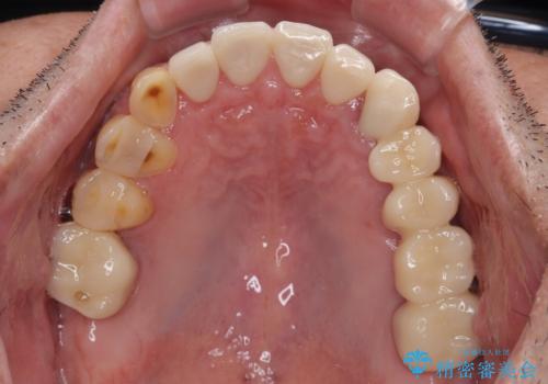
目立つ銀歯やすり減った前歯がセラミッククラウンとなり、患者様には大変満足していただけました。
ワイヤー矯正の注意事項(リスク・副作用など)
- 治療中は違和感や痛みが起こることがあります
- 症状により、抜歯が必要な場合があります
- 治療中は歯磨きがしにくくなるため、虫歯や歯周病になりやすくなります
- 矯正治療後の保定が不十分だと後戻り(元の位置に戻ろうとする動き)をします
- 自費診療(保険適用外)となります
セラミック治療の注意事項(リスク・副作用など)
- 天然歯を削ります
- 硬い素材は天然歯を傷つけてしまう場合があります
- かみ合わせや歯ぎしりが強すぎる方はセラミックが割れてしまう可能性があります
- 自費診療(保険適用外治療)となります
当サイトの内容、テキスト、画像等の無断転載、複製、複写、盗用を固く禁じます。
































