症例詳細
Case detail
隙間をセラミックで閉じたら不格好で歯肉から出血 矯正治療と歯周外科で綺麗な前歯に
- 患者様
- 30代女性
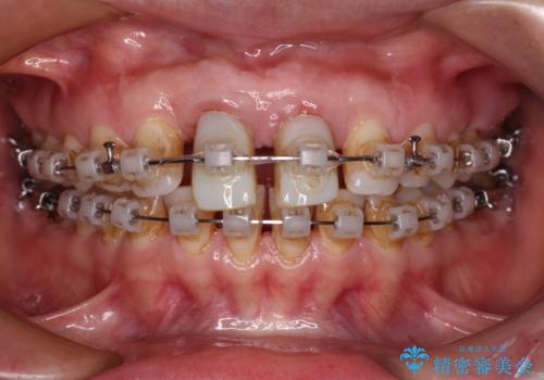
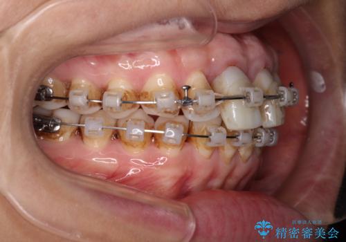
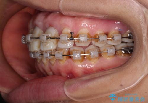
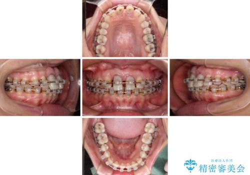
- 矯正装置
- クリアブラケット
- 治療期間
- 2年6ヶ月
- 治療回数
- 30回以上
- 治療計画
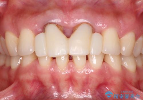
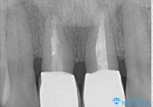
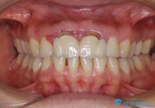
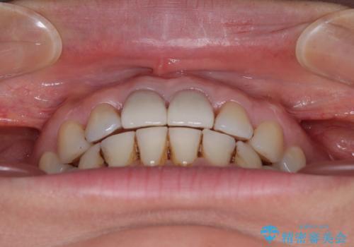
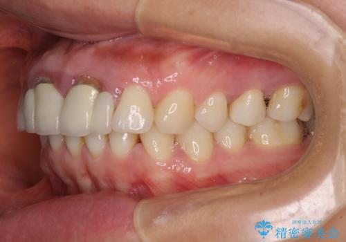
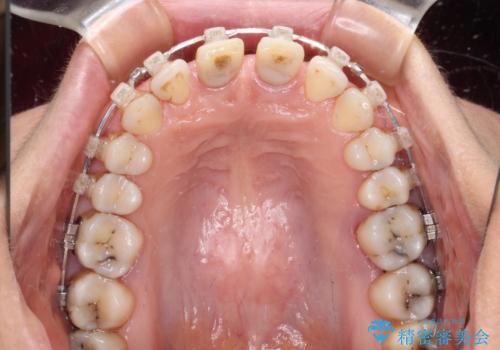
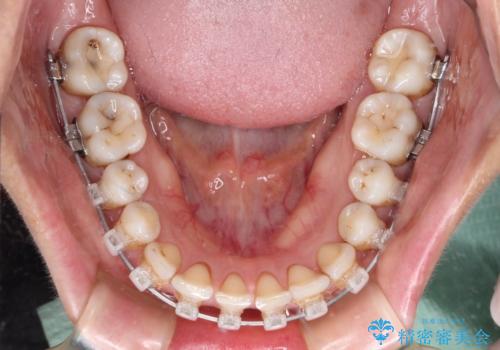
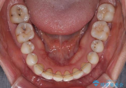
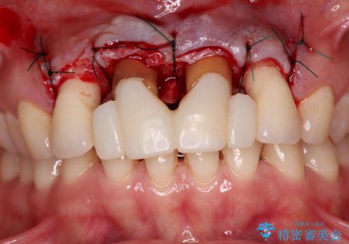
- 隙間の空いた前歯をセラミッククラウンで補隙したところ、歯肉から出血してしまい、何とかしたいとのことで来院された患者様です。
初めは前歯のみの処置で改善を希望されていたため、広範囲に処置範囲を広げることで歯の幅がバランスする治療を提案しましたが、削らなければならない歯が増えてしまうため、患者様と相談して全顎矯正により前歯のスペースを閉じていくこととしました。
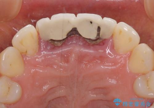
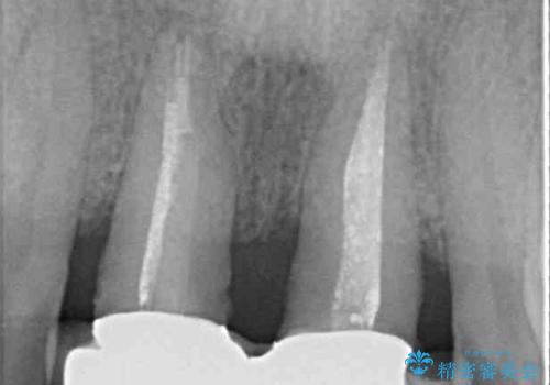
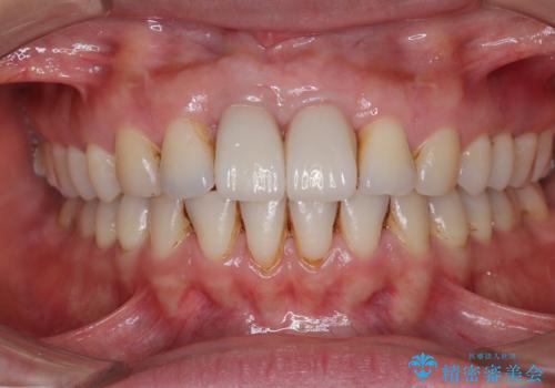
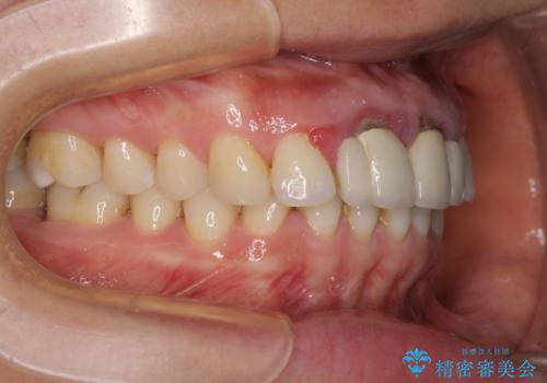
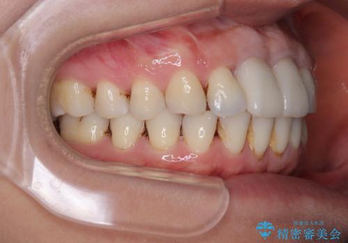
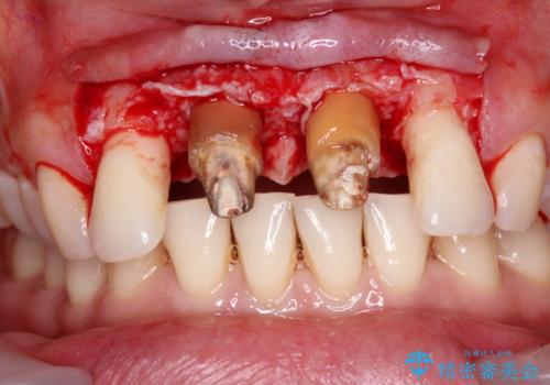
不適合なクラウンが装着されていたため、歯周ポケットが深くなっていましたので、矯正治療前に歯周外科処置を行って歯周ポケットを除去し、矯正治療後にオールセラミッククラウンにて補綴治療を行うこととしました。
- 費用(概算)
- 治療費の目安: 130万円(税込)費用は治療当時の料金となります
治療について
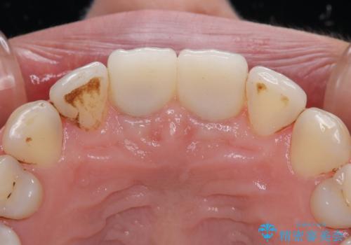
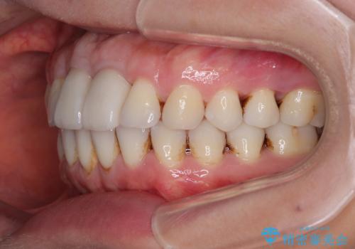
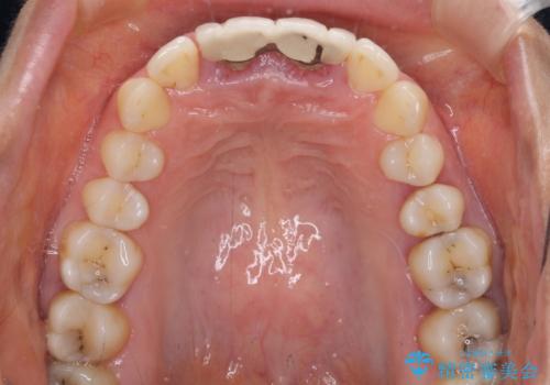
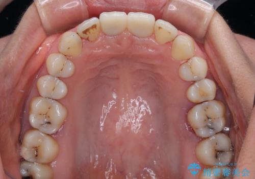
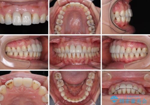
前歯の見た目はもちろん、出血や腫脹のない健全な前歯の状態を獲得することができました。
セラミック治療の注意事項(リスク・副作用など)
- 天然歯を削ります
- 硬い素材は天然歯を傷つけてしまう場合があります
- かみ合わせや歯ぎしりが強すぎる方はセラミックが割れてしまう可能性があります
- 自費診療(保険適用外治療)となります
歯周病治療の注意事項(リスク・副作用など)
- 外科手術のため、術後に痛みや腫れ、違和感を伴います
- 歯周組織再生治療は患者様の状態によって術後の経過が異なります(見た目が改善しない場合もあります)
- 歯周組織再生治療は自費診療(保険適用外)となります
ワイヤー矯正の注意事項(リスク・副作用など)
- 治療中は違和感や痛みが起こることがあります
- 症状により、抜歯が必要な場合があります
- 治療中は歯磨きがしにくくなるため、虫歯や歯周病になりやすくなります
- 矯正治療後の保定が不十分だと後戻り(元の位置に戻ろうとする動き)をします
- 自費診療(保険適用外)となります
当サイトの内容、テキスト、画像等の無断転載、複製、複写、盗用を固く禁じます。





























