症例詳細
Case detail
前歯を綺麗にしたい 部分矯正とセラミック治療
治療症例の内容
- 患者様
- 40代女性
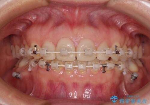
- 矯正装置
- 審美装置
- 治療期間
- 2年
- 治療回数
- 10-30回
- 治療計画
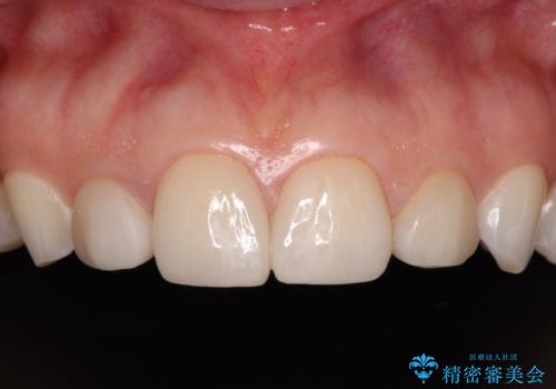
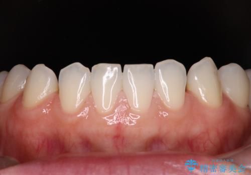
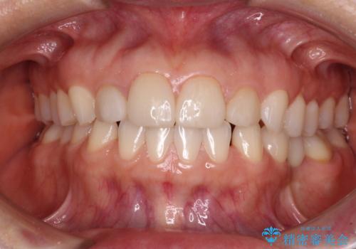
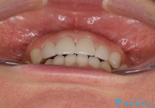
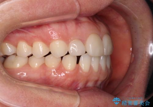
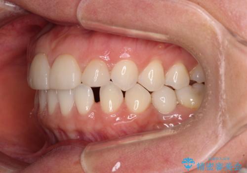
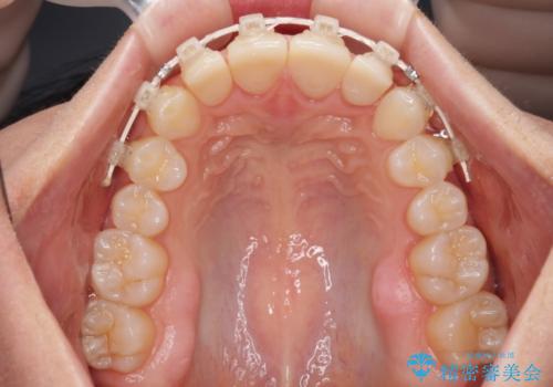
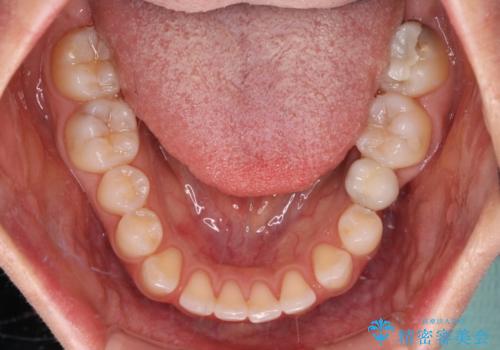
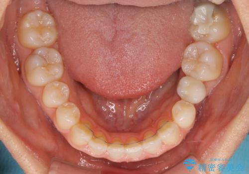
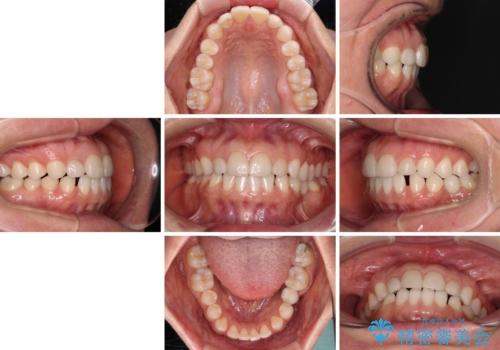
- 大きすぎる上顎前歯と、隙間の空いた下顎歯列を気にして来院された患者様です。
上顎前歯にはセラミッククラウンが装着されており、顔や他の歯と比較して幅の大きい状態でした。
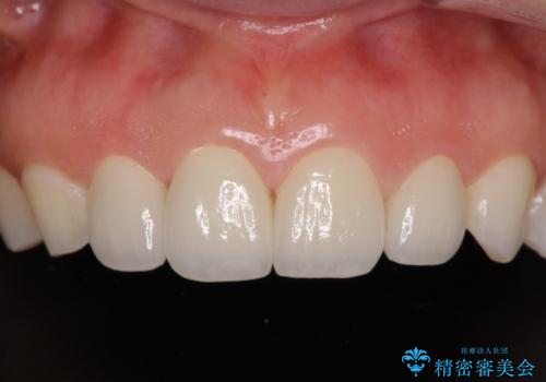
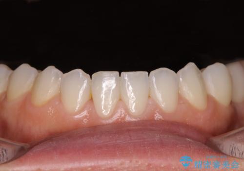
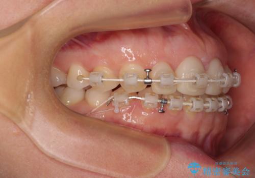
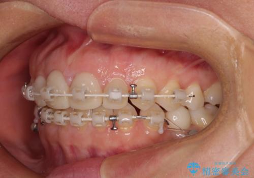
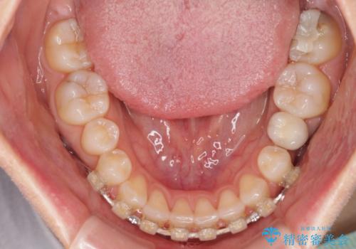
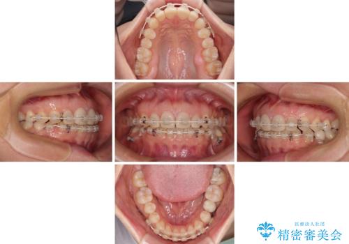
下顎前歯は空隙歯列弓であったので、アンカースクリューとワイヤー装置を用いてスペースを閉じていくこととし、上顎前歯は矯正治療用の仮歯に置き換えた上で、仮歯の大きさを削って小さくしながら、上下前歯部の部分矯正を行うこととしました。
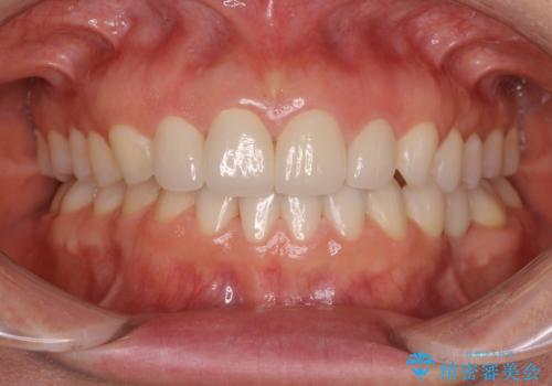
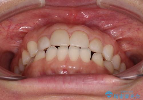
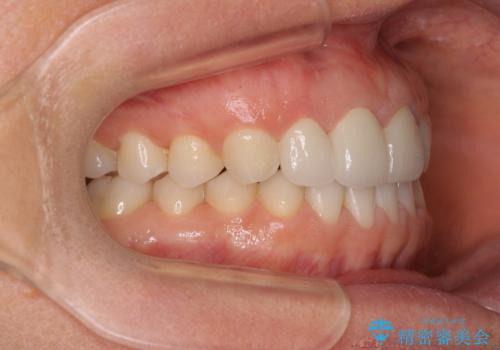
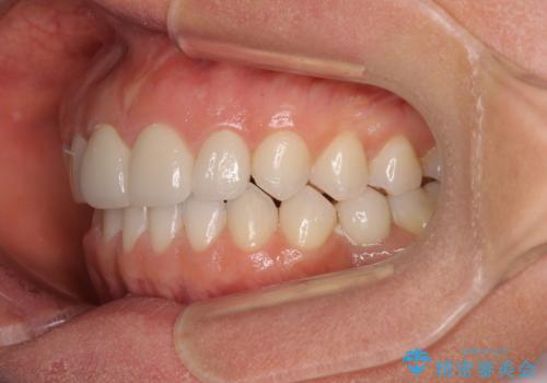
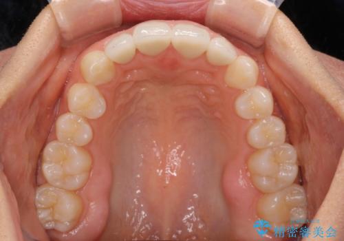
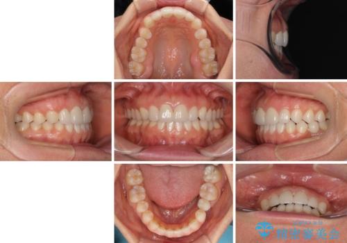
矯正治療後は、仮歯とした上顎前歯をオールセラミッククラウンにて補綴治療を行うこととしました。
- 費用(概算)
- 治療費の目安: 100万円(税込)費用は治療当時の料金となります
治療について
日本と海外を拠点に仕事をされていらっしゃるため、数ヶ月治療があいてしまうことがあり、期間はかかりましたが、2年間で望み通りの前歯に仕上げることができました。
ワイヤー矯正の注意事項(リスク・副作用など)
- 治療中は違和感や痛みが起こることがあります
- 症状により、抜歯が必要な場合があります
- 治療中は歯磨きがしにくくなるため、虫歯や歯周病になりやすくなります
- 矯正治療後の保定が不十分だと後戻り(元の位置に戻ろうとする動き)をします
- 自費診療(保険適用外)となります
セラミック治療の注意事項(リスク・副作用など)
- 天然歯を削ります
- 硬い素材は天然歯を傷つけてしまう場合があります
- かみ合わせや歯ぎしりが強すぎる方はセラミックが割れてしまう可能性があります
- 自費診療(保険適用外治療)となります
当サイトの内容、テキスト、画像等の無断転載、複製、複写、盗用を固く禁じます。






























