症例詳細
Case detail
治療途中で転院 抜歯矯正の仕上げ治療
治療症例の内容
- 診療科目
- 治療カテゴリ
- 担当医
- 藤巻太一朗(ドクタープロフィール)
- 患者様
- 20代女性
- 治療期間
- 7ヶ月
- 治療回数
- 5-10回
- 治療計画
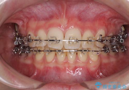
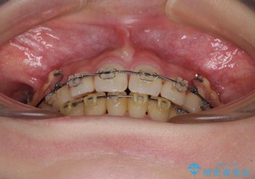
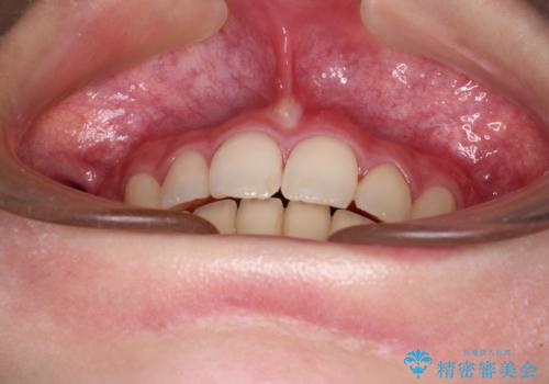
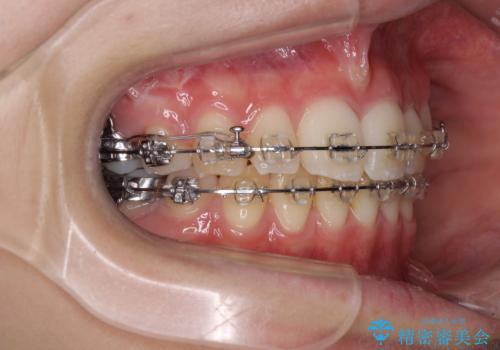
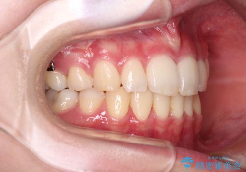
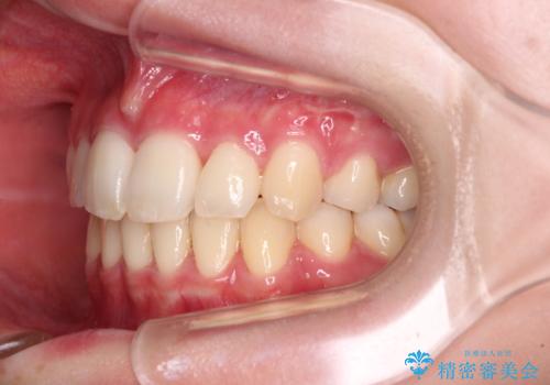
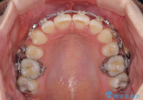
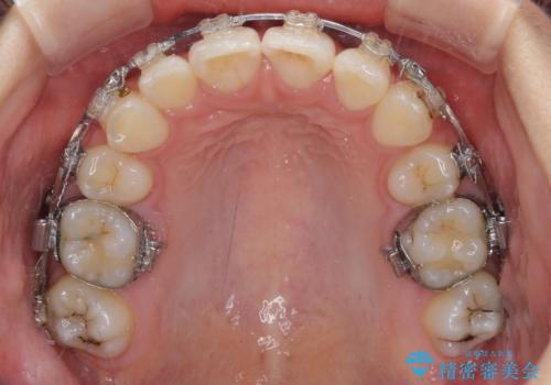
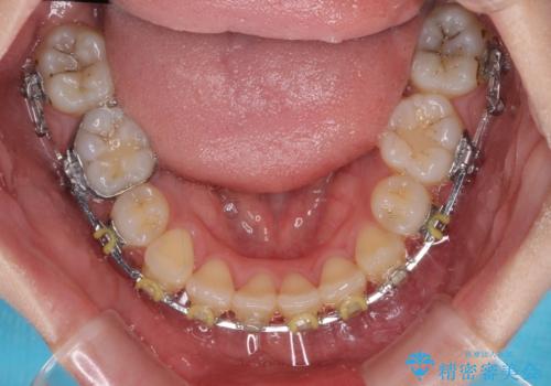
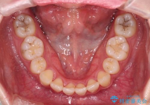
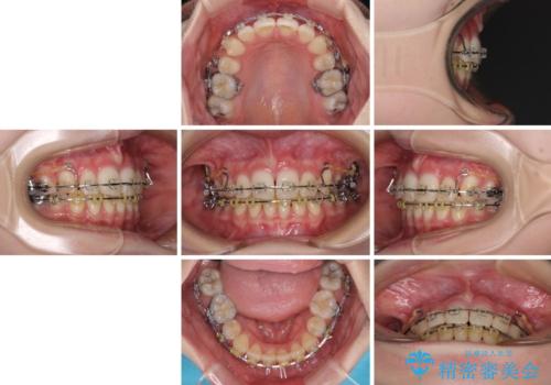
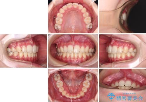
- 地元で抜歯治療を行っている途中、東京へ転職したため治療を継続して欲しいとのことで来院された患者様です。
出っ歯を抜歯矯正にて治療をしていらっしゃいましたが、抜歯スペースが少し残っていたため、閉じて歯列を仕上げていくこととしました。
- 費用(概算)
- 治療費の目安: 35万円(税込)費用は治療当時の料金となります
治療について
治療途中での転院受け入れは、治療方針や現状によって費用や期間が大きく異なります。
ワイヤー矯正の注意事項(リスク・副作用など)
- 治療中は違和感や痛みが起こることがあります
- 症状により、抜歯が必要な場合があります
- 治療中は歯磨きがしにくくなるため、虫歯や歯周病になりやすくなります
- 矯正治療後の保定が不十分だと後戻り(元の位置に戻ろうとする動き)をします
- 自費診療(保険適用外)となります
当サイトの内容、テキスト、画像等の無断転載、複製、複写、盗用を固く禁じます。
























