症例詳細
Case detail
非対称の前歯を整えたい 矯正治療と審美治療の総合歯科診療
- 患者様
- 40代女性
- 矯正装置
- 審美装置
- 治療期間
- 3年
- 治療回数
- 30回以上
- 治療計画
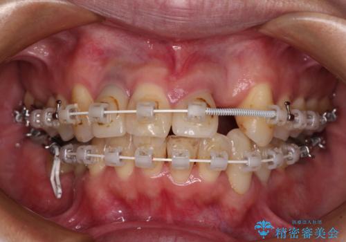
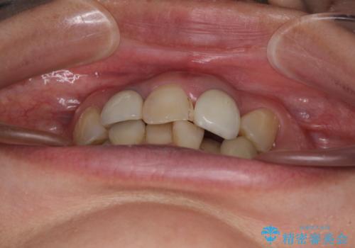
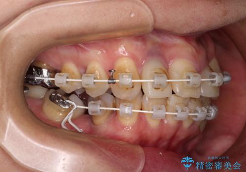
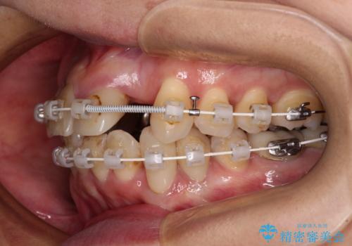
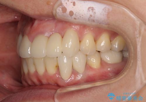
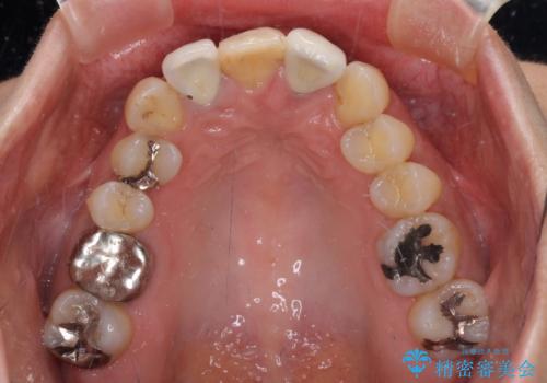
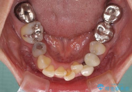
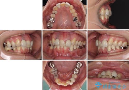
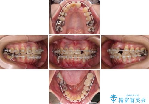
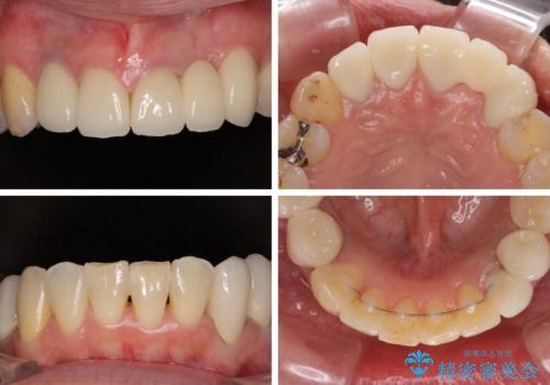
- 非対称な前歯や奥歯の目立つ銀歯を気にして来院された患者様です。
左上前から2番目の歯は、以前裏側に位置していたことから抜歯をされていましたが、前歯の非対称が長年気になっているとのことでした。
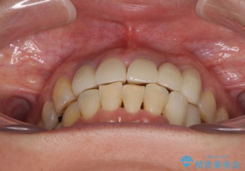
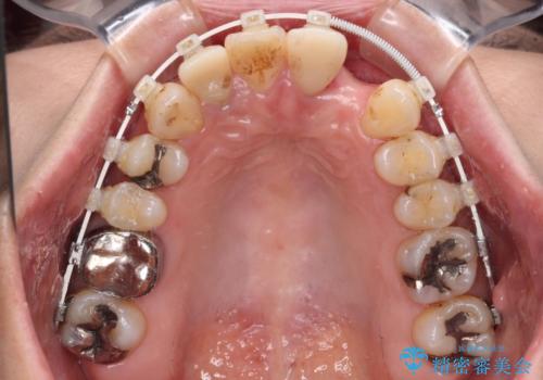
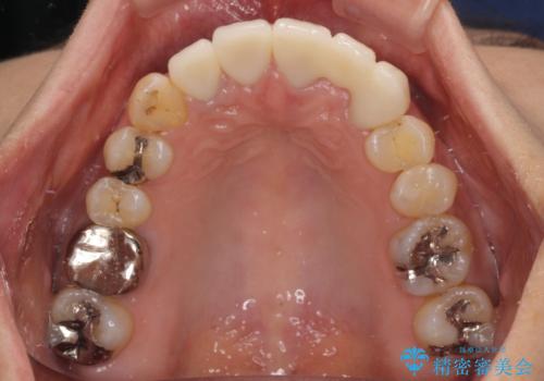
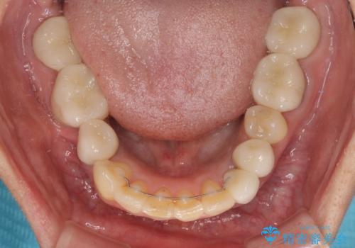
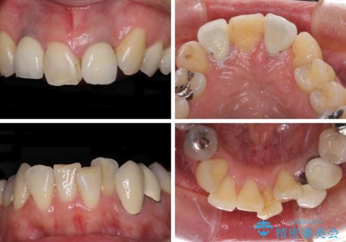
矯正治療によって前歯にスペースを作り、左右対称となるようにオールセラミッククラウンにて補綴治療を行うとしました。
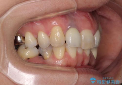
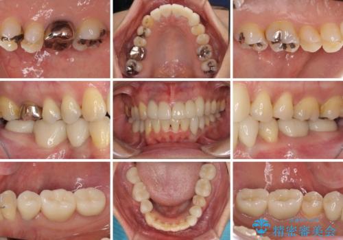
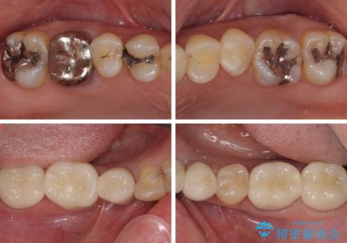
他にも奥歯の咬み合わせに問題があったので、全顎的な矯正治療を行い、前歯以外にも口を開けたときに目立つ奥の銀歯をセラミッククラウンにて補綴治療を行うこととしました。
- 費用(概算)
- 治療費の目安: 300万円(税込)費用は治療当時の料金となります
治療について
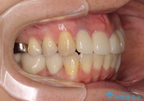
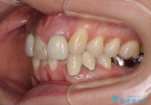
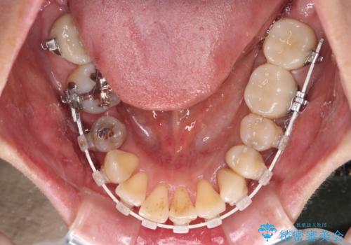
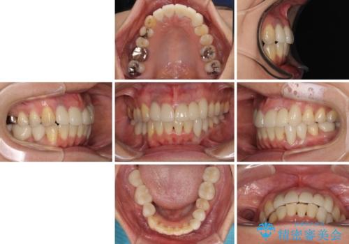
前歯の横幅が大きいことも気になっていたので、矯正治療で前歯5本の幅をコントロールしながら移動させ、治療開始前より一回りサイズの小さいセラミッククラウンを装着することができました。
ワイヤー矯正の注意事項(リスク・副作用など)
- 治療中は違和感や痛みが起こることがあります
- 症状により、抜歯が必要な場合があります
- 治療中は歯磨きがしにくくなるため、虫歯や歯周病になりやすくなります
- 矯正治療後の保定が不十分だと後戻り(元の位置に戻ろうとする動き)をします
- 自費診療(保険適用外)となります
セラミック治療の注意事項(リスク・副作用など)
- 天然歯を削ります
- 硬い素材は天然歯を傷つけてしまう場合があります
- かみ合わせや歯ぎしりが強すぎる方はセラミックが割れてしまう可能性があります
- 自費診療(保険適用外治療)となります
当サイトの内容、テキスト、画像等の無断転載、複製、複写、盗用を固く禁じます。
































