症例詳細
Case detail
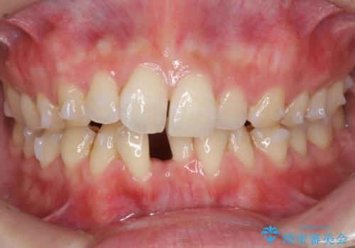
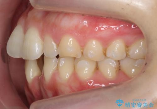
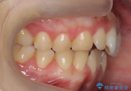
前歯のガタつき インビザラインで 下の前歯を1本抜歯
治療症例の内容
- 診療科目
- 治療カテゴリ
- 担当医
- 井上季実子(ドクタープロフィール)
- 患者様
- 20代女性
- 矯正装置
- インビザライン
- 治療期間
- 1年
- 治療計画
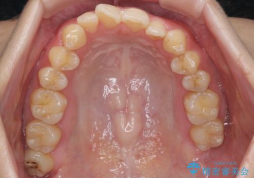
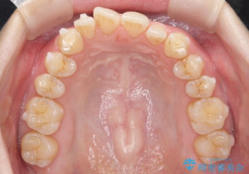
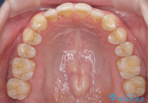
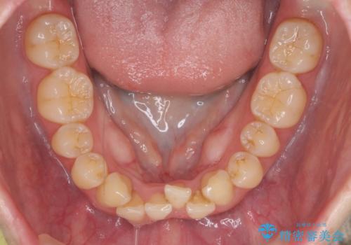
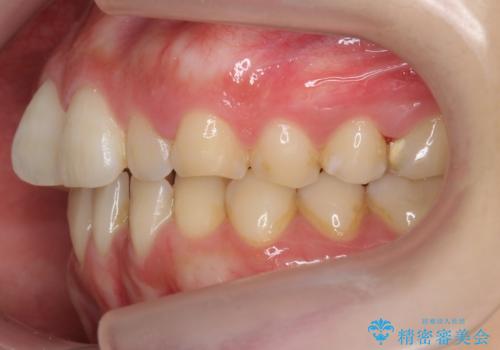
- 前歯のがたつきを主訴に来院。マウスピース矯正を希望されました。
治療にあたり、下の前歯を一本抜歯しています。
非抜歯で無理に治療をしようとすると、下の前歯の骨が薄く歯ぐきが下がったり、歯がぐらついたり、がたつきが完全にとれないリスクがあることを説明しました。
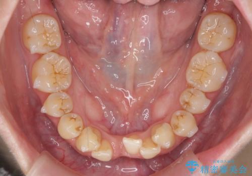
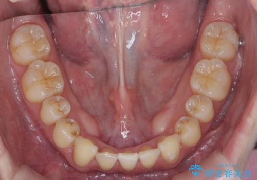
下の前歯が3本になるため、上下の正中は合わない仕上がりとなりますが、正中を合わせるには上下左右4本抜歯の上、ワイヤー矯正となってしまいます。
それよりは抜歯の数も少なく、メリットが大きいのではないかと説明し、選んでいただきました。
- 費用(概算)
- 93.5万円費用は治療当時の料金となります
治療について
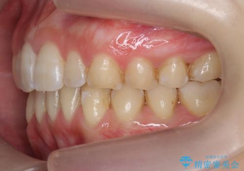
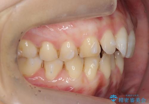
短期間できれいな歯並びになり、大変満足していただきました。
マウスピース矯正の注意事項(リスク・副作用など)
- 口腔内・歯並びの状態によっては対応できない場合があります
- マウスピース型矯正装置の長時間装着(1日20時間以上)が必須です
- 治療計画通りに進めるためには、患者様の意志が重要になります
- 矯正治療後の保定が不十分だと後戻り(元の位置に戻ろうとする動き)をします
- 薬機法対象外の矯正歯科装置のため医薬品副作用被害救済制度の対象外となる場合があります
- 自費診療(保険適用外)となります
当サイトの内容、テキスト、画像等の無断転載、複製、複写、盗用を固く禁じます。

















