症例詳細
Case detail
重度のがたつき 矯正治療+セラミック治療で綺麗な歯並びに 矯正専門では難しい治療
- 患者様
- 20代女性
- 矯正装置
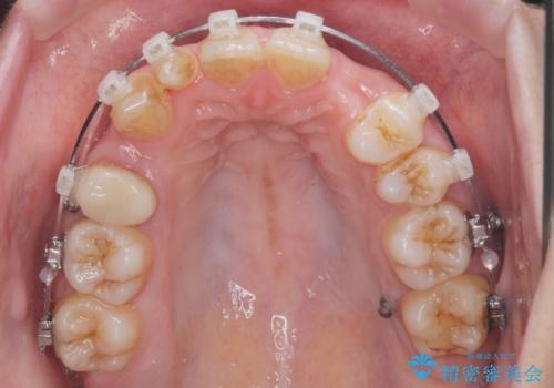
- ワイヤー矯正
- 治療期間
- 3年
- 治療回数
- 30回以上
- 治療計画
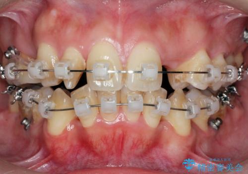
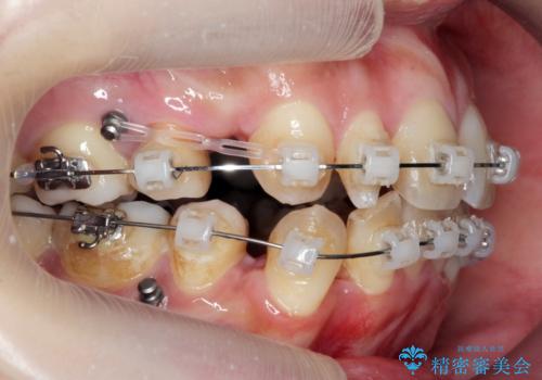
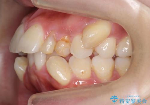
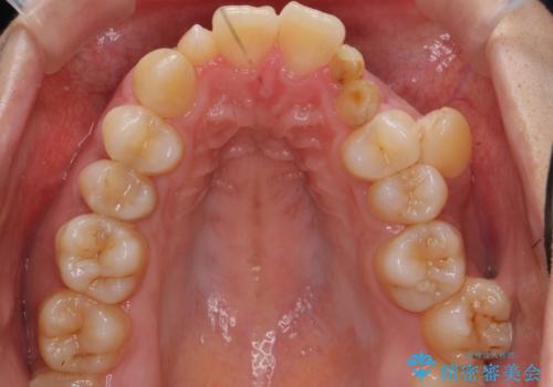
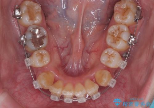
- 歯並びを気にして来院。
乳歯が残存しており、また左上の犬歯もずれて生えてきていました。
右上の前歯も細長い特殊な形をしていました。(矮小歯といいます)
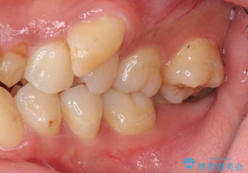
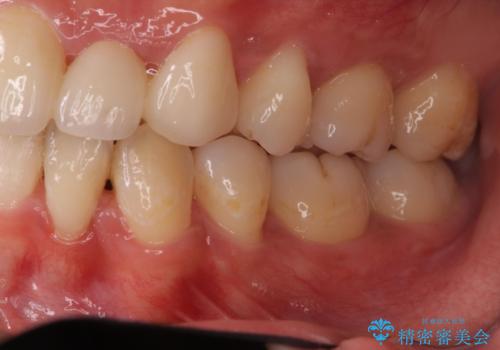
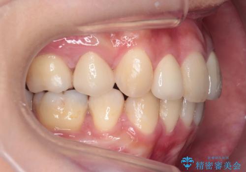
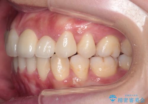
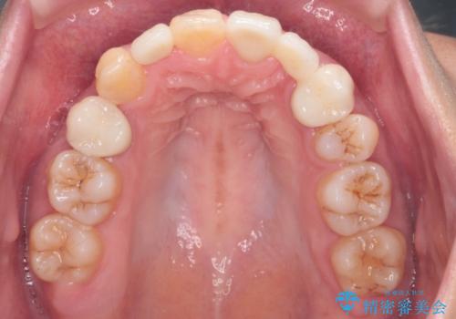
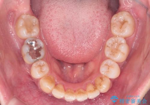
矯正治療で歯並びを治した後、乳歯を抜いたところにブリッジを入れています。
- 費用(概算)
- 132万円(補綴費用別)費用は治療当時の料金となります
治療について
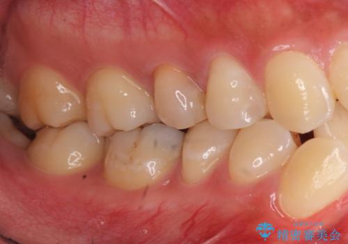
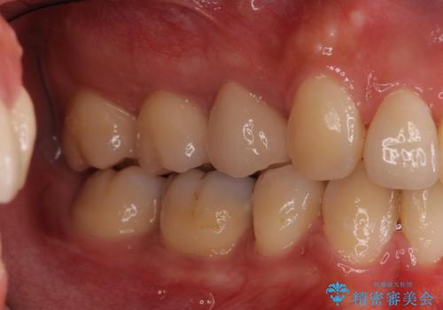
左上の奥歯はすれ違っていたためそのかみ合わせも整えています。
歯を抜いて治療を行ったため、Eラインが整った形で治療ができました。口が断然閉じやすくなっています。
ワイヤー矯正の注意事項(リスク・副作用など)
- 治療中は違和感や痛みが起こることがあります
- 症状により、抜歯が必要な場合があります
- 治療中は歯磨きがしにくくなるため、虫歯や歯周病になりやすくなります
- 矯正治療後の保定が不十分だと後戻り(元の位置に戻ろうとする動き)をします
- 自費診療(保険適用外)となります
セラミック治療の注意事項(リスク・副作用など)
- 天然歯を削ります
- 硬い素材は天然歯を傷つけてしまう場合があります
- かみ合わせや歯ぎしりが強すぎる方はセラミックが割れてしまう可能性があります
- 自費診療(保険適用外治療)となります
当サイトの内容、テキスト、画像等の無断転載、複製、複写、盗用を固く禁じます。

























