症例詳細
Case detail
- 患者様
- 30代男性
- 矯正装置
- インビザライン
- 治療期間
- 1年8ヶ月
- 治療回数
- 10-30回
- 治療計画
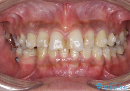
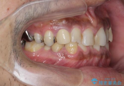
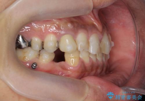
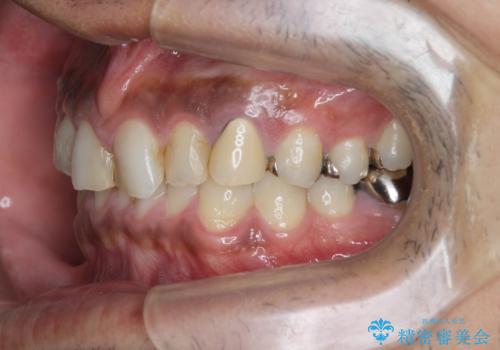
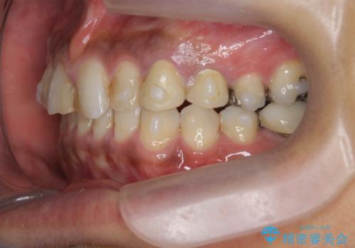
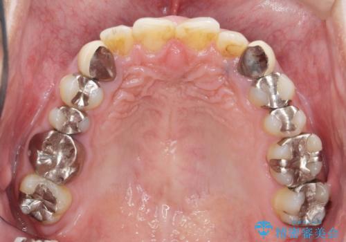
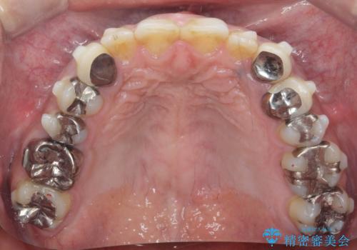
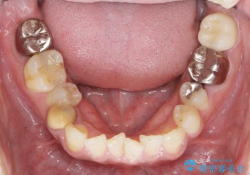
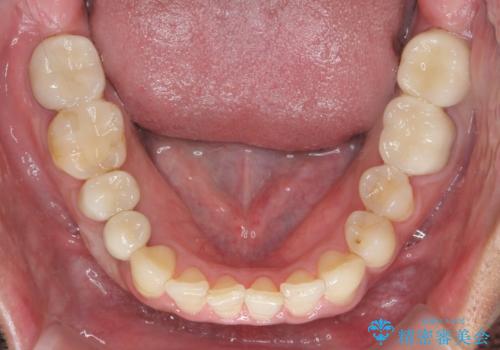
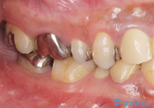
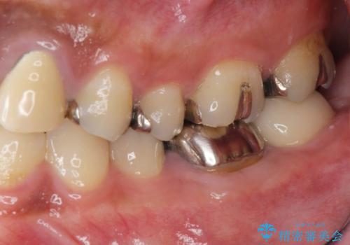
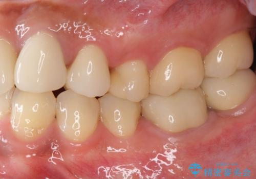
- 長年虫歯の治療を受け続けたことで銀歯・コンポジットレジン修復だらけになってしまい、今後の見た目や歯を大切にするためにセラミック治療矯正治療を希望され来院されました。
マイクロスコープを用いた精密根管治療やセラミック治療、マウスピース矯正治療を一つの医院で行うことのできる当法人ならではの総合歯科治療を実践していきます。
- 費用(概算)
- 約330万円 (セラミック治療 矯正治療 インプラント治療含む)費用は治療当時の料金となります
治療について
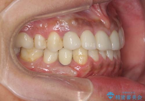
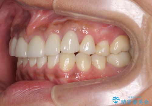
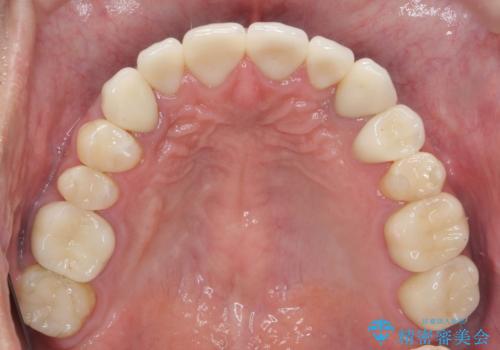
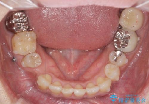
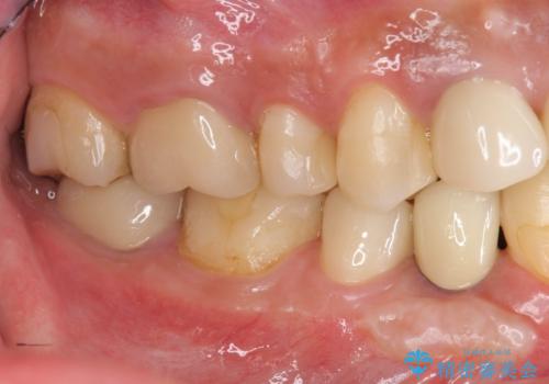
歯並びを整えたことで、歯ブラシのしやすさが向上し見た目も銀歯を全て除去したことで大きく改善して大変満足いただくことができました。
マウスピース矯正の注意事項(リスク・副作用など)
- 口腔内・歯並びの状態によっては対応できない場合があります
- マウスピース型矯正装置の長時間装着(1日20時間以上)が必須です
- 治療計画通りに進めるためには、患者様の意志が重要になります
- 矯正治療後の保定が不十分だと後戻り(元の位置に戻ろうとする動き)をします
- 薬機法対象外の矯正歯科装置のため医薬品副作用被害救済制度の対象外となる場合があります
- 自費診療(保険適用外)となります
インプラント治療の注意事項(リスク・副作用など)
- 外科手術のため、術後に痛みや腫れ、違和感を伴います
- メンテナンスを怠ったり喫煙により、お口の中に大きな悪影響を及ぼすインプラント周囲炎等にかかる可能性があります
- 糖尿病、肝硬変、心臓病等の場合、インプラント治療ができない可能性があります
- 高血圧、貧血・不整脈等の場合、インプラント治療後に治癒不全を招く可能性があります
- 自費診療(保険適用外治療)となります
セラミック治療の注意事項(リスク・副作用など)
- 天然歯を削ります
- 硬い素材は天然歯を傷つけてしまう場合があります
- かみ合わせや歯ぎしりが強すぎる方はセラミックが割れてしまう可能性があります
- 自費診療(保険適用外治療)となります
当サイトの内容、テキスト、画像等の無断転載、複製、複写、盗用を固く禁じます。






















