症例詳細
Case detail
インプラント・セラミック・矯正治療を含む包括歯科診療
治療症例の内容
- 担当医
 - 大元洋佑(ドクタープロフィール)
 
- 患者様
 - 20代女性
 
- 矯正装置
 - インビザライン
 
- 治療期間
 - 3年
 
- 治療回数
 - 30回以上
 
- 治療計画
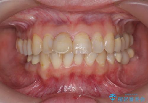
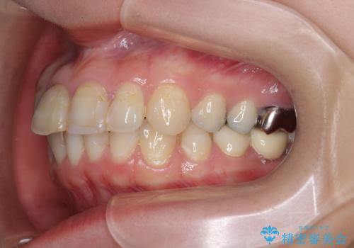
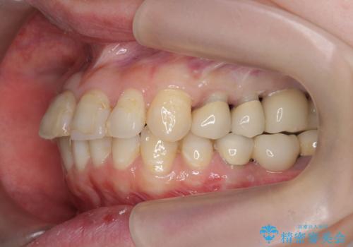
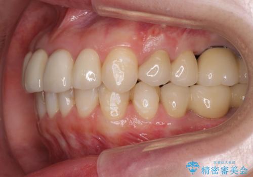
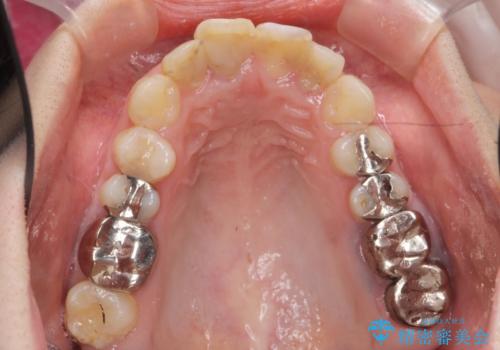
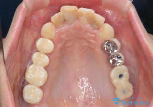
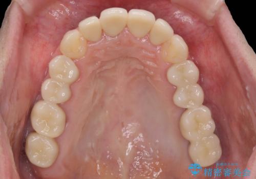
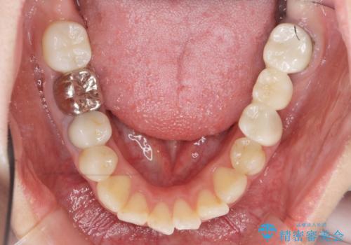
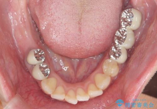
 - 「地元の歯医者にずっと通っているが、どんどん歯が悪くなる。時間とお金がかかってもいいので徹底的に歯を治したい。」
、と総合的な歯科治療を希望されて来院されました。
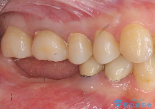
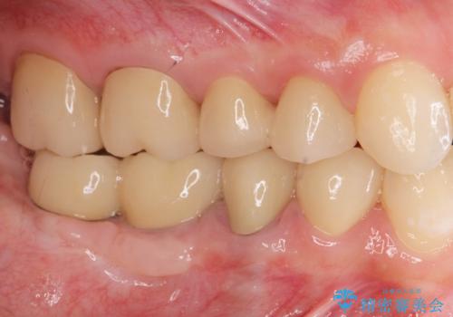
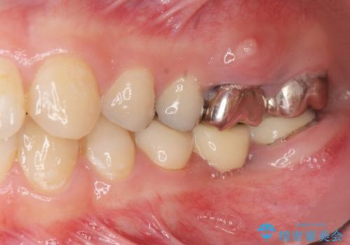
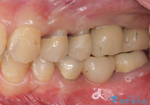
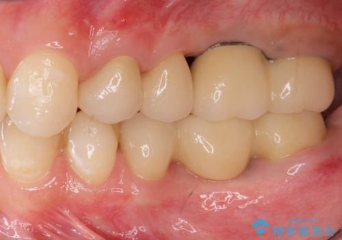
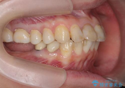
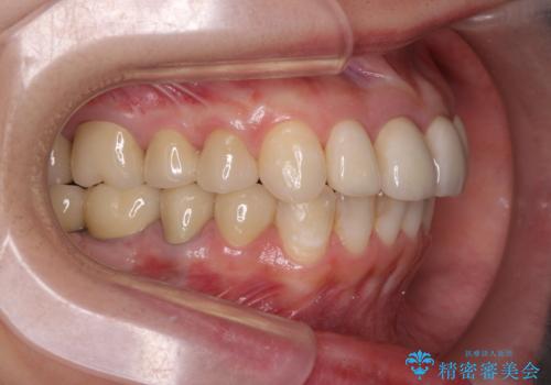
虫歯や咬合関係・歯槽骨の吸収・根尖病変・歯の欠損・複合的な問題を一つずつ解決し、
安定した噛み合わせの構築・歯ブラシのしやすい環境の整備・歯内歯周の感染除去・造骨を伴うインプラント治療
を行い、長期的な予後を見込める口腔内環境を確立、整備して行きます。
 
- 費用(概算)
 - 440万円費用は治療当時の料金となります
 
治療について
当法人は、1つの医院で複合的な問題を解決できるようなスキルを持ったドクター、環境が整備されています。
虫歯と矯正治療や歯周病治療とインプラント治療など通常複数の医院で治療を行うような症例も1つの医院で治療が可能です。
外科処置の注意事項(リスク・副作用など)
- 外科手術のため、術後に出血、痛みや腫れ、違和感を伴います
 - 口腔内の状態によっては適応できないことがあります
 
マウスピース矯正の注意事項(リスク・副作用など)
- 口腔内・歯並びの状態によっては対応できない場合があります
 - マウスピース型矯正装置の長時間装着(1日20時間以上)が必須です
 - 治療計画通りに進めるためには、患者様の意志が重要になります
 - 矯正治療後の保定が不十分だと後戻り(元の位置に戻ろうとする動き)をします
 - 薬機法対象外の矯正歯科装置のため医薬品副作用被害救済制度の対象外となる場合があります
 - 自費診療(保険適用外)となります
 
インプラント治療の注意事項(リスク・副作用など)
- 外科手術のため、術後に痛みや腫れ、違和感を伴います
 - メンテナンスを怠ったり喫煙により、お口の中に大きな悪影響を及ぼすインプラント周囲炎等にかかる可能性があります
 - 糖尿病、肝硬変、心臓病等の場合、インプラント治療ができない可能性があります
 - 高血圧、貧血・不整脈等の場合、インプラント治療後に治癒不全を招く可能性があります
 - 自費診療(保険適用外治療)となります
 
セラミック治療の注意事項(リスク・副作用など)
- 天然歯を削ります
 - 硬い素材は天然歯を傷つけてしまう場合があります
 - かみ合わせや歯ぎしりが強すぎる方はセラミックが割れてしまう可能性があります
 - 自費診療(保険適用外治療)となります
 
当サイトの内容、テキスト、画像等の無断転載、複製、複写、盗用を固く禁じます。

                      
                                                          






















