症例詳細
Case detail
割れてしまった奥歯とデコボコの前歯 矯正治療とインプラント治療
- 患者様
- 40代男性
- 矯正装置
- 審美装置
- 治療期間
- 3年10ヶ月
- 治療回数
- 10-30回
- 治療計画
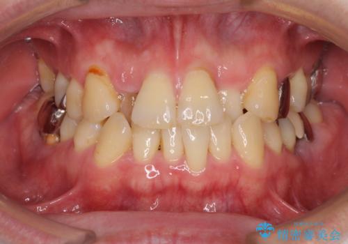
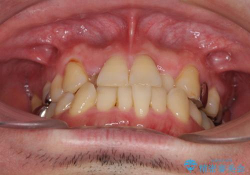
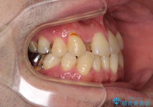
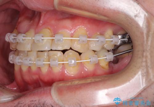
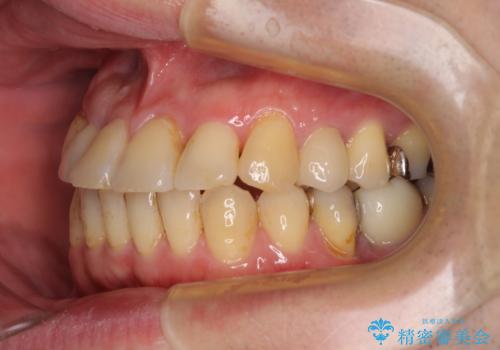
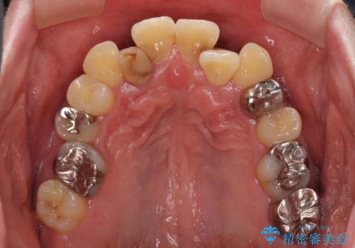
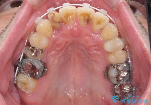
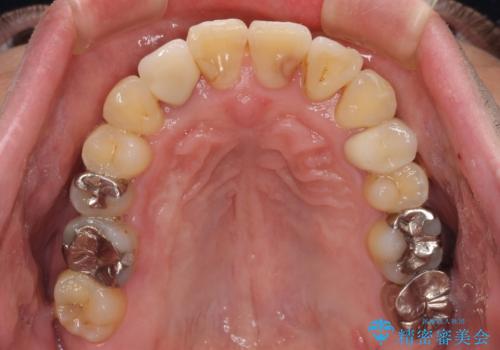
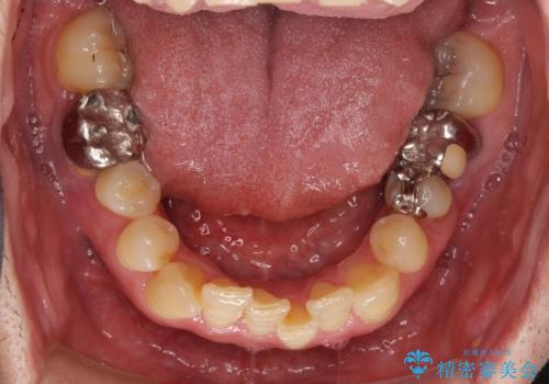
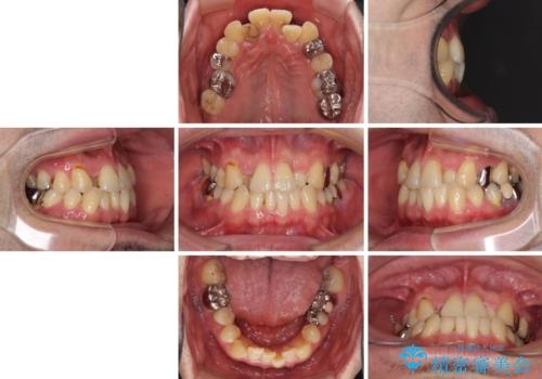
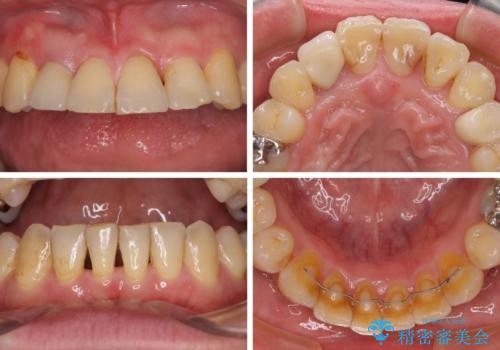
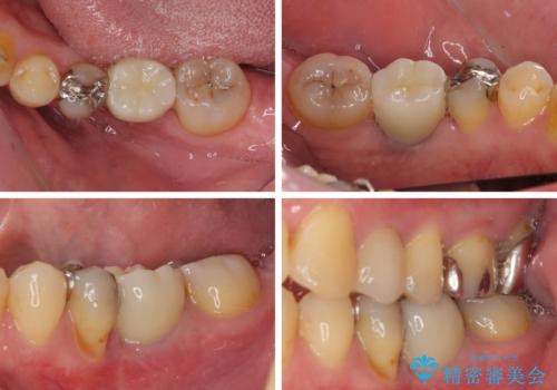
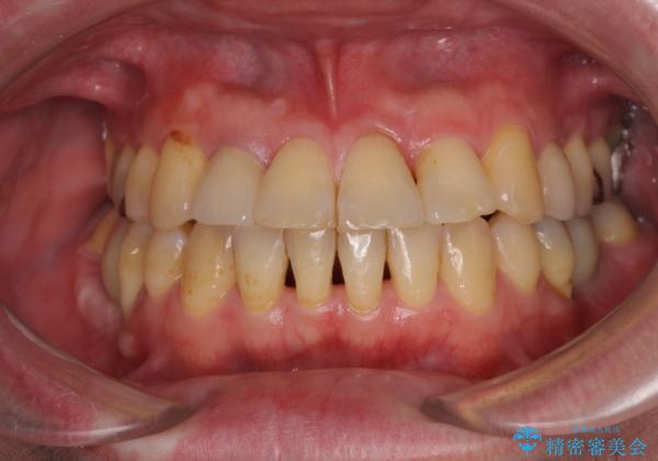
- 奥歯の痛みと前歯のデコボコを気にして来院された患者様です。
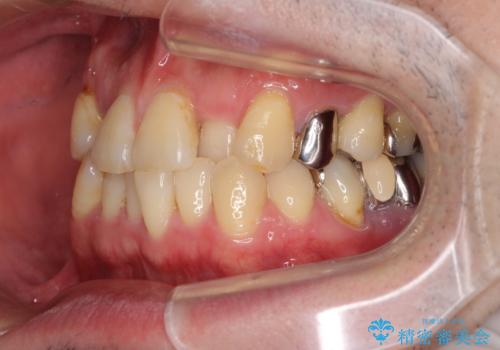
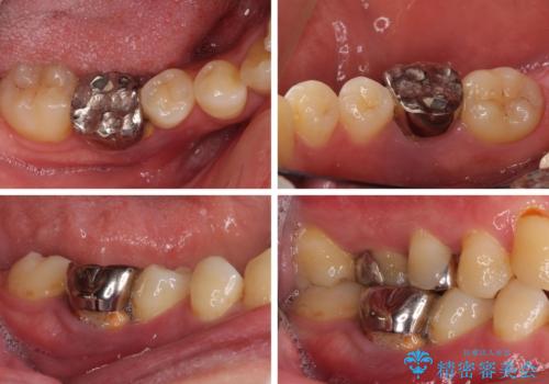
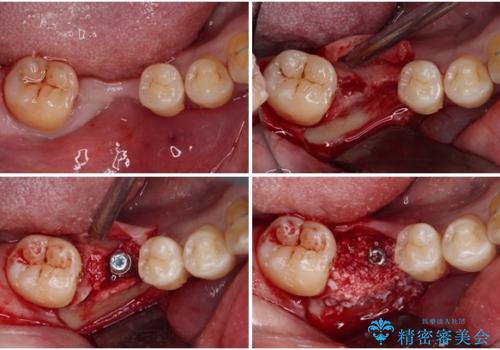
左右下顎の大臼歯は、ともに歯根が破折しており、抜歯が必要な状態でした。
放置したことで炎症による骨吸収が顕著であるため、骨造成を併用してインプラント埋入を行うこととしました。
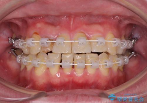
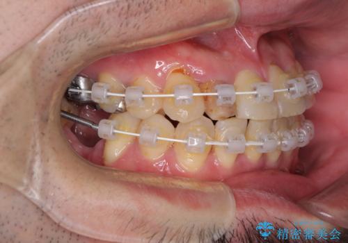
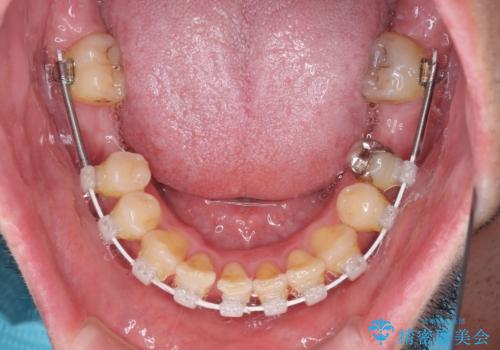
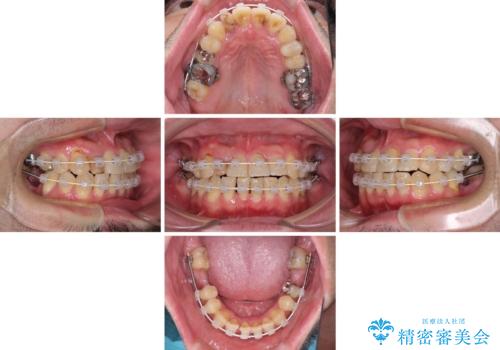
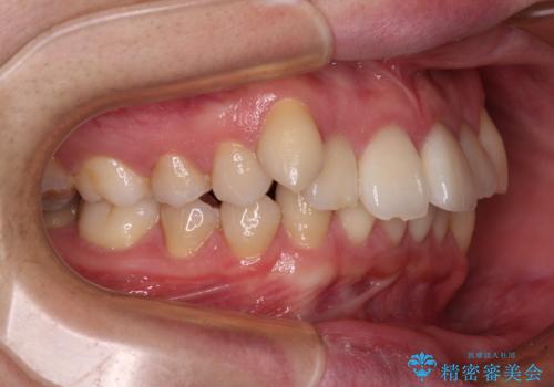
咬み合わせは受け口傾向であり、上顎前歯の叢生が顕著であったことから、第1小臼歯抜歯による矯正治療も検討しましたが、下顎大臼歯を左右ともに抜歯するため、非抜歯による矯正治療を行うこととしました。
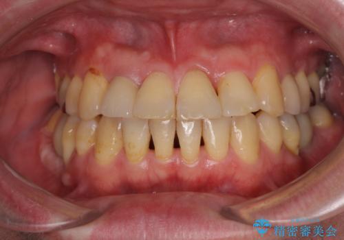
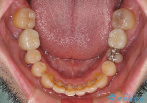
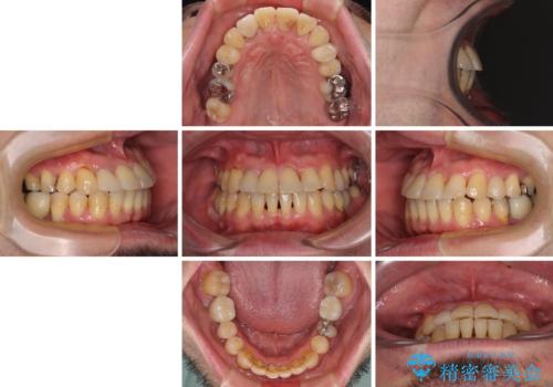
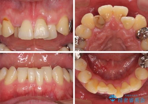
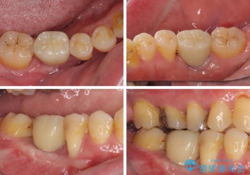
矯正治療でインプラント埋入を行い、矯正治療後に気になる前歯と合わせてオールセラミッククラウンによる補綴治療を行うこととしました。
- 費用(概算)
- 治療費の目安: 200万円(税込)費用は治療当時の料金となります
治療について
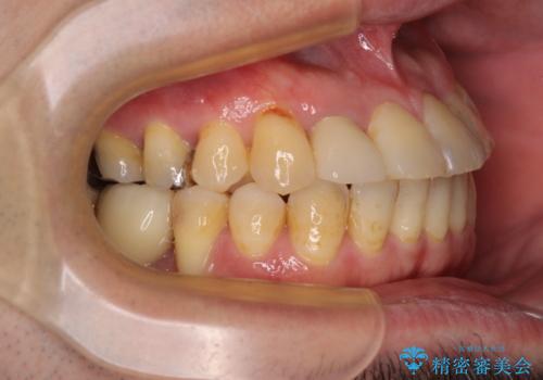
骨造成や歯肉移植など、治癒期間の長い処置を必要としたため治療期間は長くなりましたが、安定した咬み合わせと整った歯列となり、患者様には大変満足していただきました。
ワイヤー矯正の注意事項(リスク・副作用など)
- 治療中は違和感や痛みが起こることがあります
- 症状により、抜歯が必要な場合があります
- 治療中は歯磨きがしにくくなるため、虫歯や歯周病になりやすくなります
- 矯正治療後の保定が不十分だと後戻り(元の位置に戻ろうとする動き)をします
- 自費診療(保険適用外)となります
インプラント治療の注意事項(リスク・副作用など)
- 外科手術のため、術後に痛みや腫れ、違和感を伴います
- メンテナンスを怠ったり喫煙により、お口の中に大きな悪影響を及ぼすインプラント周囲炎等にかかる可能性があります
- 糖尿病、肝硬変、心臓病等の場合、インプラント治療ができない可能性があります
- 高血圧、貧血・不整脈等の場合、インプラント治療後に治癒不全を招く可能性があります
- 自費診療(保険適用外治療)となります
セラミック治療の注意事項(リスク・副作用など)
- 天然歯を削ります
- 硬い素材は天然歯を傷つけてしまう場合があります
- かみ合わせや歯ぎしりが強すぎる方はセラミックが割れてしまう可能性があります
- 自費診療(保険適用外治療)となります
当サイトの内容、テキスト、画像等の無断転載、複製、複写、盗用を固く禁じます。



































