症例詳細
Case detail
目立つ前歯の詰め物 オーダーメイドのセラミッククラウンで審美的に仕上げる
治療症例の内容
- 診療科目
- 治療カテゴリ
- 担当医
- 藤巻太一朗(ドクタープロフィール)
- 患者様
- 40代女性
- 治療期間
- 1ヶ月
- 治療回数
- 2-5回
- 治療計画
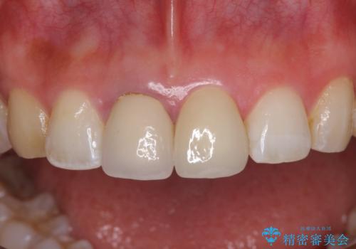
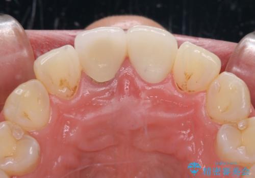
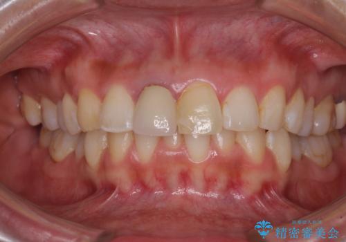
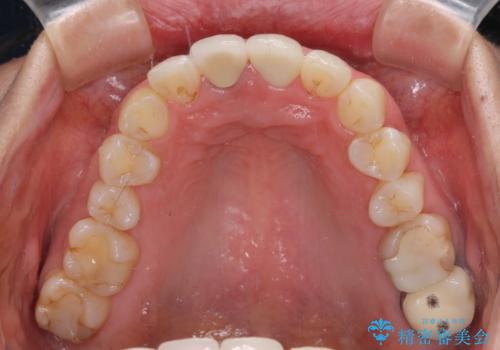
- 前歯のプラスチックが変色していることを気にして来院された患者様です。
反対側同名歯にセラミッククラウンが装着されていたため、そちらのクラウンと形態や色彩を揃えるようオーダーメイドタイプのオールセラミッククラウンにて補綴することとしました。
- 費用(概算)
- 治療費の目安: 14万円費用は治療当時の料金となります
治療について
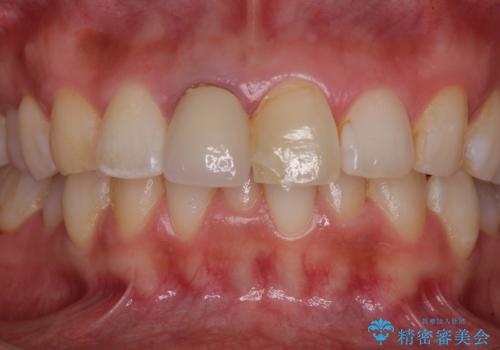
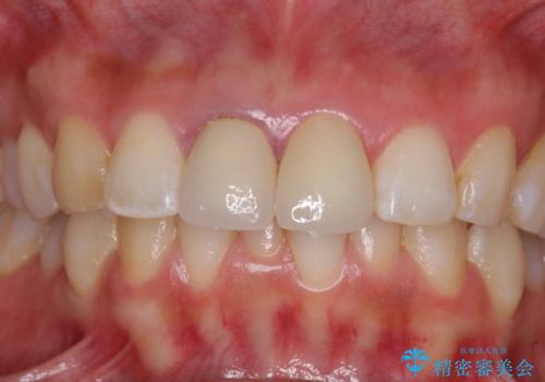
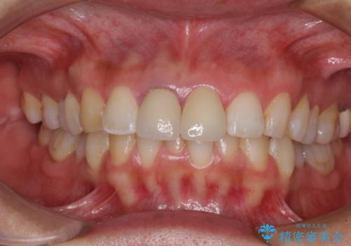
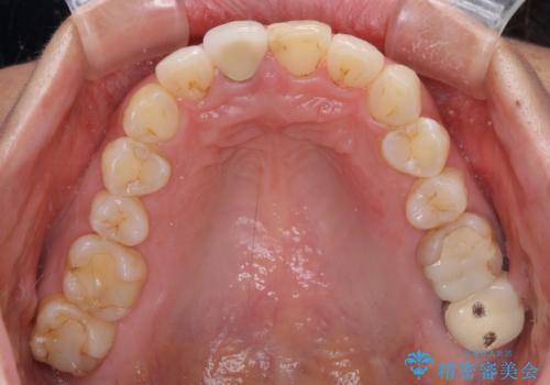
2本同時に処置をし、2本とも明るい色合いにすることをお勧めしましたが、今回は1歯のみとしました。
左右のバランスが取れ、患者様には大変満足していただきました。
セラミック治療の注意事項(リスク・副作用など)
- 天然歯を削ります
- 硬い素材は天然歯を傷つけてしまう場合があります
- かみ合わせや歯ぎしりが強すぎる方はセラミックが割れてしまう可能性があります
- 自費診療(保険適用外治療)となります
当サイトの内容、テキスト、画像等の無断転載、複製、複写、盗用を固く禁じます。














