症例・治療例紹介
Cases
Dr. 大元洋佑の症例写真
1ページ目 / 67
銀歯を外してのインプラント・セラミック治療


すべての虫歯治療をしたい


前歯の劣化したコンポジットレジン修復をセラミッククラウンへ
担当医 大元洋佑


{ 歯周外科 } 骨隆起除去を含む歯冠長延長術


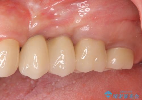
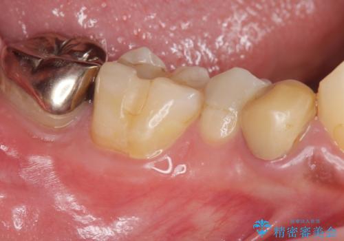
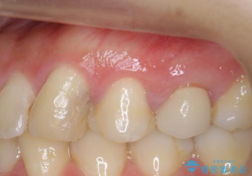
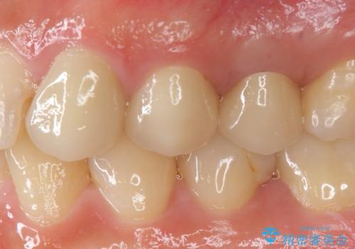
[ 歯周外科手術 ] セラミック治療後の歯ぐきの違和感
![[ 歯周外科手術 ] セラミック治療後の歯ぐきの違和感の症例 治療前](https://seimitsushinbi.jp/wp/wp-content/uploads/2025/11/df0a5b4fd614aece98010182a50a102c-500x350.jpg?v=1763019354)
![[ 歯周外科手術 ] セラミック治療後の歯ぐきの違和感の症例 治療後](https://seimitsushinbi.jp/wp/wp-content/uploads/2025/11/7205c034dbf47005c776c393589a0a36-500x350.jpg?v=1763019402)
奥歯でしっかりと咬みたい 咬合機能をしっかりと回復するインプラント治療


歯の水平・垂直的位置を整備したセラミッククラウン治療


遊離歯肉移植術を併用した、破折歯のインプラント治療
担当医 大元洋佑


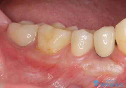
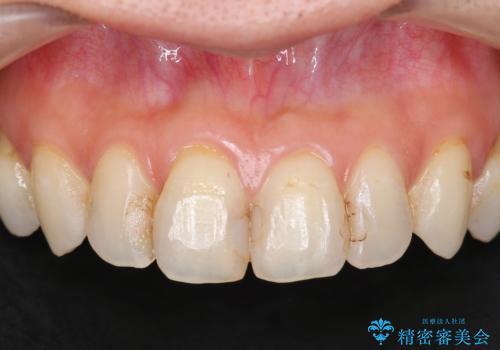
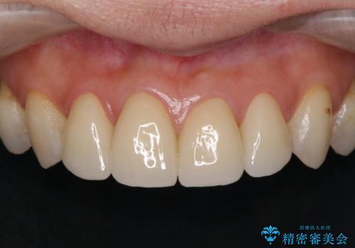
[ セラミック治療 ] 前歯の見た目を改善したい
担当医 大元洋佑
![[ セラミック治療 ] 前歯の見た目を改善したいの症例 治療前](https://seimitsushinbi.jp/wp/wp-content/uploads/2025/10/IMG_9990-2-500x350.jpg?v=1761816440)
![[ セラミック治療 ] 前歯の見た目を改善したいの症例 治療後](https://seimitsushinbi.jp/wp/wp-content/uploads/2025/10/IMG_9934-500x350.jpg?v=1761816431)
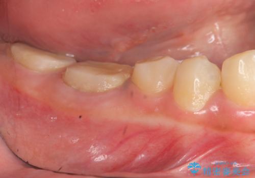
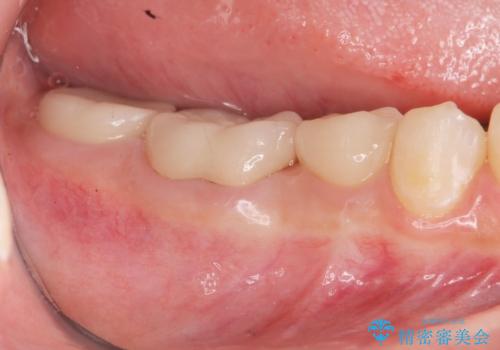
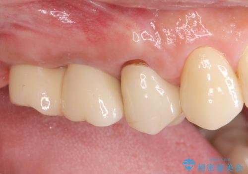
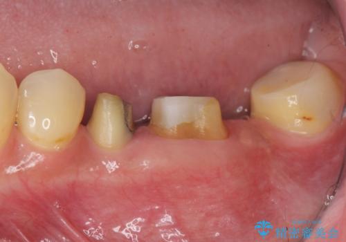
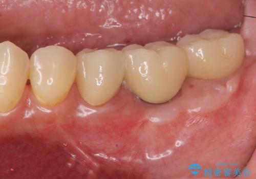
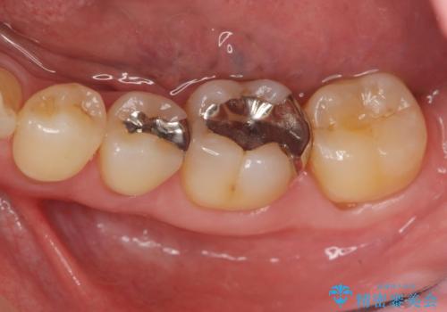
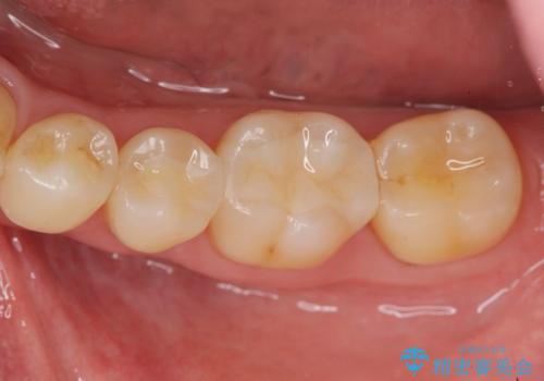
[ 不適合な補綴物による虫歯の再発 ] 劣化の進んだブリッジの再治療
![[ 不適合な補綴物による虫歯の再発 ] 劣化の進んだブリッジの再治療の症例 治療前](https://seimitsushinbi.jp/wp/wp-content/uploads/2025/10/bd2e9fc7c7be0dc2ab0c95aea893e9f4-500x350.jpg?v=1761121308)
![[ 不適合な補綴物による虫歯の再発 ] 劣化の進んだブリッジの再治療の症例 治療後](https://seimitsushinbi.jp/wp/wp-content/uploads/2025/10/eb9c63ca29dc0f53d065359b029e5b91-500x350.jpg?v=1761121318)
[ 歯周病・矯正・セラミック補綴 ] 歯の総合的なマネージメントを行う包括的歯科治療の実践
![[ 歯周病・矯正・セラミック補綴 ] 歯の総合的なマネージメントを行う包括的歯科治療の実践の症例 治療前](https://seimitsushinbi.jp/wp/wp-content/uploads/2025/10/7db12d5413070a950bc6275b957b7f9f-500x350.jpg?v=1760767674)
![[ 歯周病・矯正・セラミック補綴 ] 歯の総合的なマネージメントを行う包括的歯科治療の実践の症例 治療後](https://seimitsushinbi.jp/wp/wp-content/uploads/2025/10/eaeb8f32e6e2496b4cca2d55d85ba36c-500x350.jpg?v=1760768149)

![[ セラミック治療 ] 歯ぐきの際の黒ずみを改善したいの症例 治療前](https://seimitsushinbi.jp/wp/wp-content/uploads/2025/11/dc9a6d694f758da04c95369d49ca1eaa-500x350.jpg?v=1763813257)
![[ セラミック治療 ] 歯ぐきの際の黒ずみを改善したいの症例 治療後](https://seimitsushinbi.jp/wp/wp-content/uploads/2025/11/819a3f722b2f6f2cebfa9bb6824ecc79-500x350.jpg?v=1763813270)





